验证数据展示
产品信息
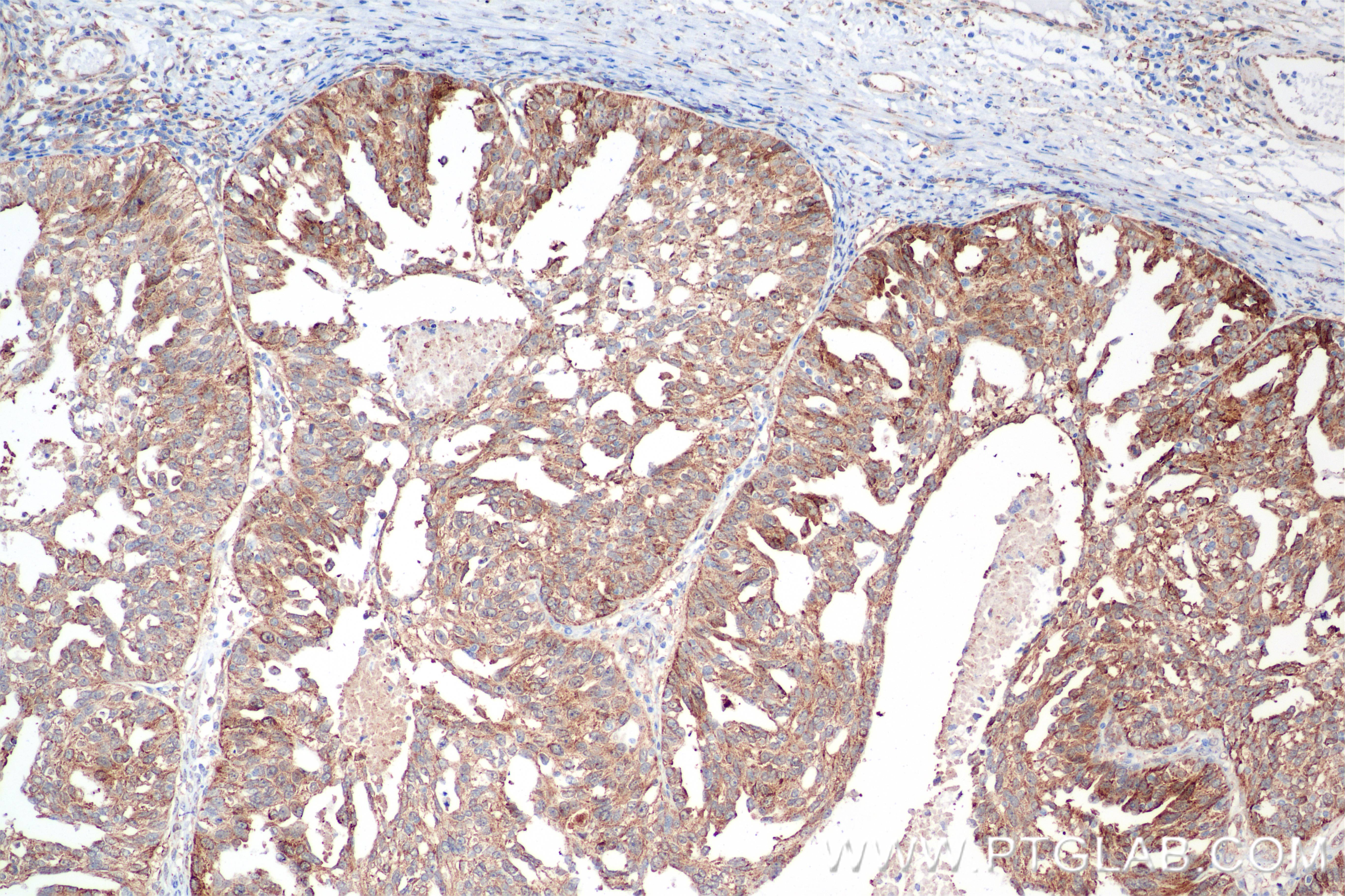
84871-4-PBS targets ALDH7A1 in WB, IHC, IP, Indirect ELISA applications and shows reactivity with human, mouse, rat samples.
| 经测试应用 | WB, IHC, IP, Indirect ELISA Application Description |
| 经测试反应性 | human, mouse, rat |
| 免疫原 |
CatNo: Ag0383 Product name: Recombinant human ALDH7A1 protein Source: e coli.-derived, PGEX-4T Tag: GST Domain: 196-398 aa of BC002515 Sequence: SLISVAVTKIIAKVLEDNKLPGAICSLTCGGADIGTAMAKDERVNLLSFTGSTQVGKQVGLMVQERFGRSLLELGGNNAIIAFEDADLSLVVPSALFAAVGTAGQRCTTARRLFIHESIHDEVVNRLKKAYAQIRVGNPWDPNVLYGPLHTKQAVSMFLGAVEEAKKEGGTVVYGGKVMDRPGNYVEPTIVTGLGHDASIAHT 种属同源性预测 |
| 宿主/亚型 | Rabbit / IgG |
| 抗体类别 | Recombinant |
| 产品类型 | Antibody |
| 全称 | aldehyde dehydrogenase 7 family, member A1 |
| 别名 | 242363B11, ALDH7A 1, Alpha-AASA dehydrogenase, Alpha-aminoadipic semialdehyde dehydrogenase, Antiquitin-1 |
| 计算分子量 | 55 kDa |
| 观测分子量 | 55 kDa |
| GenBank蛋白编号 | BC002515 |
| 基因名称 | ALDH7A1 |
| Gene ID (NCBI) | 501 |
| RRID | AB_3743796 |
| 偶联类型 | Unconjugated |
| 形式 | Liquid |
| 纯化方式 | Protein A purification |
| UNIPROT ID | P49419 |
| 储存缓冲液 | PBS only, pH 7.3. |
| 储存条件 | Store at -80°C. The product is shipped with ice packs. Upon receipt, store it immediately at -80°C |
背景介绍
ALDH7A1(Alpha-aminoadipic semialdehyde dehydrogenase) is also named as ATQ1 and belongs to the aldehyde dehydrogenase family. It plays a major role in the detoxification of aldehydes generated by alcohol metabolism and lipid peroxidation.





