验证数据展示
经过测试的应用
| Positive WB detected in | SMMC-7721 cells, HepG2 cells, HuH-7 cells |
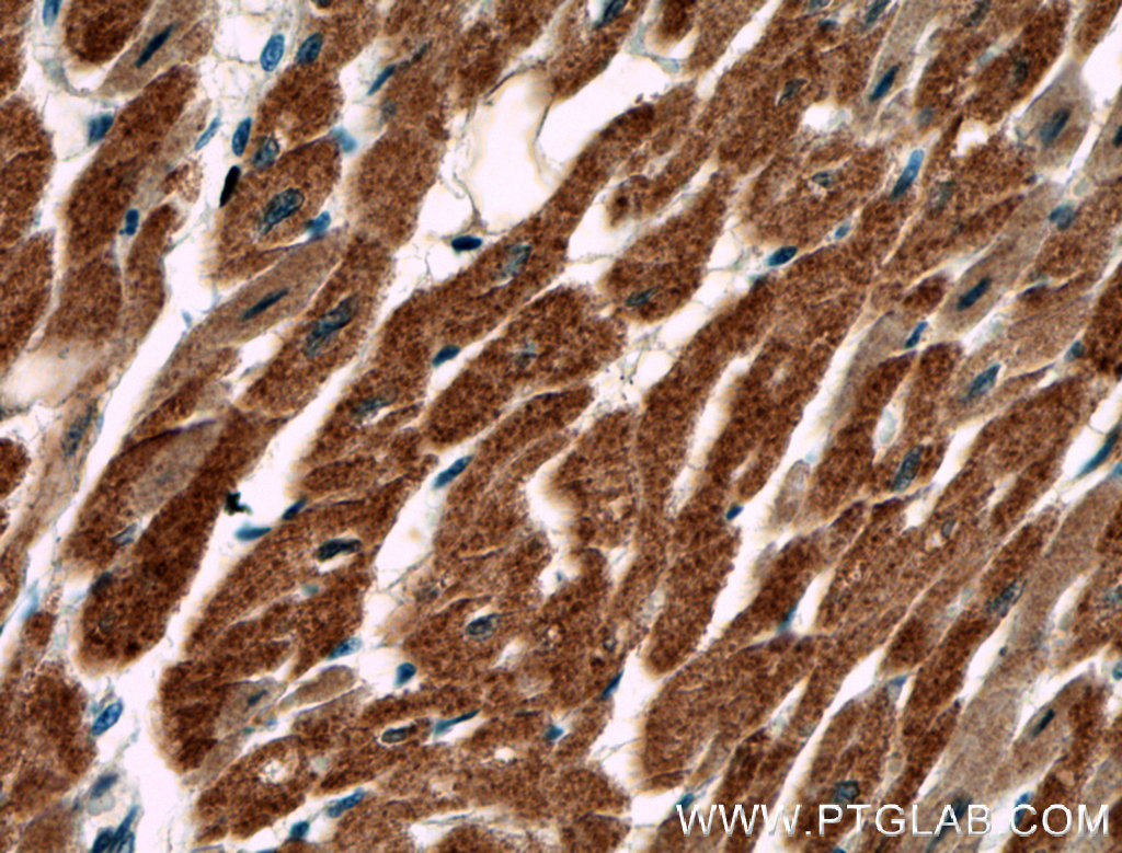
| Positive IHC detected in | human heart tissue, human liver cancer tissue Note: suggested antigen retrieval with TE buffer pH 9.0; (*) Alternatively, antigen retrieval may be performed with citrate buffer pH 6.0 |
推荐稀释比
| 应用 | 推荐稀释比 |
|---|---|
| Western Blot (WB) | WB : 1:1000-1:4000 |
| Immunohistochemistry (IHC) | IHC : 1:50-1:500 |
| It is recommended that this reagent should be titrated in each testing system to obtain optimal results. | |
| Sample-dependent, Check data in validation data gallery. | |
发表文章中的应用
| WB | See 1 publications below |
产品信息
27554-1-AP targets AKD2 in WB, IHC, ELISA applications and shows reactivity with human samples.
| 经测试应用 | WB, IHC, ELISA Application Description |
| 文献引用应用 | WB |
| 经测试反应性 | human |
| 文献引用反应性 | human |
| 免疫原 |
CatNo: Ag25805 Product name: Recombinant human AKD2 protein Source: e coli.-derived, PET28a Tag: 6*His Domain: 1-421 aa of BC022031 Sequence: MTSQEKTEEYPFADIFDEDETERNFLLSKPVCFVVFGKPGVGKTTLARYITQAWKCIRVEALPILEEQIAAETESGVMLQSMLISGQSIPDELVIKLMLEKLNSPEVCHFGYIITEIPSLSQDAMTTLQQIELIKNLNLKPDVIINIKCPDYDLCQRISGQRQHNNTGYIYSRDQWDPEVIENHRKKKKEAQKDGKGEEEEEEEEQEEEEAFIAEMQMVAEILHHLVQRPEDYLENVENIVKLYKETILQTLEEVMAEHNPQYLIELNGNKPAEELFMIVMDRLKYLNLKRAAILTKLQGAEEEINDTMENDELFRTLASYKLIAPRYRWQRSKWGRTCPVNLKDGNIYSGLPDYSVSFLGKIYCLSSEEALKPFLLNPRPYLLPPMPGPPCKVFILGPQYSGKTTLCNMLAENYKGKVTN 种属同源性预测 |
| 宿主/亚型 | Rabbit / IgG |
| 抗体类别 | Polyclonal |
| 产品类型 | Antibody |
| 全称 | adenylate kinase domain containing 2 |
| 别名 | AK9, Adenylate kinase domain-containing protein 1, Adenylate kinase domain-containing protein 2, AK 9, AKD1 |
| 计算分子量 | 221 kDa |
| 观测分子量 | 45-50 kDa |
| GenBank蛋白编号 | BC022031 |
| 基因名称 | AKD2 |
| Gene ID (NCBI) | 221264 |
| RRID | AB_2880904 |
| 偶联类型 | Unconjugated |
| 形式 | Liquid |
| 纯化方式 | Antigen affinity purification |
| UNIPROT ID | Q5TCS8 |
| 储存缓冲液 | PBS with 0.02% sodium azide and 50% glycerol, pH 7.3. |
| 储存条件 | Store at -20°C. Stable for one year after shipment. Aliquoting is unnecessary for -20oC storage. |
背景介绍
AK9, also named as adenylate kinase 9, belongs to adenylate kinase family, which is a small, ususlly monomeric, enzyme found in every living thing due to its crucial role in energenic metabolism(PMID: 30666486). AK9 is a nucleoside mono- and diphosphate kinase due to its broad phosphatase activity, the local concentration of substrates probably influences catalytic activity(PMID: 24495878). This antibody can detect 45-50 kDa band of AK9(PMID: 23416111).
实验方案
| Product Specific Protocols | |
|---|---|
| IHC protocol for AKD2 antibody 27554-1-AP | Download protocol |
| WB protocol for AKD2 antibody 27554-1-AP | Download protocol |
| Standard Protocols | |
|---|---|
| Click here to view our Standard Protocols |







