验证数据展示
经过测试的应用
| Positive WB detected in | rat kidney tissue, HeLa cells, HT-1080 cells |
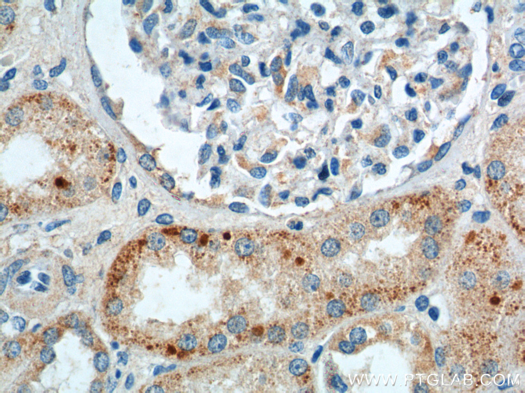
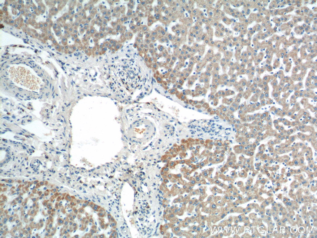
| Positive IHC detected in | human kidney tissue, human liver tissue Note: suggested antigen retrieval with TE buffer pH 9.0; (*) Alternatively, antigen retrieval may be performed with citrate buffer pH 6.0 |
| Positive IF/ICC detected in | HepG2 cells |
| Positive FC (Intra) detected in | HepG2 cells |
推荐稀释比
| 应用 | 推荐稀释比 |
|---|---|
| Western Blot (WB) | WB : 1:500-1:3000 |
| Immunohistochemistry (IHC) | IHC : 1:50-1:400 |
| Immunofluorescence (IF)/ICC | IF/ICC : 1:50-1:500 |
| Flow Cytometry (FC) (INTRA) | FC (INTRA) : 0.40 ug per 10^6 cells in a 100 µl suspension |
| It is recommended that this reagent should be titrated in each testing system to obtain optimal results. | |
| Sample-dependent, Check data in validation data gallery. | |
产品信息
20603-1-AP targets GPAT3 in WB, IHC, IF/ICC, FC (Intra), ELISA applications and shows reactivity with human, mouse, rat samples.
| 经测试应用 | WB, IHC, IF/ICC, FC (Intra), ELISA Application Description |
| 文献引用应用 | WB, IF |
| 经测试反应性 | human, mouse, rat |
| 文献引用反应性 | human, mouse, rat |
| 免疫原 |
CatNo: Ag14579 Product name: Recombinant human AGPAT9 protein Source: e coli.-derived, PGEX-4T Tag: GST Domain: 1-81 aa of BC006236 Sequence: LRMMTSWAIVCDVWYMPPMTREEGEDAVQFANRVKSAIAIQGGLTELPWDGGLKRAKVKDIFKEEQQKNYSKMIVGNGSLS 种属同源性预测 |
| 宿主/亚型 | Rabbit / IgG |
| 抗体类别 | Polyclonal |
| 产品类型 | Antibody |
| 全称 | 1-acylglycerol-3-phosphate O-acyltransferase 9 |
| 别名 | AGPAT9, 1 AGP acyltransferase 9, 1 AGPAT 9, 1-acyl-sn-glycerol-3-phosphate O-acyltransferase 10, 1-acyl-sn-glycerol-3-phosphate O-acyltransferase 9 |
| 计算分子量 | 49 kDa |
| 观测分子量 | 49 kDa |
| GenBank蛋白编号 | BC006236 |
| 基因名称 | AGPAT9 |
| Gene ID (NCBI) | 84803 |
| RRID | AB_10694289 |
| 偶联类型 | Unconjugated |
| 形式 | Liquid |
| 纯化方式 | Antigen affinity purification |
| UNIPROT ID | Q53EU6 |
| 储存缓冲液 | PBS with 0.02% sodium azide and 50% glycerol, pH 7.3. |
| 储存条件 | Store at -20°C. Stable for one year after shipment. Aliquoting is unnecessary for -20oC storage. |
背景介绍
GPAT3, also known as AGPAT9, is a member of the lysophosphatidic acid acyltransferase protein family. GPAT3 is an enzyme that catalyzes the conversion of glycerol-3-phosphate to lysophosphatidic acid in the synthesis of triacylglycerol.
实验方案
| Product Specific Protocols | |
|---|---|
| FC protocol for GPAT3 antibody 20603-1-AP | Download protocol |
| IF protocol for GPAT3 antibody 20603-1-AP | Download protocol |
| IHC protocol for GPAT3 antibody 20603-1-AP | Download protocol |
| WB protocol for GPAT3 antibody 20603-1-AP | Download protocol |
| Standard Protocols | |
|---|---|
| Click here to view our Standard Protocols |
发表文章
| Species | Application | Title |
|---|---|---|
Nat Cell Biol AIDA directly connects sympathetic innervation to adaptive thermogenesis by UCP1. | ||
Cell Metab AIDA Selectively Mediates Downregulation of Fat Synthesis Enzymes by ERAD to Retard Intestinal Fat Absorption and Prevent Obesity. | ||
Phytomedicine Astragaloside IV alleviates radiation-induced heart disease by regulating energy metabolism | ||
Cell Death Dis GPAT3 regulates the synthesis of lipid intermediate LPA and exacerbates Kupffer cell inflammation mediated by the ERK signaling pathway | ||
Ecotoxicol Environ Saf Perturbation of arachidonic acid and glycerolipid metabolism promoted particulate matter-induced inflammatory responses in human bronchial epithelial cells
|










