验证数据展示
经过测试的应用
| Positive WB detected in | mouse heart tissue, mouse kidney tissue, HEK-293 cells, rat heart tissue |
| Positive IP detected in | mouse heart tissue |
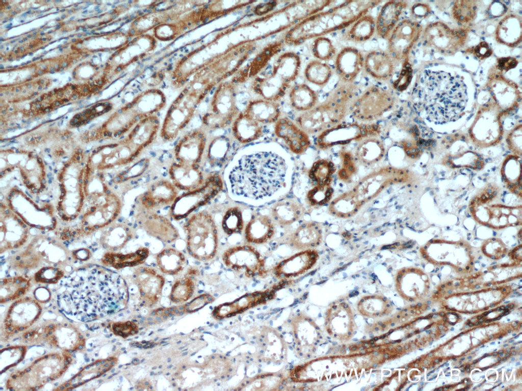
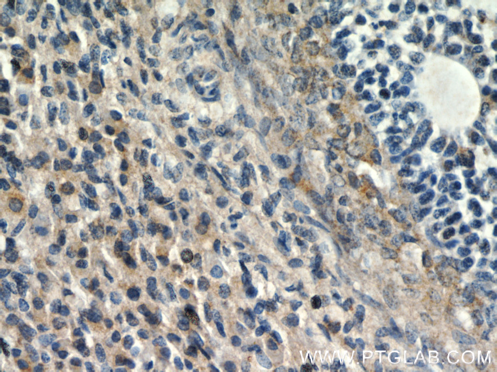
| Positive IHC detected in | human kidney tissue, human oesophagus cancer tissue, human heart tissue, human ovary tissue Note: suggested antigen retrieval with TE buffer pH 9.0; (*) Alternatively, antigen retrieval may be performed with citrate buffer pH 6.0 |
| Positive IF/ICC detected in | NIH/3T3 cells, HT-29 cells, HEK-293 cells |
推荐稀释比
| 应用 | 推荐稀释比 |
|---|---|
| Western Blot (WB) | WB : 1:500-1:1000 |
| Immunoprecipitation (IP) | IP : 0.5-4.0 ug for 1.0-3.0 mg of total protein lysate |
| Immunohistochemistry (IHC) | IHC : 1:50-1:500 |
| Immunofluorescence (IF)/ICC | IF/ICC : 1:50-1:500 |
| It is recommended that this reagent should be titrated in each testing system to obtain optimal results. | |
| Sample-dependent, Check data in validation data gallery. | |
产品信息
18374-1-AP targets ANGPTL4 in WB, IHC, IF/ICC, IP, CoIP, ELISA applications and shows reactivity with human, mouse, rat samples.
| 经测试应用 | WB, IHC, IF/ICC, IP, ELISA Application Description |
| 文献引用应用 | WB, IHC, IF, IP, CoIP |
| 经测试反应性 | human, mouse, rat |
| 文献引用反应性 | human, mouse, rat |
| 免疫原 |
CatNo: Ag13237 Product name: Recombinant human ANGPTL4 protein Source: e coli.-derived, PKG Tag: GST Domain: 1-374 aa of BC023647 Sequence: MSGAPTAGAALMLCAATAVLLSAQGGPVQSKSPRFASWDEMNVLAHGLLQLGQGLREHAERTRSQLSALERRLSACGSACQGTEGSTDLPLAPESRVDPEVLHSLQTQLKAQNSRIQQLFHKVAQQQRHLEKQHLRIQHLQSQFGLLDHKHLDHEVAKPARRKRLPEMAQPVDPAHNVSRLHRLPRDCQELFQVGERQSGLFEIQPQGSPPFLVNCKMTSDGGWTVIQRRHDGSVDFNRPWEAYKAGFGDPHGEFWLGLEKVHSITGDRNSRLAVQLRDWDGNAELLQFSVHLGGEDTAYSLQLTAPVAGQLGATTVPPSGLSVPFSTWDQDHDLRRDKNCAKSLSGGWWFGTCSHSNLNGQYFRSIPQQRQKL 种属同源性预测 |
| 宿主/亚型 | Rabbit / IgG |
| 抗体类别 | Polyclonal |
| 产品类型 | Antibody |
| 全称 | angiopoietin-like 4 |
| 别名 | ANGPTL2, Angiopoietin-related protein 4, Angiopoietin-like protein 4, Angiopoietin related protein 4, Angiopoietin like protein 4 |
| 计算分子量 | 45 kDa |
| 观测分子量 | 45-50 kDa |
| GenBank蛋白编号 | BC023647 |
| 基因名称 | ANGPTL4 |
| Gene ID (NCBI) | 51129 |
| RRID | AB_2878539 |
| 偶联类型 | Unconjugated |
| 形式 | Liquid |
| 纯化方式 | Antigen affinity purification |
| UNIPROT ID | Q9BY76 |
| 储存缓冲液 | PBS with 0.02% sodium azide and 50% glycerol, pH 7.3. |
| 储存条件 | Store at -20°C. Stable for one year after shipment. Aliquoting is unnecessary for -20oC storage. |
背景介绍
Angiopoietin-like protein 4 (ANGPTL4), a member of the angiopoietin-like protein subfamily, is a secretory protein that functions as an important modulator of glucose and lipid metabolism. ANGPTL4 inhibits lipoprotein lipase (LPL)-dependent lipolysis thereby limiting the uptake of free fatty acids. Overexpression of ANGPTL4 results in hypertriglyceridemia, while ANGPTL4 deficiency suppresses foam formation in macrophages and protects against atherosclerosis. ANGPTL4 may play a role in several cancers and it also has been shown to prevent the metastatic process by inhibiting vascular activity as well as tumor cell motility and invasiveness. Decreased expression of this protein has been associated with type 2 diabetes. ANGPTL4 has three isoforms, 45 kDa, 41 kDa and 27 kDa.
实验方案
| Product Specific Protocols | |
|---|---|
| IF protocol for ANGPTL4 antibody 18374-1-AP | Download protocol |
| IHC protocol for ANGPTL4 antibody 18374-1-AP | Download protocol |
| IP protocol for ANGPTL4 antibody 18374-1-AP | Download protocol |
| WB protocol for ANGPTL4 antibody 18374-1-AP | Download protocol |
| Standard Protocols | |
|---|---|
| Click here to view our Standard Protocols |
发表文章
| Species | Application | Title |
|---|---|---|
Nat Metab Resistant starch intake facilitates weight loss in humans by reshaping the gut microbiota | ||
J Hazard Mater Insight into perfluorooctanoic acid-induced impairment of mouse embryo implantation via single-cell RNA-seq | ||
J Adv Res Maternal exposure to urban particulate matter induces cardiac developmental toxicity in zebrafish offspring by disrupting mitochondrial homeostasis | ||
J Clin Invest Angiopoietin-like 4 binds neuropilins and cooperates with VEGF to induce diabetic macular edema. | ||
J Pathol ANGPTL4-αvβ3 integrin interaction counteracts hypoxia-induced vascular permeability by modulating Src signalling downstream of VEGFR2. |
















