验证数据展示
经过测试的应用
| Positive WB detected in | human plasma, NIH/3T3 cells, 3T3-L1 cells |
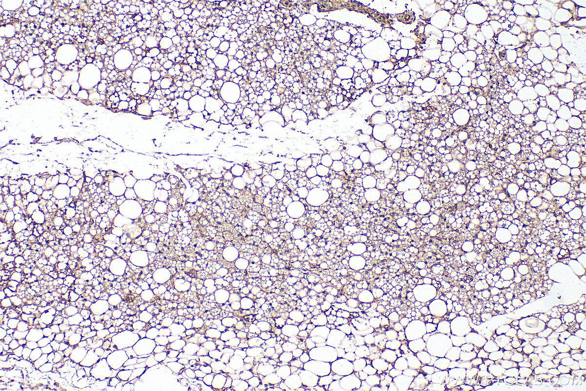
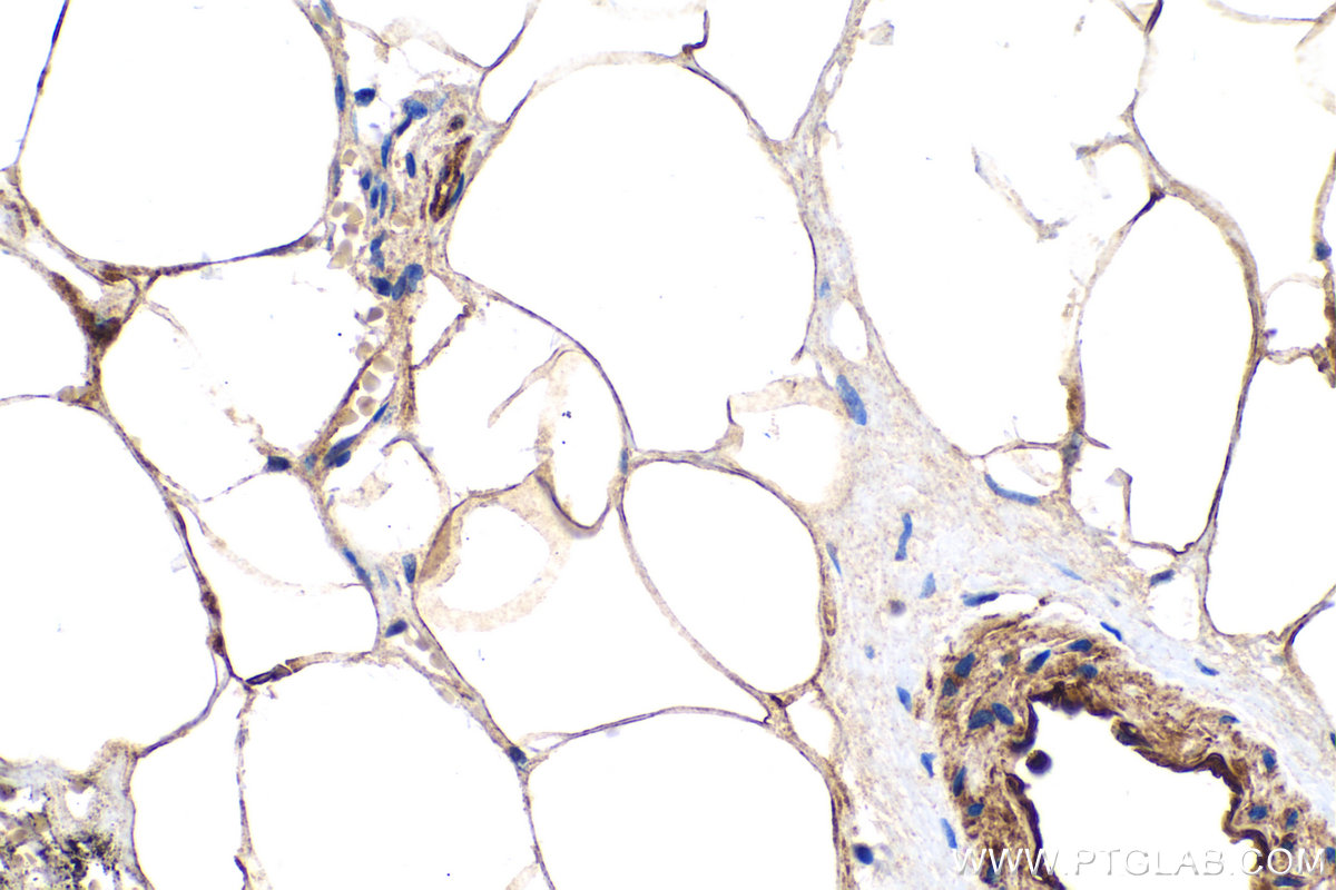
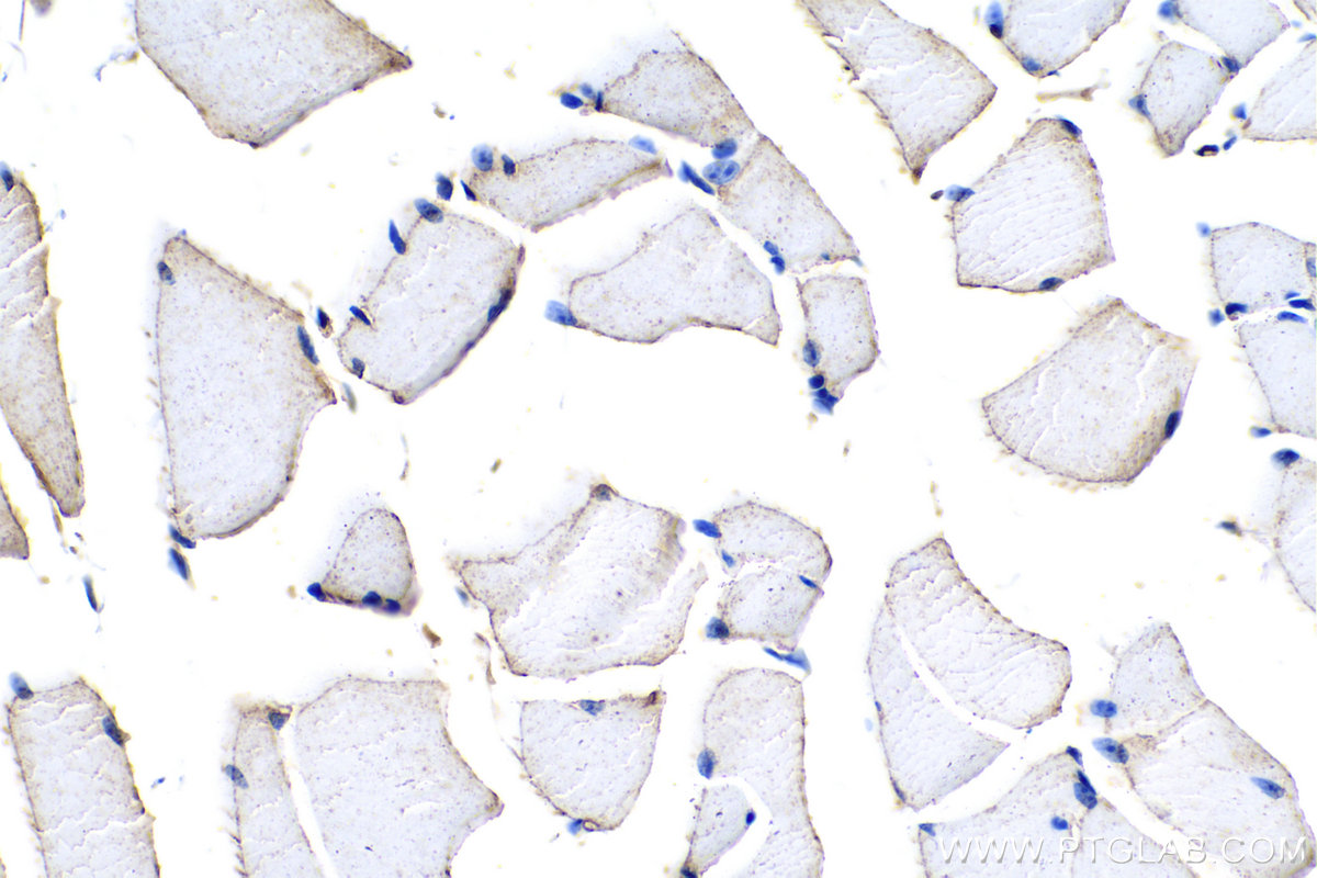
| Positive IHC detected in | rat brown adipose tissue, human placenta tissue, human prostate cancer tissue, human skin tissue, mouse brown adipose tissue, mouse skeletal muscle tissue Note: suggested antigen retrieval with TE buffer pH 9.0; (*) Alternatively, antigen retrieval may be performed with citrate buffer pH 6.0 |
| Positive IF/ICC detected in | 3T3-L1 cells, NIH/3T3 cells |
推荐稀释比
| 应用 | 推荐稀释比 |
|---|---|
| Western Blot (WB) | WB : 1:500-1:2000 |
| Immunohistochemistry (IHC) | IHC : 1:200-1:800 |
| Immunofluorescence (IF)/ICC | IF/ICC : 1:50-1:500 |
| It is recommended that this reagent should be titrated in each testing system to obtain optimal results. | |
| Sample-dependent, Check data in validation data gallery. | |
产品信息
21613-1-AP targets Adiponectin in WB, IHC, IF/ICC, ELISA applications and shows reactivity with human, mouse, rat samples.
| 经测试应用 | WB, IHC, IF/ICC, ELISA Application Description |
| 文献引用应用 | WB, IHC, IF |
| 经测试反应性 | human, mouse, rat |
| 文献引用反应性 | human, mouse, rat, pig, goat, sheep, duck |
| 免疫原 |
CatNo: Ag16304 Product name: Recombinant human ADIPOQ protein Source: e coli.-derived, PGEX-4T Tag: GST Domain: 1-244 aa of BC096308 Sequence: MLLLGAVLLLLALPGHDQETTTQGPGVLLPLPKGACTGWMAGIPGHPGHNGAPGRDGRDGTPGEKGEKGDPGLIGPKGDIGETGVPGAEGPRGFPGIQGRKGEPGEGAYVYRSAFSVGLETYVTIPNMPIRFTKIFYNQQNHYDGSTGKFHCNIPGLYYFAYHITVYMKDVKVSLFKKDKAMLFTYDQYQENNVDQASGSVLLHLEVGDQVWLQVYGEGERNGLYADNDNDSTFTGFLLYHDTN 种属同源性预测 |
| 宿主/亚型 | Rabbit / IgG |
| 抗体类别 | Polyclonal |
| 产品类型 | Antibody |
| 全称 | adiponectin, C1Q and collagen domain containing |
| 别名 | ADIPOQ, apM-1, ADIPQTL1, Adipocyte, C1q and collagen domain-containing protein, Adipocyte complement-related 30 kDa protein |
| 计算分子量 | 244 aa, 26 kDa |
| 观测分子量 | 29 kDa |
| GenBank蛋白编号 | BC096308 |
| 基因名称 | Adiponectin |
| Gene ID (NCBI) | 9370 |
| RRID | AB_2878891 |
| 偶联类型 | Unconjugated |
| 形式 | Liquid |
| 纯化方式 | Antigen affinity purification |
| UNIPROT ID | Q15848 |
| 储存缓冲液 | PBS with 0.02% sodium azide and 50% glycerol, pH 7.3. |
| 储存条件 | Store at -20°C. Stable for one year after shipment. Aliquoting is unnecessary for -20oC storage. |
背景介绍
Adiponectin (AdipoQ), an adipocyte-derived hormone, is one of the most abundant adipokines in the blood circulation. Adiponectin modulates a number of metabolic processes, including improving INS sensitivity and anti-inflammatory activity. The role of AdipoQ in reproduction is not yet fully understood, but the expression of AdipoQ in reproductive tissues has been observed in various animals and humans, including chicken testis, bovine ovary, and human placenta. Adiponectin exerts its effects by activating a range of different signaling molecules via binding to two transmembrane AdipoQ receptors, AdipoR1 and AdipoR2. AdipoR1 is expressed primarily in the skeletal muscle, whereas AdipoR2 is predominantly expressed in the liver. AdipoQ May play a role in cell growth, angiogenesis and tissue remodeling by binding and sequestering various growth factors.
实验方案
| Product Specific Protocols | |
|---|---|
| IF protocol for Adiponectin antibody 21613-1-AP | Download protocol |
| IHC protocol for Adiponectin antibody 21613-1-AP | Download protocol |
| WB protocol for Adiponectin antibody 21613-1-AP | Download protocol |
| Standard Protocols | |
|---|---|
| Click here to view our Standard Protocols |
发表文章
| Species | Application | Title |
|---|---|---|
Diabetes PRMT4 Facilitates White Adipose Tissue Browning and Thermogenesis by Methylating PPARγ | ||
Int J Mol Sci Piperine Improves Lipid Dysregulation by Modulating Circadian Genes Bmal1 and Clock in HepG2 Cells. | ||
Respir Res Isthmin-1 attenuates allergic Asthma by stimulating adiponectin expression and alveolar macrophage efferocytosis in mice | ||
J Nutr Biochem All-trans retinoic acid induces lipophagy through the activation of the AMPK-Beclin1 signaling pathway and reduces Rubicon expression in adipocytes | ||
Sci China Life Sci Compression loading of osteoclasts attenuated microRNA-146a-5p expression, which promotes angiogenesis by targeting adiponectin. | ||
Dig Dis Sci Adiponectin Alleviates Intestinal Fibrosis by Enhancing AMP-Activated Protein Kinase Phosphorylation. |
















