验证数据展示
经过测试的应用
| Positive WB detected in | HeLa cells, mouse skeletal muscle tissue, mouse kidney tissue, Jurkat cells, mouse brain tissue, mouse liver tissue, rat liver tissue |
| Positive IP detected in | HeLa cells |
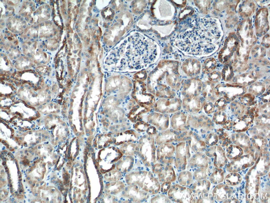
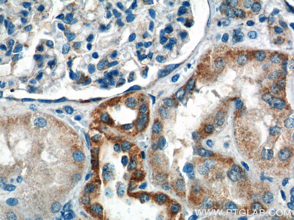
| Positive IHC detected in | human kidney tissue Note: suggested antigen retrieval with TE buffer pH 9.0; (*) Alternatively, antigen retrieval may be performed with citrate buffer pH 6.0 |
| Positive IF/ICC detected in | HepG2 cells, HeLa cells |
推荐稀释比
| 应用 | 推荐稀释比 |
|---|---|
| Western Blot (WB) | WB : 1:2000-1:16000 |
| Immunoprecipitation (IP) | IP : 0.5-4.0 ug for 1.0-3.0 mg of total protein lysate |
| Immunohistochemistry (IHC) | IHC : 1:100-1:400 |
| Immunofluorescence (IF)/ICC | IF/ICC : 1:10-1:100 |
| It is recommended that this reagent should be titrated in each testing system to obtain optimal results. | |
| Sample-dependent, Check data in validation data gallery. | |
产品信息
14631-1-AP targets AFG3L2 in WB, IHC, IF/ICC, IP, ELISA applications and shows reactivity with human, mouse, rat samples.
| 经测试应用 | WB, IHC, IF/ICC, IP, ELISA Application Description |
| 文献引用应用 | WB, IF, IP |
| 经测试反应性 | human, mouse, rat |
| 文献引用反应性 | human, mouse, rat, zebrafish |
| 免疫原 |
CatNo: Ag6209 Product name: Recombinant human AFG3L2 protein Source: e coli.-derived, PGEX-4T Tag: GST Domain: 449-797 aa of BC065016 Sequence: ILAGTNRPDILDPALLRPGRFDRQIFIGPPDIKGRASIFKVHLRPLKLDSTLEKDKLARKLASLTPGFSGADVANVCNEAALIAARHLSDSINQKHFEQAIERVIGGLEKKTQVLQPEEKKTVAYHEAGHAVAGWYLEHADPLLKVSIIPRGKGLGYAQYLPKEQYLYTKEQLLDRMCMTLGGRVSEEIFFGRITTGAQDDLRKVTQSAYAQIVQFGMNEKVGQISFDLPRQGDMVLEKPYSEATARLIDDEVRILINDAYKRTVALLTEKKADVEKVALLLLEKEVLDKNDMVELLGPRPFAEKSTYEEFVEGTGSLDEDTSLPEGLKDWNKEREKEKEEPPGEKVAN 种属同源性预测 |
| 宿主/亚型 | Rabbit / IgG |
| 抗体类别 | Polyclonal |
| 产品类型 | Antibody |
| 全称 | AFG3 ATPase family gene 3-like 2 (yeast) |
| 别名 | AFG3 like protein 2, AFG3L 2, AFG3-like protein 2, EC:3.4.24.-, Mitochondrial inner membrane m-AAA protease component AFG3L2 |
| 计算分子量 | 88 kDa |
| 观测分子量 | 80-90 kDa |
| GenBank蛋白编号 | BC065016 |
| 基因名称 | AFG3L2 |
| Gene ID (NCBI) | 10939 |
| RRID | AB_2242420 |
| 偶联类型 | Unconjugated |
| 形式 | Liquid |
| 纯化方式 | Antigen affinity purification |
| UNIPROT ID | Q9Y4W6 |
| 储存缓冲液 | PBS with 0.02% sodium azide and 50% glycerol, pH 7.3. |
| 储存条件 | Store at -20°C. Stable for one year after shipment. Aliquoting is unnecessary for -20oC storage. |
背景介绍
AFG3L2 is the catalytic subunit of the m-AAA protease, an ATP-dependent proteolytic complex of the mitochondrial inner membrane that degrades misfolded proteins and regulates ribosome assembly(PMID:17101804). Human AFG3L2 is an 80-kDa protein encoded by a 17-exon gene and highly and selectively expressed in human cerebellar Purkinje cells(PMID:20208537) and it can exsit as a truncated 65 kDa protein(PMID:18337413). Defects in AFG3L2 are the cause of spinocerebellar ataxia type 28 (SCA28) and spastic ataxia autosomal recessive type 5 (SPAX5).
实验方案
| Product Specific Protocols | |
|---|---|
| IF protocol for AFG3L2 antibody 14631-1-AP | Download protocol |
| IHC protocol for AFG3L2 antibody 14631-1-AP | Download protocol |
| IP protocol for AFG3L2 antibody 14631-1-AP | Download protocol |
| WB protocol for AFG3L2 antibody 14631-1-AP | Download protocol |
| Standard Protocols | |
|---|---|
| Click here to view our Standard Protocols |
发表文章
| Species | Application | Title |
|---|---|---|
Mol Cell The mitochondrial DNAJC co-chaperone TCAIM reduces α-ketoglutarate dehydrogenase protein levels to regulate metabolism
| ||
Mol Cell Mechanisms and significance of tissue-specific MICU regulation of the mitochondrial calcium uniporter complex
| ||
Sci Adv Fidelity of translation initiation is required for coordinated respiratory complex assembly. | ||
Nucleic Acids Res Asymmetrical effects of deafness-associated mitochondrial DNA 7516delA mutation on the processing of RNAs in the H-strand and L-strand polycistronic transcripts. | ||
Cancer Res Pooled CRISPR Screening Identifies P-Bodies as Repressors of Cancer Epithelial-Mesenchymal Transition |











