验证数据展示
经过测试的应用
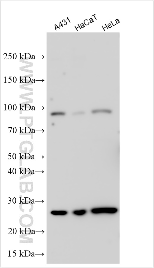
| Positive WB detected in | A431 cells, HaCaT cells, HeLa cells |
推荐稀释比
| 应用 | 推荐稀释比 |
|---|---|
| Western Blot (WB) | WB : 1:1000-1:8000 |
| It is recommended that this reagent should be titrated in each testing system to obtain optimal results. | |
| Sample-dependent, Check data in validation data gallery. | |
产品信息
32937-1-AP targets ALS2CL in WB, ELISA applications and shows reactivity with human samples.
| 经测试应用 | WB, ELISA Application Description |
| 经测试反应性 | human |
| 免疫原 |
CatNo: Ag36619 Product name: Recombinant human ALS2CL protein Source: e coli.-derived, PGEX-4T Tag: GST Domain: 780-953 aa of BC075825 Sequence: HEREDSFYSQGIANLSLFPDTQLLEFLDVQKHLWPLKDLTLTSNQRYSLVRDKCFLSATECLQKIMTTVDPREKLEVLERTYGEIEGTVSRVLGREYKLPMDDLLPLLIYVVSRARIQHLGAEIHLIRDMMDPNHTGGLYDFLLTALESCYEHIQKEDMRLHRLPGHWHSRELW 种属同源性预测 |
| 宿主/亚型 | Rabbit / IgG |
| 抗体类别 | Polyclonal |
| 产品类型 | Antibody |
| 全称 | ALS2 C-terminal like |
| 别名 | ALS2 C-terminal-like protein |
| 观测分子量 | 27kDa, 90-100kDa |
| GenBank蛋白编号 | BC075825 |
| 基因名称 | ALS2CL |
| Gene ID (NCBI) | 259173 |
| RRID | AB_3742797 |
| 偶联类型 | Unconjugated |
| 形式 | Liquid |
| 纯化方式 | Antigen affinity Purification |
| UNIPROT ID | Q60I27 |
| 储存缓冲液 | PBS with 0.02% sodium azide and 50% glycerol, pH 7.3. |
| 储存条件 | Store at -20°C. Stable for one year after shipment. Aliquoting is unnecessary for -20oC storage. |
实验方案
| Product Specific Protocols | |
|---|---|
| WB protocol for ALS2CL antibody 32937-1-AP | Download protocol |
| Standard Protocols | |
|---|---|
| Click here to view our Standard Protocols |
