验证数据展示
经过测试的应用
| Positive WB detected in | A549 cells, rat liver tissue, mouse brain tissue, HEK-293 cells, NIH/3T3 cells, RAW 264.7 cells, ROS1728 cells, LNCaP cells, Hela cells, Jurkat cells, HSC-T6 cells, PC-12 cells |
| Positive IP detected in | mouse brain tissue |
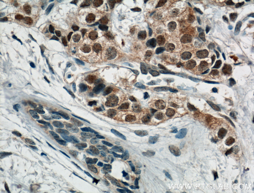
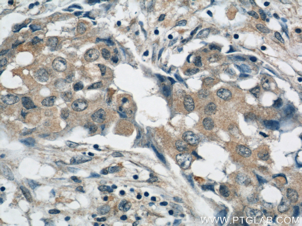
| Positive IHC detected in | human breast cancer tissue, human cervical cancer tissue Note: suggested antigen retrieval with TE buffer pH 9.0; (*) Alternatively, antigen retrieval may be performed with citrate buffer pH 6.0 |
| Positive IF/ICC detected in | MCF-7 cells |
推荐稀释比
| 应用 | 推荐稀释比 |
|---|---|
| Western Blot (WB) | WB : 1:5000-1:50000 |
| Immunoprecipitation (IP) | IP : 0.5-4.0 ug for 1.0-3.0 mg of total protein lysate |
| Immunohistochemistry (IHC) | IHC : 1:100-1:400 |
| Immunofluorescence (IF)/ICC | IF/ICC : 1:200-1:800 |
| It is recommended that this reagent should be titrated in each testing system to obtain optimal results. | |
| Sample-dependent, Check data in validation data gallery. | |
产品信息
60203-2-Ig targets AKT in WB, IHC, IF/ICC, IP, CoIP, ELISA applications and shows reactivity with human, mouse, rat samples.
| 经测试应用 | WB, IHC, IF/ICC, IP, ELISA Application Description |
| 文献引用应用 | WB, IHC, IF, IP, CoIP |
| 经测试反应性 | human, mouse, rat |
| 文献引用反应性 | human, mouse, rat, rabbit, chicken, bovine, hamster, sheep, goat, duck |
| 免疫原 |
CatNo: Ag16695 Product name: Recombinant human AKT protein Source: e coli.-derived, PET28a Tag: 6*His Domain: 1-224 aa of BC000479 Sequence: MSDVAIVKEGWLHKRGEYIKTWRPRYFLLKNDGTFIGYKERPQDVDQREAPLNNFSVAQCQLMKTERPRPNTFIIRCLQWTTVIERTFHVETPEEREEWTTAIQTVADGLKKQEEEEMDFRSGSPSDNSGAEEMEVSLAKPKHRVTMNEFEYLKLLGKGTFGKVILVKEKATGRYYAMKILKKEVIVAKDEVAHTLTENRVLQNSRHPFLTALKYSFQTHDRLC 种属同源性预测 |
| 宿主/亚型 | Mouse / IgG1 |
| 抗体类别 | Monoclonal |
| 产品类型 | Antibody |
| 全称 | v-akt murine thymoma viral oncogene homolog 1 |
| 别名 | AKT 1, AKT1, 2C5D1, EC:2.7.11.1, PKB |
| 计算分子量 | 56 kDa |
| 观测分子量 | 56-62 kDa |
| GenBank蛋白编号 | BC000479 |
| 基因名称 | AKT1 |
| Gene ID (NCBI) | 207 |
| RRID | AB_10912803 |
| 偶联类型 | Unconjugated |
| 形式 | Liquid |
| 纯化方式 | Protein G purification |
| UNIPROT ID | P31749 |
| 储存缓冲液 | PBS with 0.02% sodium azide and 50% glycerol, pH 7.3. |
| 储存条件 | Store at -20°C. Stable for one year after shipment. Aliquoting is unnecessary for -20oC storage. |
背景介绍
The serine-threonine protein kinase AKT1 is catalytically inactive in serum-starved primary and immortalized fibroblasts. Survival factors can suppress apoptosis in a transcription-independent manner by activating the serine/threonine kinase AKT1, which then phosphorylates and inactivates components of the apoptotic machinery. This antibody detects all the members of AKT with/without phospho- modification.
实验方案
| Product Specific Protocols | |
|---|---|
| WB protocol for AKT antibody 60203-2-Ig | Download protocol |
| IHC protocol for AKT antibody 60203-2-Ig | Download protocol |
| IF protocol for AKT antibody 60203-2-Ig | Download protocol |
| IP protocol for AKT antibody 60203-2-Ig | Download protocol |
| Standard Protocols | |
|---|---|
| Click here to view our Standard Protocols |
发表文章
| Species | Application | Title |
|---|---|---|
Signal Transduct Target Ther Circulating tumor cells shielded with extracellular vesicle-derived CD45 evade T cell attack to enable metastasis | ||
Cell Metab Acetate enables metabolic fitness and cognitive performance during sleep disruption | ||
Nat Commun FOXP3+ regulatory T cell perturbation mediated by the IFNγ-STAT1-IFITM3 feedback loop is essential for anti-tumor immunity | ||
Cell Rep Med Reprograming immunosuppressive microenvironment by eIF4G1 targeting to eradicate pancreatic ductal adenocarcinoma | ||
Cell Rep Med Targeting phenylpyruvate restrains excessive NLRP3 inflammasome activation and pathological inflammation in diabetic wound healing | ||
Adv Healthc Mater A ROS-Responsive Liposomal Composite Hydrogel Integrating Improved Mitochondrial Function and Pro-Angiogenesis for Efficient Treatment of Myocardial Infarction. |


















