验证数据展示
经过测试的应用
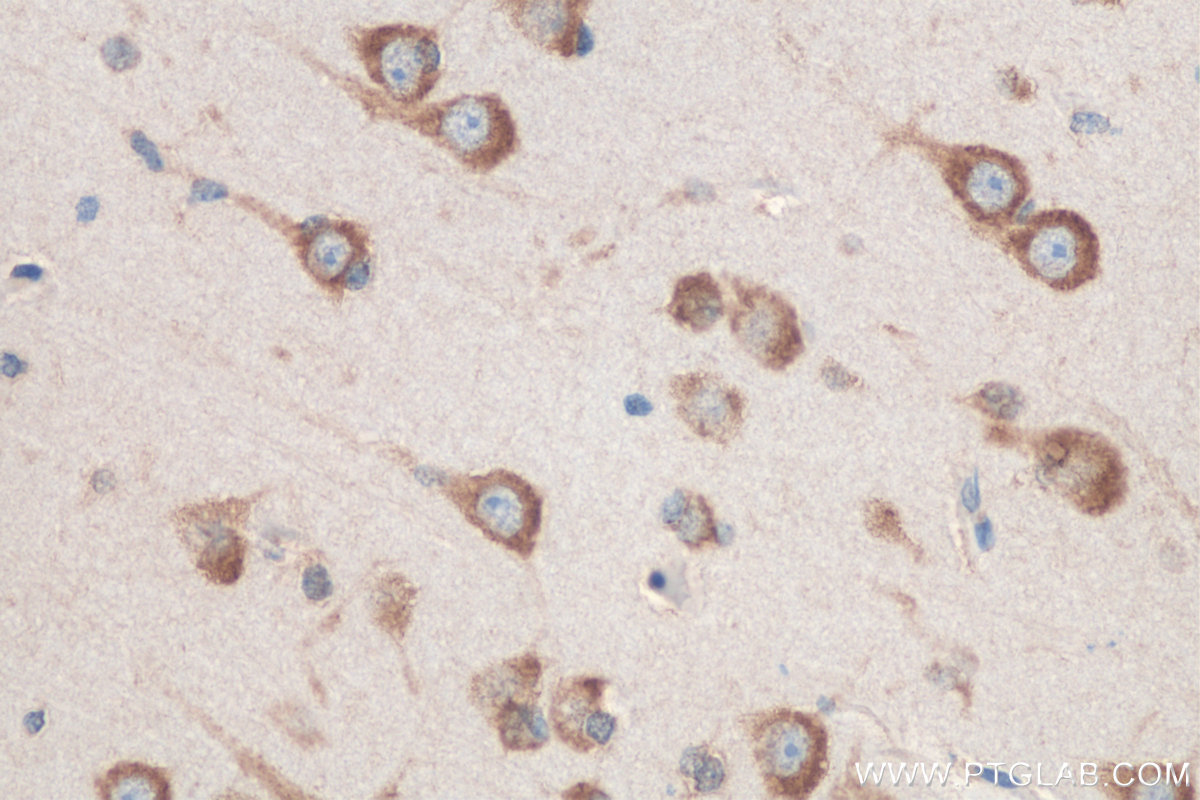
| Positive IHC detected in | human gliomas tissue Note: suggested antigen retrieval with TE buffer pH 9.0; (*) Alternatively, antigen retrieval may be performed with citrate buffer pH 6.0 |
| Positive FC (Intra) detected in | HEK-293 cells |
推荐稀释比
| 应用 | 推荐稀释比 |
|---|---|
| Immunohistochemistry (IHC) | IHC : 1:50-1:500 |
| Flow Cytometry (FC) (INTRA) | FC (INTRA) : 0.25 ug per 10^6 cells in a 100 µl suspension |
| It is recommended that this reagent should be titrated in each testing system to obtain optimal results. | |
| Sample-dependent, Check data in validation data gallery. | |
发表文章中的应用
| WB | See 4 publications below |
| IF | See 2 publications below |
产品信息
19778-1-AP targets ADRA2B-Specific in WB, IHC, IF, ELISA applications and shows reactivity with human samples.
| 经测试应用 | IHC, ELISA Application Description |
| 文献引用应用 | WB, IF |
| 经测试反应性 | human |
| 文献引用反应性 | mouse, rat |
| 免疫原 |
Peptide 种属同源性预测 |
| 宿主/亚型 | Rabbit / IgG |
| 抗体类别 | Polyclonal |
| 产品类型 | Antibody |
| 全称 | adrenergic, alpha-2B-, receptor |
| 别名 | ADRA2B, ADRA2L1, ADRA2RL1, ADRARL1, Alpha 2B adrenergic receptor |
| 计算分子量 | 50 kDa |
| GenBank蛋白编号 | NM_000682 |
| 基因名称 | ADRA2B |
| Gene ID (NCBI) | 151 |
| RRID | AB_10640910 |
| 偶联类型 | Unconjugated |
| 形式 | Liquid |
| 纯化方式 | Antigen affinity purification |
| UNIPROT ID | P18089 |
| 储存缓冲液 | PBS with 0.02% sodium azide and 50% glycerol, pH 7.3. |
| 储存条件 | Store at -20°C. Stable for one year after shipment. Aliquoting is unnecessary for -20oC storage. |
背景介绍
ADRA2B, also named as ADRA2L1 and ADRA2RL1, belongs to the G-protein coupled receptor 1 family. ADRA2B mediates the catecholamine-induced inhibition of adenylate cyclase through the action of G proteins. The antibody is specific to ADRA2B.
实验方案
| Product Specific Protocols | |
|---|---|
| FC protocol for ADRA2B-Specific antibody 19778-1-AP | Download protocol |
| IHC protocol for ADRA2B-Specific antibody 19778-1-AP | Download protocol |
| Standard Protocols | |
|---|---|
| Click here to view our Standard Protocols |
发表文章
| Species | Application | Title |
|---|---|---|
Cell Tissue Res Subcellular distribution of α2-adrenoceptor subtypes in the rodent kidney. | ||
Eur J Pharmacol Yohimbine ameliorates lipopolysaccharide-induced acute kidney injury in rats. | ||
J Pharmacol Sci Inhibition of α2-adrenoceptor is renoprotective in 5/6 nephrectomy-induced chronic kidney injury rats. | ||
Nat Commun Chromogranin A deficiency attenuates tauopathy by altering epinephrine-alpha-adrenergic receptor signaling in PS19 mice |


