验证数据展示
经过测试的应用
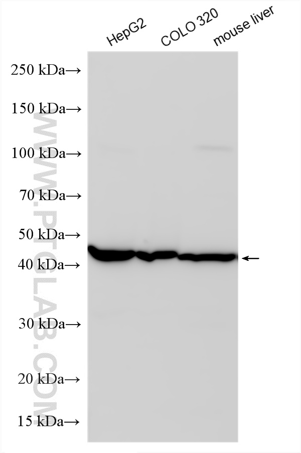
| Positive WB detected in | HepG2 cells, COLO 320 cells, HeLa cells, mouse liver tissue, Jurkat cells, rat liver tissue |
| Positive IP detected in | COLO 320 cells |
| Positive IHC detected in | human colon cancer tissue Note: suggested antigen retrieval with TE buffer pH 9.0; (*) Alternatively, antigen retrieval may be performed with citrate buffer pH 6.0 |
推荐稀释比
| 应用 | 推荐稀释比 |
|---|---|
| Western Blot (WB) | WB : 1:2000-1:10000 |
| Immunoprecipitation (IP) | IP : 0.5-4.0 ug for 1.0-3.0 mg of total protein lysate |
| Immunohistochemistry (IHC) | IHC : 1:500-1:2000 |
| It is recommended that this reagent should be titrated in each testing system to obtain optimal results. | |
| Sample-dependent, Check data in validation data gallery. | |
产品信息
10757-2-AP targets AHCY in WB, IHC, IF, IP, RIP, ELISA applications and shows reactivity with human, mouse, rat samples.
| 经测试应用 | WB, IHC, IP, ELISA Application Description |
| 文献引用应用 | WB, IHC, IF, IP, RIP |
| 经测试反应性 | human, mouse, rat |
| 文献引用反应性 | human, mouse, rat, pig, branchiostoma belcheri |
| 免疫原 |
CatNo: Ag1208 Product name: Recombinant human AHCY protein Source: e coli.-derived, PGEX-4T Tag: GST Domain: 116-432 aa of BC011606 Sequence: QTLYFKDGPLNMILDDGGDLTNLIHTKYPQLLPGIRGISEETTTGVHNLYKMMANGILKVPAINVNDSVTKSKFDNLYGCRESLIDGIKRATDVMIAGKVAVVAGYGDVGKGCAQALRGFGARVIITEIDPINALQAAMEGYEVTTMDEACQEGNIFVTTTGCIDIILGRHFEQMKDDAIVCNIGHFDVEIDVKWLNENAVEKVNIKPQVDRYRLKNGRRIILLAEGRLVNLGCAMGHPSFVMSNSFTNQVMAQIELWTHPDKYPVGVHFLPKKLDEAVAEAHLGKLNVKLTKLTEKQAQYLGMSCDGPFKPDHYRY 种属同源性预测 |
| 宿主/亚型 | Rabbit / IgG |
| 抗体类别 | Polyclonal |
| 产品类型 | Antibody |
| 全称 | S-adenosylhomocysteine hydrolase |
| 别名 | SAHH, EC:3.13.2.1 |
| 计算分子量 | 48 kDa |
| 观测分子量 | 45-48 kDa |
| GenBank蛋白编号 | BC011606 |
| 基因名称 | AHCY |
| Gene ID (NCBI) | 191 |
| RRID | AB_2289488 |
| 偶联类型 | Unconjugated |
| 形式 | Liquid |
| 纯化方式 | Antigen affinity purification |
| UNIPROT ID | P23526 |
| 储存缓冲液 | PBS with 0.02% sodium azide and 50% glycerol, pH 7.3. |
| 储存条件 | Store at -20°C. Stable for one year after shipment. Aliquoting is unnecessary for -20oC storage. |
背景介绍
AHCY, also named as SAHH, belongs to the adenosylhomocysteinase family. AHCY is a competitive inhibitor of S-adenosyl-L-methionine-dependent methyl transferase reactions; therefore AHCY may play a key role in the control of methylations via regulation of the intracellular concentration of adenosylhomocysteine. AHCY catalyzes the reversible hydrolysis of S-adenosylhomocysteine to adenosine and L-homocysteine.(PMID:21220475).
实验方案
| Product Specific Protocols | |
|---|---|
| IHC protocol for AHCY antibody 10757-2-AP | Download protocol |
| IP protocol for AHCY antibody 10757-2-AP | Download protocol |
| WB protocol for AHCY antibody 10757-2-AP | Download protocol |
| Standard Protocols | |
|---|---|
| Click here to view our Standard Protocols |
发表文章
| Species | Application | Title |
|---|---|---|
Cell Stem Cell Disrupting Mitochondrial Copper Distribution Inhibits Leukemic Stem Cell Self-Renewal. | ||
Nat Commun H19 lncRNA alters DNA methylation genome wide by regulating S-adenosylhomocysteine hydrolase.
| ||
Autophagy AHCYL1 senses SAH to inhibit autophagy through interaction with PIK3C3 in an MTORC1-independent manner.
| ||
Clin Cancer Res Digital transcript profile analysis with aRNA-LongSAGE validates FERMT1 as a potential novel prognostic marker for colon cancer. | ||
Arterioscler Thromb Vasc Biol Increased plasma S-adenosylhomocysteine-accelerated atherosclerosis is associated with epigenetic regulation of endoplasmic reticulum stress in apoE-/- mice.
|






