验证数据展示
经过测试的应用
| Positive WB detected in | HepG2 cells, human brain tissue |
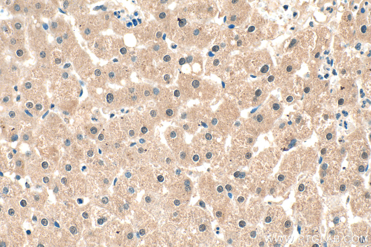
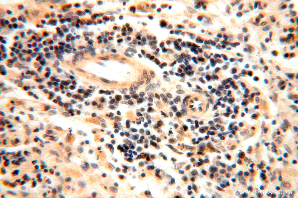
| Positive IHC detected in | human liver tissue, human heart tissue, human placenta tissue, human testis tissue, human skin tissue, human brain tissue, human spleen tissue, human ovary tissue Note: suggested antigen retrieval with TE buffer pH 9.0; (*) Alternatively, antigen retrieval may be performed with citrate buffer pH 6.0 |
| Positive IF/ICC detected in | HepG2 cells |
| Positive FC (Intra) detected in | HepG2 cells |
推荐稀释比
| 应用 | 推荐稀释比 |
|---|---|
| Western Blot (WB) | WB : 1:500-1:2000 |
| Immunohistochemistry (IHC) | IHC : 1:50-1:500 |
| Immunofluorescence (IF)/ICC | IF/ICC : 1:50-1:500 |
| Flow Cytometry (FC) (INTRA) | FC (INTRA) : 0.40 ug per 10^6 cells in a 100 µl suspension |
| It is recommended that this reagent should be titrated in each testing system to obtain optimal results. | |
| Sample-dependent, Check data in validation data gallery. | |
产品信息
16664-1-AP targets AMZ2 in WB, IHC, IF/ICC, ELISA applications and shows reactivity with human, mouse, rat samples.
| 经测试应用 | WB, IHC, IF/ICC, ELISA Application Description |
| 经测试反应性 | human, mouse, rat |
| 免疫原 |
CatNo: Ag10141 Product name: Recombinant human AMZ2 protein Source: e coli.-derived, PGEX-4T Tag: GST Domain: 1-360 aa of BC056271 Sequence: MQIIRHSEQTLKTALISKNPVLVSQYEKLDAGEQRLMNEAFQPASDLFGPITLHSPSDWITSHPEAPQDFEQFFSDPYRKTPSPNKRSIYIQSIGSLGNTRIISEEYIKWLTGYCKAYFYGLRVKLLEPVPVSVTRCSFRVNENTHNLQIHAGDILKFLKKKKPEDAFCVVGITMIDLYPRDSWNFVFGQASLTDGVGIFSFARYGSDFYSMHYKGKVKKLKKTSSSDYSIFDNYYIPEITSVLLLRSCKTLTHEIGHIFGLRHCQWLACLMQGSNHLEEADRRPLNLCPICLHKLQCAVGFSIVERYKALVRWIDDESSDTPGATPEHSHEDNGNLPKPVEAFKEWKEWIIKCLAVLQK 种属同源性预测 |
| 宿主/亚型 | Rabbit / IgG |
| 抗体类别 | Polyclonal |
| 产品类型 | Antibody |
| 全称 | archaelysin family metallopeptidase 2 |
| 别名 | Archaemetzincin 2, Archaemetzincin-2, Archeobacterial metalloproteinase-like protein 2, BM-014, EC:3.4.-.- |
| 计算分子量 | 360 aa, 41 kDa |
| 观测分子量 | 41 kDa |
| GenBank蛋白编号 | BC056271 |
| 基因名称 | AMZ2 |
| Gene ID (NCBI) | 51321 |
| RRID | AB_1850886 |
| 偶联类型 | Unconjugated |
| 形式 | Liquid |
| 纯化方式 | Antigen affinity purification |
| UNIPROT ID | Q86W34 |
| 储存缓冲液 | PBS with 0.02% sodium azide and 50% glycerol, pH 7.3. |
| 储存条件 | Store at -20°C. Stable for one year after shipment. Aliquoting is unnecessary for -20oC storage. |
背景介绍
AMZ2(archaelysin family metallopeptidase 2) is a zinc metalloprotease. Its calculated molecular weight and observed molecular weight are both 41kDa.
实验方案
| Product Specific Protocols | |
|---|---|
| FC protocol for AMZ2 antibody 16664-1-AP | Download protocol |
| IF protocol for AMZ2 antibody 16664-1-AP | Download protocol |
| IHC protocol for AMZ2 antibody 16664-1-AP | Download protocol |
| WB protocol for AMZ2 antibody 16664-1-AP | Download protocol |
| Standard Protocols | |
|---|---|
| Click here to view our Standard Protocols |



















