验证数据展示
经过测试的应用
| Positive WB detected in | Caco-2 cells, human liver tissue, HEK-293 cells, HeLa cells, MCF-7 cells, PC-3 cells, SW480 cells |
| Positive IP detected in | PC-3 cells |
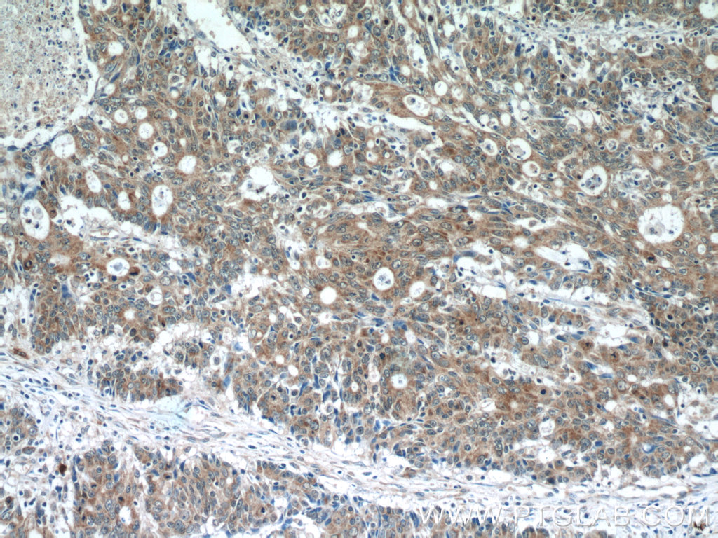
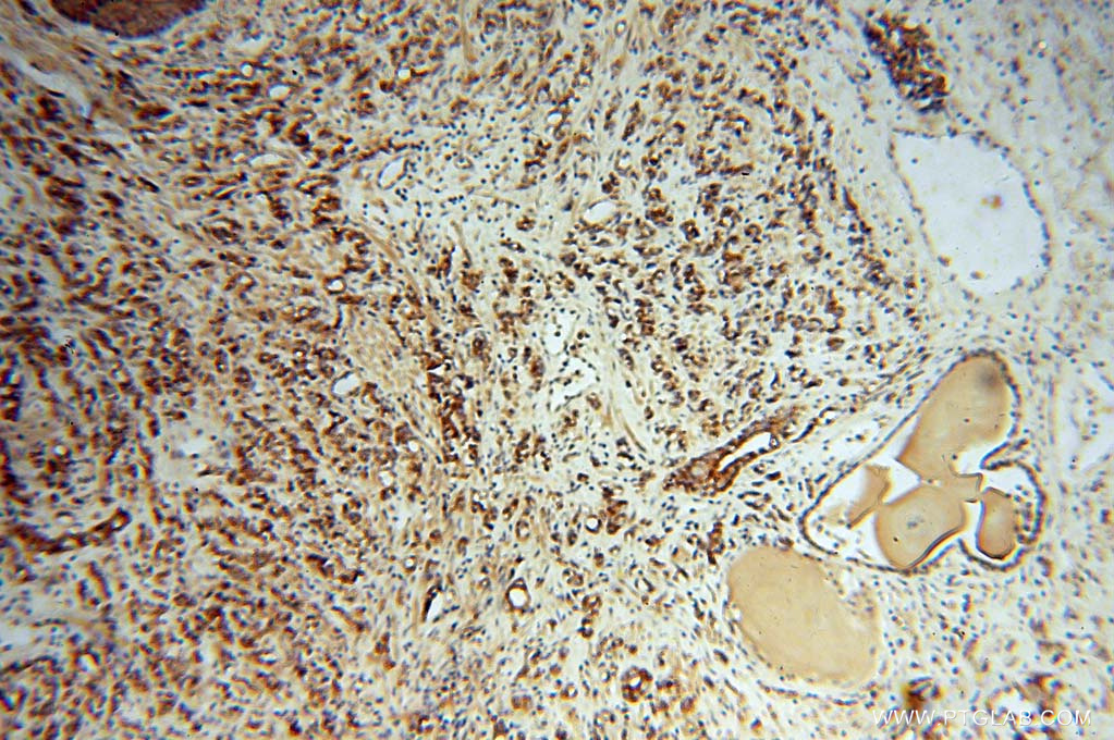
| Positive IHC detected in | human lung cancer tissue, human prostate cancer tissue, human colon cancer tissue, human small intestine tissue Note: suggested antigen retrieval with TE buffer pH 9.0; (*) Alternatively, antigen retrieval may be performed with citrate buffer pH 6.0 |
| Positive IF/ICC detected in | MCF-7 cells |
推荐稀释比
| 应用 | 推荐稀释比 |
|---|---|
| Western Blot (WB) | WB : 1:1000-1:4000 |
| Immunoprecipitation (IP) | IP : 0.5-4.0 ug for 1.0-3.0 mg of total protein lysate |
| Immunohistochemistry (IHC) | IHC : 1:50-1:500 |
| Immunofluorescence (IF)/ICC | IF/ICC : 1:10-1:100 |
| It is recommended that this reagent should be titrated in each testing system to obtain optimal results. | |
| Sample-dependent, Check data in validation data gallery. | |
产品信息
15618-1-AP targets AKAP1 in WB, IHC, IF/ICC, IP, RIP, ELISA applications and shows reactivity with human samples.
| 经测试应用 | WB, IHC, IF/ICC, IP, ELISA Application Description |
| 文献引用应用 | WB, IHC, IF, IP, RIP |
| 经测试反应性 | human |
| 文献引用反应性 | human |
| 免疫原 |
CatNo: Ag8037 Product name: Recombinant human AKAP1 protein Source: e coli.-derived, PET28a Tag: 6*His Domain: 31-351 aa of BC000729 Sequence: GHVSSHDEQQVEAGAVQLRADPAIKEPLPVEDVCPKVVSTPPSVTEPPEKELSTVSKLPAEPPALLQTHPPCRRSESSGILPNTTDMRLRPGTRRDDSTKLELALTGGEAKSIPLECPLSSPKGVLFSSKSAEVCKQDSPFSRVPRKVQPGYPVVPAEKRSSGERARETGGAEGTGDAVLGEKVLEEALLSREHVLELENSKGPSLASLEGEEDKGKSSSSQVVGPVQEEEYVAEKLPSRFIESAHTELAKDDAAPAPPVADAKAQDRGVEGELGNEESLDRNEEGLDRNEEGLDRNEESLDRNEEGLDRNEEIKRAAFQI 种属同源性预测 |
| 宿主/亚型 | Rabbit / IgG |
| 抗体类别 | Polyclonal |
| 产品类型 | Antibody |
| 全称 | A kinase (PRKA) anchor protein 1 |
| 别名 | D-AKAP-1, DAKAP1, A-kinase anchor protein 149 kDa, A-kinase anchor protein 1, mitochondrial, AKAP 1 |
| 计算分子量 | 97 kDa |
| 观测分子量 | 149 kDa |
| GenBank蛋白编号 | BC000729 |
| 基因名称 | AKAP1 |
| Gene ID (NCBI) | 8165 |
| RRID | AB_2225484 |
| 偶联类型 | Unconjugated |
| 形式 | Liquid |
| 纯化方式 | Antigen affinity purification |
| UNIPROT ID | Q92667 |
| 储存缓冲液 | PBS with 0.02% sodium azide and 50% glycerol, pH 7.3. |
| 储存条件 | Store at -20°C. Stable for one year after shipment. Aliquoting is unnecessary for -20oC storage. |
背景介绍
AKAP1 (also termed AKAP149) is a human 149 kDa anchoring protein localized in mitochondria and the endoplasmic reticulum/nuclear envelope (ER-NE) network. It Binds to type I and II regulatory subunits of protein kinase A and anchors them to the cytoplasmic face of the mitochondrial outer membrane. This protein is speculated to be involved in the cAMP-dependent signal transduction pathway and in directing RNA to a specific cellular compartment.
实验方案
| Product Specific Protocols | |
|---|---|
| IF protocol for AKAP1 antibody 15618-1-AP | Download protocol |
| IHC protocol for AKAP1 antibody 15618-1-AP | Download protocol |
| IP protocol for AKAP1 antibody 15618-1-AP | Download protocol |
| WB protocol for AKAP1 antibody 15618-1-AP | Download protocol |
| Standard Protocols | |
|---|---|
| Click here to view our Standard Protocols |
发表文章
| Species | Application | Title |
|---|---|---|
EMBO J FUNDC1 regulates mitochondrial dynamics at the ER-mitochondrial contact site under hypoxic conditions. | ||
Mol Endocrinol Short RNA molecules with high binding affinity to the KH motif of A-kinase anchoring protein 1 (AKAP1): implications for the regulation of steroidogenesis. | ||
Noncoding RNA Res LINC00323 knockdown suppresses the proliferation, migration, and vascular mimicry of non-small cell lung cancer cells by promoting ubiquitinated degradation of AKAP1
| ||
Cell Death Differ AKAP1/PKA-mediated GRP75 phosphorylation at mitochondria-associated endoplasmic reticulum membranes protects cancer cells against ferroptosis |











