验证数据展示
经过测试的应用
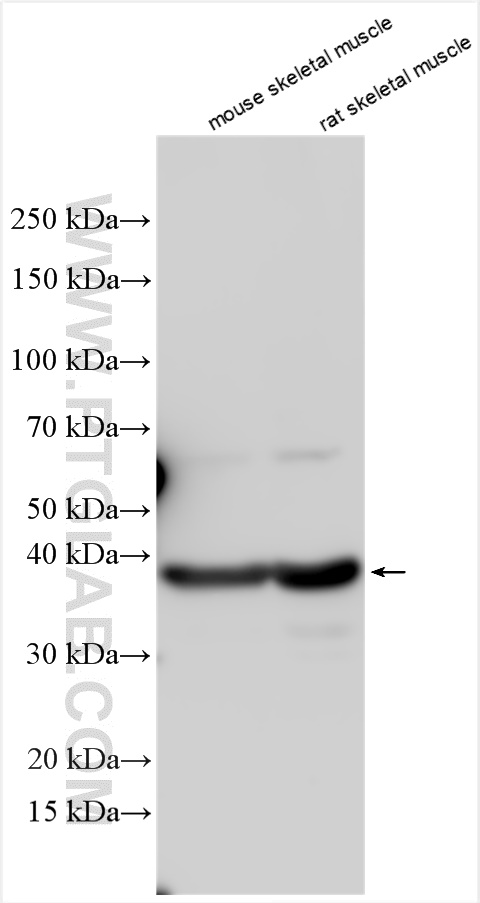
| Positive WB detected in | mouse skeletal muscle tissue, rat skeletal muscle tissue |
| Positive IHC detected in | human stomach cancer tissue Note: suggested antigen retrieval with TE buffer pH 9.0; (*) Alternatively, antigen retrieval may be performed with citrate buffer pH 6.0 |
推荐稀释比
| 应用 | 推荐稀释比 |
|---|---|
| Western Blot (WB) | WB : 1:2000-1:16000 |
| Immunohistochemistry (IHC) | IHC : 1:800-1:3200 |
| It is recommended that this reagent should be titrated in each testing system to obtain optimal results. | |
| Sample-dependent, Check data in validation data gallery. | |
产品信息
21899-1-AP targets AGMAT in WB, IHC, ELISA applications and shows reactivity with human, mouse, rat samples.
| 经测试应用 | WB, IHC, ELISA Application Description |
| 经测试反应性 | human, mouse, rat |
| 免疫原 |
CatNo: Ag13609 Product name: Recombinant human AGMAT protein Source: e coli.-derived, PKG Tag: GST Domain: 1-300 aa of BC005090 Sequence: MLRLLASGCARGPGPGVGARPAAGLFHPGRRQSRQASDAPRNQPPSPEFVARPVGVCSMMRLPVQTSPEGLDAAFIGVPLDTGTSNRPGARFGPRRIREESVMLRTVNPSTGALPFQSLMVADLGDVNVNLYNLQDSCRRIQEAYEKIVAAGCIPLTLGGDHTITYPILQAMAKKHGPVGLLHVDAHTDTTDKALGEKLYHGAPFRRCVDEGLLDCKRVVQIGIRGSSTTLDPYRYNRSQGFRVVLAEDCWMKSLVPLMGEVRQQMGGKPIYISFDIDALDPAYAPGTGTPEIAGLTPSQ 种属同源性预测 |
| 宿主/亚型 | Rabbit / IgG |
| 抗体类别 | Polyclonal |
| 产品类型 | Antibody |
| 全称 | agmatine ureohydrolase (agmatinase) |
| 别名 | Agmatinase, Arginase, mitochondrial, Agmatine ureohydrolase |
| 计算分子量 | 38 kDa |
| 观测分子量 | 38 kDa |
| GenBank蛋白编号 | BC005090 |
| 基因名称 | AGMAT |
| Gene ID (NCBI) | 79814 |
| RRID | AB_3085677 |
| 偶联类型 | Unconjugated |
| 形式 | Liquid |
| 纯化方式 | Antigen affinity purification |
| UNIPROT ID | Q9BSE5 |
| 储存缓冲液 | PBS with 0.02% sodium azide and 50% glycerol, pH 7.3. |
| 储存条件 | Store at -20°C. Stable for one year after shipment. Aliquoting is unnecessary for -20oC storage. |
背景介绍
AGMAT is a metallohydrolase and belongs to the arginase family. AGMAT plays an important role in amino acid metabolism and can hydrolyze agmatine into urea and putrescine. AGMAT has been shown to play an important role in the development of tumors, including colorectal cancer, lung adenocarcinoma, and pancreatic adenocarcinoma(PMID: 36680755; PMID: 31699997; PMID: 35837051 ).
实验方案
| Product Specific Protocols | |
|---|---|
| IHC protocol for AGMAT antibody 21899-1-AP | Download protocol |
| WB protocol for AGMAT antibody 21899-1-AP | Download protocol |
| Standard Protocols | |
|---|---|
| Click here to view our Standard Protocols |


