验证数据展示
经过测试的应用
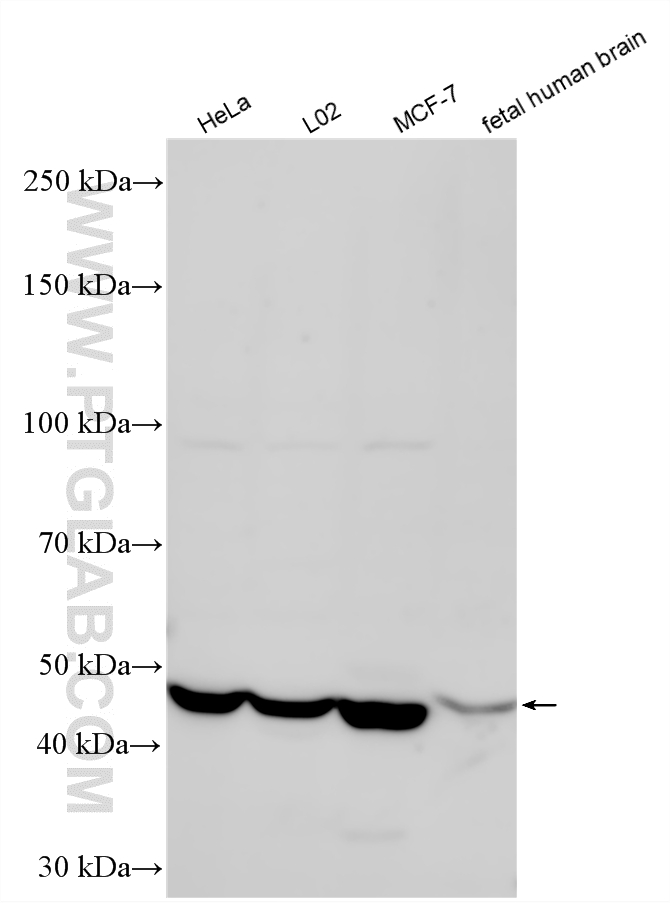
| Positive WB detected in | HeLa cells, human brain tissue, L02 cells, MCF-7 cells, mouse kidney tissue, mouse ovary tissue, fetal human brain tissue |
| Positive IF/ICC detected in | MCF-7 cells |
推荐稀释比
| 应用 | 推荐稀释比 |
|---|---|
| Western Blot (WB) | WB : 1:1000-1:4000 |
| Immunofluorescence (IF)/ICC | IF/ICC : 1:50-1:500 |
| It is recommended that this reagent should be titrated in each testing system to obtain optimal results. | |
| Sample-dependent, Check data in validation data gallery. | |
产品信息
21278-1-AP targets AMIGO3 in WB, IF/ICC, ELISA applications and shows reactivity with human, mouse, rat samples.
| 经测试应用 | WB, IF/ICC, ELISA Application Description |
| 经测试反应性 | human, mouse, rat |
| 免疫原 |
CatNo: Ag15790 Product name: Recombinant human AMIGO3 protein Source: e coli.-derived, PGEX-4T Tag: GST Domain: 221-504 aa of BC110418 Sequence: LPCDCRLYHLLQRWHQRGLSAVRDFAREYVCLAFKVPASRVRFFQHSRVFENCSSAPALGLERPEEHLYALVGRSLRLYCNTSVPAMRIAWVSPQQELLRAPGSRDGSIAVLADGSLAIGNVQEQHAGLFVCLATGPRLHHNQTHEYNVSVHFPRPEPEAFNTGFTTLLGCAVGLVLVLLYLFAPPCRCCRRACRCRRWPQTPSPLQELSAQSSVLSTTPPDAPSRKASVHKHVVFLEPGRRGLNGRVQLAVAEEFDLYNPGGLQLKAGSESASSIGSEGPMTT 种属同源性预测 |
| 宿主/亚型 | Rabbit / IgG |
| 抗体类别 | Polyclonal |
| 产品类型 | Antibody |
| 全称 | adhesion molecule with Ig-like domain 3 |
| 别名 | ALI3, Alivin 3, Alivin-3, AMIGO 3, AMIGO-3 |
| 计算分子量 | 504 aa, 55 kDa |
| 观测分子量 | 45-50 kDa |
| GenBank蛋白编号 | BC110418 |
| 基因名称 | AMIGO3 |
| Gene ID (NCBI) | 386724 |
| RRID | AB_10733101 |
| 偶联类型 | Unconjugated |
| 形式 | Liquid |
| 纯化方式 | Antigen affinity purification |
| UNIPROT ID | Q86WK7 |
| 储存缓冲液 | PBS with 0.02% sodium azide and 50% glycerol, pH 7.3. |
| 储存条件 | Store at -20°C. Stable for one year after shipment. Aliquoting is unnecessary for -20oC storage. |
实验方案
| Product Specific Protocols | |
|---|---|
| IF protocol for AMIGO3 antibody 21278-1-AP | Download protocol |
| WB protocol for AMIGO3 antibody 21278-1-AP | Download protocol |
| Standard Protocols | |
|---|---|
| Click here to view our Standard Protocols |







