验证数据展示
经过测试的应用
| Positive WB detected in | A431 cells |
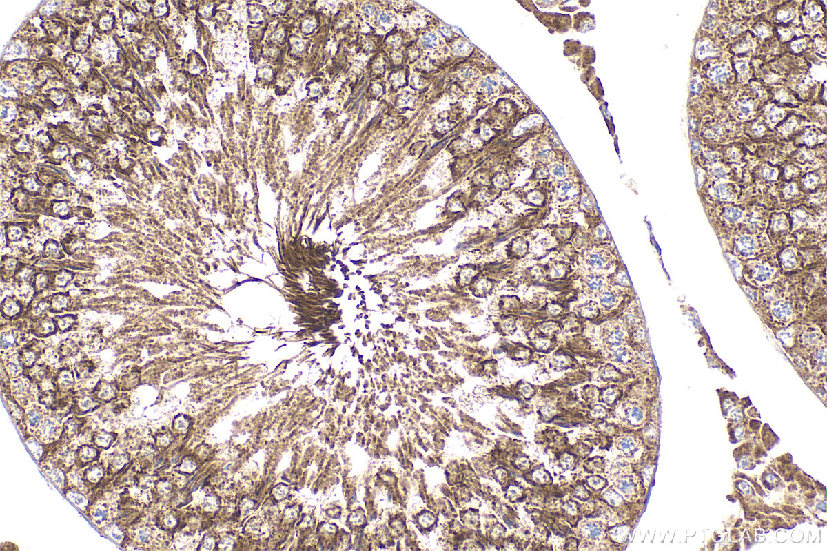
| Positive IHC detected in | rat testis tissue, mouse testis tissue Note: suggested antigen retrieval with TE buffer pH 9.0; (*) Alternatively, antigen retrieval may be performed with citrate buffer pH 6.0 |
| Positive IF-P detected in | mouse testis tissue |
推荐稀释比
| 应用 | 推荐稀释比 |
|---|---|
| Western Blot (WB) | WB : 1:500-1:1000 |
| Immunohistochemistry (IHC) | IHC : 1:50-1:500 |
| Immunofluorescence (IF)-P | IF-P : 1:50-1:500 |
| It is recommended that this reagent should be titrated in each testing system to obtain optimal results. | |
| Sample-dependent, Check data in validation data gallery. | |
产品信息
31756-1-AP targets ADGB in WB, IHC, IF-P, ELISA applications and shows reactivity with human, mouse, rat samples.
| 经测试应用 | WB, IHC, IF-P, ELISA Application Description |
| 经测试反应性 | human, mouse, rat |
| 免疫原 |
CatNo: Ag36246 Product name: Recombinant human C6orf103 protein Source: e coli.-derived, PET28a Tag: 6*His Domain: 550-700 aa of NM_024694 Sequence: ETATHSQTDLSQITKATSQGNTASQVILGKGTDEQTDFGLGDAHQSDGLNLEREIVSQTTATQEKSQEELPTTNNSVSKEIWLDFEDFCVCFQNIYIFHKPSSYCLNFQKSEFKFSEERVSYYLFVDSLKPIELLVCFSALVRWGEYGAL 种属同源性预测 |
| 宿主/亚型 | Rabbit / IgG |
| 抗体类别 | Polyclonal |
| 产品类型 | Antibody |
| 全称 | chromosome 6 open reading frame 103 |
| 别名 | C6orf103, Androglobin, Calpain 7 like protein, Calpain-7-Like Protein, CAPN7L |
| 计算分子量 | 189kDa |
| 观测分子量 | 235 kDa |
| GenBank蛋白编号 | NM_024694 |
| 基因名称 | C6orf103 |
| Gene ID (NCBI) | 79747 |
| RRID | AB_3742473 |
| 偶联类型 | Unconjugated |
| 形式 | Liquid |
| 纯化方式 | Antigen affinity Purification |
| UNIPROT ID | Q8N7X0 |
| 储存缓冲液 | PBS with 0.02% sodium azide and 50% glycerol, pH 7.3. |
| 储存条件 | Store at -20°C. Stable for one year after shipment. Aliquoting is unnecessary for -20oC storage. |
背景介绍
ADGB (Androglobin) is an evolutionarily conserved member of the globin protein family. It is specifically and highly expressed in spermatogenic cells (particularly sperm cells) of mammalian testes and in ciliated cells across various tissues. The ADGB protein possesses a unique structure, comprising a globin domain and a calmodulin-binding domain, suggesting its potential role in integrating gas (such as oxygen) sensing with calcium ion signaling functions. Current research indicates that ADGB plays a critical role in spermatogenesis within the male reproductive system, as well as in the formation and functional maintenance of cilia. Its functional deficiency may lead to abnormal sperm morphology and motility defects, thereby affecting male fertility. The target protein ADGB has a size of 235 kDa. This protein is unstable and prone to degradation, with degradation bands observed at 135 kDa, 70 kDa, and 55 kDa. (PMID: 36995441)
实验方案
| Product Specific Protocols | |
|---|---|
| IF protocol for ADGB antibody 31756-1-AP | Download protocol |
| IHC protocol for ADGB antibody 31756-1-AP | Download protocol |
| WB protocol for ADGB antibody 31756-1-AP | Download protocol |
| Standard Protocols | |
|---|---|
| Click here to view our Standard Protocols |




