验证数据展示
经过测试的应用
| Positive WB detected in | HL-60 cells, Jurkat cells, L02 cells |
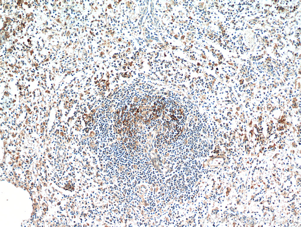
| Positive IHC detected in | human spleen tissue Note: suggested antigen retrieval with TE buffer pH 9.0; (*) Alternatively, antigen retrieval may be performed with citrate buffer pH 6.0 |
推荐稀释比
| 应用 | 推荐稀释比 |
|---|---|
| Western Blot (WB) | WB : 1:1000-1:4000 |
| Immunohistochemistry (IHC) | IHC : 1:20-1:200 |
| It is recommended that this reagent should be titrated in each testing system to obtain optimal results. | |
| Sample-dependent, Check data in validation data gallery. | |
产品信息
21302-1-AP targets JAML in WB, IHC, IF, ELISA applications and shows reactivity with human samples.
| 经测试应用 | WB, IHC, ELISA Application Description |
| 文献引用应用 | WB, IHC, IF |
| 经测试反应性 | human |
| 文献引用反应性 | human, mouse |
| 免疫原 |
CatNo: Ag15900 Product name: Recombinant human AMICA1 protein Source: e coli.-derived, PGEX-4T Tag: GST Domain: 40-275 aa of BC100797 Sequence: VPIGRFQNRVHLMGDILCNDGSLLLQDVQEADQGTYICEIRLKGESQVFKKAVVLHVLPEEPKELMVHVGGLIQMGCVFQSTEVKHVTKVEWIFSGRRAKEEIVFRYYHKLRMSVEYSQSWGHFQNRVNLVGDIFRNDGSIMLQGVRESDGGNYTCSIHLGNLVFKKTIVLHVSPEEPRTLVTPAALRPLVLGGNQLVIIVGIVCATILLLPVLILIVKKTCGNKSSVNSTVLVKN 种属同源性预测 |
| 宿主/亚型 | Rabbit / IgG |
| 抗体类别 | Polyclonal |
| 产品类型 | Antibody |
| 全称 | adhesion molecule, interacts with CXADR antigen 1 |
| 别名 | Gm638, Dendritic cell-specific protein CREA7-1, CREA7 4, CREA7 1, AMICA1 |
| 计算分子量 | 394 aa, 44 kDa |
| 观测分子量 | 44 kDa, 50-70 kDa |
| GenBank蛋白编号 | BC100797 |
| 基因名称 | JAML |
| Gene ID (NCBI) | 120425 |
| RRID | AB_10733103 |
| 偶联类型 | Unconjugated |
| 形式 | Liquid |
| 纯化方式 | Antigen affinity purification |
| UNIPROT ID | Q86YT9 |
| 储存缓冲液 | PBS with 0.02% sodium azide and 50% glycerol, pH 7.3. |
| 储存条件 | Store at -20°C. Stable for one year after shipment. Aliquoting is unnecessary for -20oC storage. |
背景介绍
Junctional adhesion molecules (JAM-A, JAM-B, and JAM-C) are endothelial and epithelial adhesion molecules involved in the recruitment of circulating leukocytes to inflammatory sites (PMID: 19064666). JAML (junctional adhesion molecule-like), also known as AMICA1, is related to JAM proteins. It contains 2 extracellular immunoglobulin-like domains, a transmembrane segment, and a cytoplasmic tail. JAML is expressed on leukocytes and promotes their adhesion to endothelial cells (PMID: 12869515). JAML can regulate neutrophil transepithelial migration via binding interactions with epithelial coxsackie and adenovirus receptor (CAR) (PMID: 15800062). The full-length human JAML protein has a calculated molecular weight of 44 kDa. This antibody raised against 40-275 aa of human JAML protein detects bands with molecular wight of 44 kDa, and 50-70 kDa which probably represent different glycoforms of the protein (PMID: 12869515; 24621992; 15800062).
实验方案
| Product Specific Protocols | |
|---|---|
| IHC protocol for JAML antibody 21302-1-AP | Download protocol |
| WB protocol for JAML antibody 21302-1-AP | Download protocol |
| Standard Protocols | |
|---|---|
| Click here to view our Standard Protocols |
发表文章
| Species | Application | Title |
|---|---|---|
J Transl Med Junctional adhesion molecule-like protein promotes tumor progression via the Wnt/β-catenin signaling pathway in lung adenocarcinoma. | ||
Eur J Pharmacol Resveratrol ameliorates diabetic kidney injury by reducing lipotoxicity and modulates expression of components of the junctional adhesion molecule-like/sirtuin 1 lipid metabolism pathway. | ||
Clin Sci (Lond) Silencing of junctional adhesion molecule-like protein attenuates atherogenesis and enhances plaque stability in ApoE-/- mice. | ||
Cancer Lett Distinct Immunophenotypic Profiles and Neutrophil Heterogeneity in Colorectal Cancer | ||
Front Immunol The prognostic significance of JAML and its role in remodeling the immune microenvironment via the cGAS-STING pathway in endometrial cancer.
|


