验证数据展示
经过测试的应用
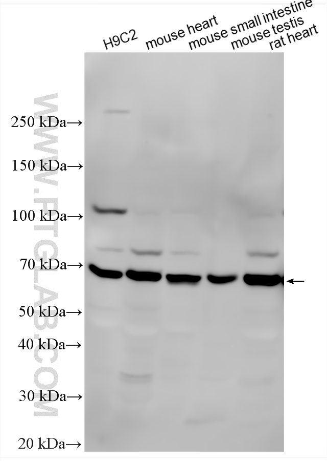
| Positive WB detected in | H9C2 cells, 3T3-L1 cells, mouse spleen tissue, mouse heart tissue, mouse small intestine, mouse testis tissue, rat heart tissue |
| Positive IP detected in | mouse testis tissue |
| Positive IHC detected in | human colon cancer tissue, human heart tissue, human spleen tissue Note: suggested antigen retrieval with TE buffer pH 9.0; (*) Alternatively, antigen retrieval may be performed with citrate buffer pH 6.0 |
推荐稀释比
| 应用 | 推荐稀释比 |
|---|---|
| Western Blot (WB) | WB : 1:1000-1:4000 |
| Immunoprecipitation (IP) | IP : 0.5-4.0 ug for 1.0-3.0 mg of total protein lysate |
| Immunohistochemistry (IHC) | IHC : 1:50-1:500 |
| It is recommended that this reagent should be titrated in each testing system to obtain optimal results. | |
| Sample-dependent, Check data in validation data gallery. | |
产品信息
12316-1-AP targets ANGPTL2 in WB, IHC, IF, IP, ELISA applications and shows reactivity with human, mouse, rat samples.
| 经测试应用 | WB, IHC, IP, ELISA Application Description |
| 文献引用应用 | WB, IHC, IF |
| 经测试反应性 | human, mouse, rat |
| 文献引用反应性 | human, mouse, rat |
| 免疫原 |
CatNo: Ag2969 Product name: Recombinant human ANGPTL2 protein Source: e coli.-derived, PGEX-4T Tag: GST Domain: 193-493 aa of BC012368 Sequence: QSEIIAQLEEHCQRVPSARPVPQPPPAAPPRVYQPPTYNRIINQISTNEIQSDQNLKVLPPPLPTMPTLTSLPSSTDKPSGPWRDCLQALEDGHDTSSIYLVKPENTNRLMQVWCDQRHDPGGWTVIQRRLDGSVNFFRNWETYKQGFGNIDGEYWLGLENIYWLTNQGNYKLLVTMEDWSGRKVFAEYASFRLEPESEYYKLRLGRYHGNAGDSFTWHNGKQFTTLDRDHDVYTGNCAHYQKGGWWYNACAHSNLNGVWYRGGHYRSRYQDGVYWAEFRGGSYSLKKVVMMIRPNPNTFH 种属同源性预测 |
| 宿主/亚型 | Rabbit / IgG |
| 抗体类别 | Polyclonal |
| 产品类型 | Antibody |
| 全称 | angiopoietin-like 2 |
| 别名 | angiopoietin like 2, Angiopoietin like protein 2, Angiopoietin related protein 2, Angiopoietin-like protein 2, ARP2 |
| 计算分子量 | 493 aa, 57 kDa |
| 观测分子量 | 57-64 kDa |
| GenBank蛋白编号 | BC012368 |
| 基因名称 | ANGPTL2 |
| Gene ID (NCBI) | 23452 |
| RRID | AB_2226307 |
| 偶联类型 | Unconjugated |
| 形式 | Liquid |
| 纯化方式 | Antigen affinity purification |
| UNIPROT ID | Q9UKU9 |
| 储存缓冲液 | PBS with 0.02% sodium azide and 50% glycerol, pH 7.3. |
| 储存条件 | Store at -20°C. Stable for one year after shipment. Aliquoting is unnecessary for -20oC storage. |
背景介绍
ANGPTL2 (angiopoietin-like 2), a member of the Angptl protein family, is predominantly secreted from adipose tissue and the heart. ANGPTL2 consists of an N-terminus with a conserved coiled-coil domain, two glycosylation sites and a C-terminus with a conserved fibrinogen-like domain. It is a key adipocyte-derived inflammatory mediator that links obesity to systemic INS resistance. ANGPTL2 may play an important role in the pathogenesis of diabetic glomerulopathy.
实验方案
| Product Specific Protocols | |
|---|---|
| IHC protocol for ANGPTL2 antibody 12316-1-AP | Download protocol |
| IP protocol for ANGPTL2 antibody 12316-1-AP | Download protocol |
| WB protocol for ANGPTL2 antibody 12316-1-AP | Download protocol |
| Standard Protocols | |
|---|---|
| Click here to view our Standard Protocols |
发表文章
| Species | Application | Title |
|---|---|---|
ACS Nano Oxidation of Reduced Graphene Oxide via Cellular Redox Signaling Modulates Actin-Mediated Neurotransmission. | ||
J Nanobiotechnology Delivery of an ERK inhibitor using bioactive lipid nanoparticles reduces angiogenesis and prevents oral squamous cell carcinoma development | ||
World J Gastroenterol Leukocyte immunoglobulin-like receptor B2 overexpression as a promising therapeutic target and noninvasive screening biomarker for colorectal cancer | ||
Biomolecules Identification of a Fibroblast-Related Prognostic Model in Glioma Based on Bioinformatics Methods | ||
Sci Rep PET-CT and RNA sequencing reveal novel targets for acupuncture-induced lowering of blood pressure in spontaneously hypertensive rats. | ||
J Periodontol Angiopoietin-like protein 2 deficiency promotes periodontal inflammation and alveolar bone loss. |









