验证数据展示
经过测试的应用
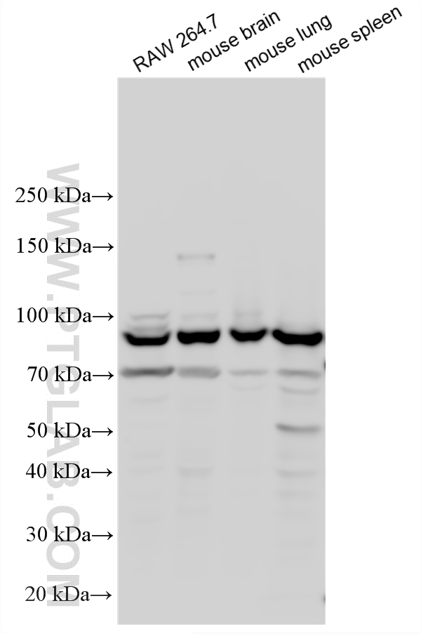
| Positive WB detected in | RAW 264.7 cells, HEK-293 cells, mouse kidney tissue, rat kidney tissue, mouse lung tissue, mouse brain tissue, mouse spleen tissue |
| Positive IP detected in | mouse kidney tissue |
| Positive IHC detected in | human colon tissue, mouse placenta tissue Note: suggested antigen retrieval with TE buffer pH 9.0; (*) Alternatively, antigen retrieval may be performed with citrate buffer pH 6.0 |
推荐稀释比
| 应用 | 推荐稀释比 |
|---|---|
| Western Blot (WB) | WB : 1:500-1:2000 |
| Immunoprecipitation (IP) | IP : 0.5-4.0 ug for 1.0-3.0 mg of total protein lysate |
| Immunohistochemistry (IHC) | IHC : 1:50-1:500 |
| It is recommended that this reagent should be titrated in each testing system to obtain optimal results. | |
| Sample-dependent, Check data in validation data gallery. | |
产品信息
23997-1-AP targets AMPD3 in WB, IHC, IP, CoIP, ELISA applications and shows reactivity with human, mouse, rat samples.
| 经测试应用 | WB, IHC, IP, ELISA Application Description |
| 文献引用应用 | WB, IHC, IP, CoIP |
| 经测试反应性 | human, mouse, rat |
| 文献引用反应性 | human, mouse, rat |
| 免疫原 |
CatNo: Ag21199 Product name: Recombinant human AMPD3 protein Source: e coli.-derived, PGEX-4T Tag: GST Domain: 1-138 aa of BC126118 Sequence: MALSSEPAEMPRQFPKLNISEVDEQVRLLAEKVFAKVLREEDSKDALSLFTVPEDCPIGQKEAKERELQKELAEQKSVETAKRKKSFKMIRSQSLSLQMPPQQDWKGPPAASPAMSPTTPVVTGATSLPTPAPYAMPE 种属同源性预测 |
| 宿主/亚型 | Rabbit / IgG |
| 抗体类别 | Polyclonal |
| 产品类型 | Antibody |
| 全称 | adenosine monophosphate deaminase (isoform E) |
| 别名 | AMPD 3, EC:3.5.4.6 |
| 计算分子量 | 776 aa, 90 kDa |
| 观测分子量 | 70 kDa, 90 kDa |
| GenBank蛋白编号 | BC126118 |
| 基因名称 | AMPD3 |
| Gene ID (NCBI) | 272 |
| RRID | AB_2879396 |
| 偶联类型 | Unconjugated |
| 形式 | Liquid |
| 纯化方式 | Antigen Affinity purified |
| UNIPROT ID | Q01432 |
| 储存缓冲液 | PBS with 0.02% sodium azide and 50% glycerol, pH 7.3. |
| 储存条件 | Store at -20°C. Stable for one year after shipment. Aliquoting is unnecessary for -20oC storage. |
实验方案
| Product Specific Protocols | |
|---|---|
| IHC protocol for AMPD3 antibody 23997-1-AP | Download protocol |
| IP protocol for AMPD3 antibody 23997-1-AP | Download protocol |
| WB protocol for AMPD3 antibody 23997-1-AP | Download protocol |
| Standard Protocols | |
|---|---|
| Click here to view our Standard Protocols |
发表文章
| Species | Application | Title |
|---|---|---|
J Mol Cell Cardiol Translational regulation by miR-301b upregulates AMP deaminase in diabetic hearts. | ||
J Mol Cell Cardiol Xanthine oxidoreductase-mediated injury is amplified by upregulated AMP deaminase in type 2 diabetic rat hearts under the condition of pressure overload. | ||
Nat Metab Super-enhancer-driven metabolic reprogramming promotes cystogenesis in autosomal dominant polycystic kidney disease.
| ||
J Med Chem Discovery of Novel N-(5-(Pyridin-3-yl)-1H-indazol-3-yl)benzamide Derivatives as Potent Cyclin-Dependent Kinase 7 Inhibitors for the Treatment of Autosomal Dominant Polycystic Kidney Disease | ||
Physiol Rep Downregulation of extramitochondrial BCKDH and its uncoupling from AMP deaminase in type 2 diabetic OLETF rat hearts |









