验证数据展示
经过测试的应用
| Positive WB detected in | pig spleen tissue, THP-1 cells |
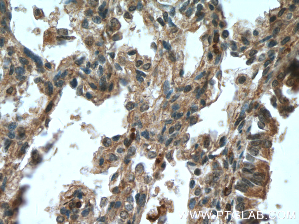
| Positive IHC detected in | human lung tissue, human spleen tissue Note: suggested antigen retrieval with TE buffer pH 9.0; (*) Alternatively, antigen retrieval may be performed with citrate buffer pH 6.0 |
推荐稀释比
| 应用 | 推荐稀释比 |
|---|---|
| Western Blot (WB) | WB : 1:1000-1:4000 |
| Immunohistochemistry (IHC) | IHC : 1:100-1:400 |
| It is recommended that this reagent should be titrated in each testing system to obtain optimal results. | |
| Sample-dependent, Check data in validation data gallery. | |
产品信息
66326-1-Ig targets 5 Lipoxygenase in WB, IHC, IF, ELISA applications and shows reactivity with human, pig samples.
| 经测试应用 | WB, IHC, ELISA Application Description |
| 文献引用应用 | WB, IHC, IF |
| 经测试反应性 | human, pig |
| 文献引用反应性 | human |
| 免疫原 |
CatNo: Ag18168 Product name: Recombinant human ALOX5 protein Source: e coli.-derived, PET28a Tag: 6*His Domain: 1-349 aa of BC130332 Sequence: MPSYTVTVATGSQWFAGTDDYIYLSLVGSAGCSEKHLLDKPFYNDFERGAVDSYDVTVDEELGEIQLVRIEKRKYWLNDDWYLKYITLKTPHGDYIEFPCYRWITGDVEVVLRDGRAKLARDDQIHILKQHRRKELETRQKQYRWMEWNPGFPLSIDAKCHKDLPRDIQFDSEKGVDFVLNYSKAMENLFINRFMHMFQSSWNDFADFEKIFVKISNTISERVMNHWQEDLMFGYQFLNGCNPVLIRRCTELPEKLPVTTEMVECSLERQLSLEQEVQQGNIFIVDFELLDGIDANKTDPCTLQFLAAPICLLYKNLANKIVPIAIQLNQIPGDENPIFLPSDAKYDWL 种属同源性预测 |
| 宿主/亚型 | Mouse / IgG2a |
| 抗体类别 | Monoclonal |
| 产品类型 | Antibody |
| 全称 | arachidonate 5-lipoxygenase |
| 别名 | ALOX5, 3B1B7, 5 LO, 5 LOX, 5-lipoxygenase |
| 计算分子量 | 674 aa, 78 kDa |
| 观测分子量 | 70-78 kDa |
| GenBank蛋白编号 | BC130332 |
| 基因名称 | 5 Lipoxygenase |
| Gene ID (NCBI) | 240 |
| RRID | AB_2881707 |
| 偶联类型 | Unconjugated |
| 形式 | Liquid |
| 纯化方式 | Protein A purification |
| UNIPROT ID | P09917 |
| 储存缓冲液 | PBS with 0.02% sodium azide and 50% glycerol, pH 7.3. |
| 储存条件 | Store at -20°C. Stable for one year after shipment. Aliquoting is unnecessary for -20oC storage. |
背景介绍
ALOX5(arachidonate 5-lipoxygenase) is also named as LOG5, 5-LO and belongs to the lipoxygenase family. It catalyzes the first step in leukotriene biosynthesis, and plays a role in inflammatory processes. It is a 78 kDa iron-containing enzyme that translocates from the cytosol to associate with FLAP, and converts arachidonate in two steps into the unstable intermediate LTA4. It is essential for cysteinyl-leukotriene (cys-LT) production, critical mediators in asthma(PMID:12911785).
实验方案
| Product Specific Protocols | |
|---|---|
| IHC protocol for 5 Lipoxygenase antibody 66326-1-Ig | Download protocol |
| WB protocol for 5 Lipoxygenase antibody 66326-1-Ig | Download protocol |
| Standard Protocols | |
|---|---|
| Click here to view our Standard Protocols |
发表文章
| Species | Application | Title |
|---|---|---|
Front Pharmacol MLL-AF4 upregulates 5-lipoxygenase expression in t(4;11) leukemia cells via the ALOX5 core promoter | ||
ACS Synth Biol Potential and Optimization of Mammalian Splice Riboswitches for the Regulation of Exon Skipping-Dependent Gene Expression and Isoform Switching within the ALOX5 Gene | ||
Cancer Gene Ther Knock-out of 5-lipoxygenase in overexpressing tumor cells-consequences on gene expression and cellular function | ||
Life Sci Alliance Three-dimensional growth reveals fine-tuning of 5-lipoxygenase by proliferative pathways in cancer | ||
Kaohsiung J Med Sci Magnolin alleviated DSS-induced colitis by inhibiting ALOX5-mediated ferroptosis | ||
Acta Diabetol Identification of potential key lipid metabolism-related genes involved in tubular injury in diabetic kidney disease by bioinformatics analysis |









