验证数据展示
经过测试的应用
| Positive WB detected in | mouse brain tissue | 
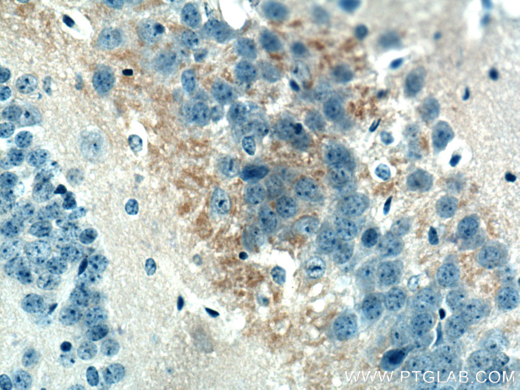
| Positive IHC detected in | mouse brain tissue Note: suggested antigen retrieval with TE buffer pH 9.0; (*) Alternatively, antigen retrieval may be performed with citrate buffer pH 6.0 | 
推荐稀释比
| 应用 | 推荐稀释比 | 
|---|---|
| Western Blot (WB) | WB : 1:500-1:2000 | 
| Immunohistochemistry (IHC) | IHC : 1:50-1:500 | 
| It is recommended that this reagent should be titrated in each testing system to obtain optimal results. | |
| Sample-dependent, Check data in validation data gallery. | |
产品信息
26836-1-AP targets ADAMTS7 in WB, IHC, IF, ELISA applications and shows reactivity with human, mouse samples.
| 经测试应用 | WB, IHC, ELISA Application Description | 
| 文献引用应用 | WB, IHC, IF | 
| 经测试反应性 | human, mouse | 
| 文献引用反应性 | human | 
| 免疫原 | CatNo: Ag25218 Product name: Recombinant human ADAMTS7 protein Source: e coli.-derived, PGEX-4T Tag: GST Domain: 1507-1686 aa of BC061631 Sequence: PAKPPAHRPCGAQPCLSWYTSSWRECSEACGGGEQQRLVTCPEPGLCEEALRPNTTRPCNTHPCTQWVVGPWGQCSGPCGGGVQRRLVKCVNTQTGLPEEDSDQCGHEAWPESSRPCGTEDCEPVEPPRCERDRLSFGFCETLRLLGRCQLPTIRTQCCRSCSPPSHGAPSRGHQRVARR种属同源性预测 | 
| 宿主/亚型 | Rabbit / IgG | 
| 抗体类别 | Polyclonal | 
| 产品类型 | Antibody | 
| 全称 | ADAM metallopeptidase with thrombospondin type 1 motif, 7 | 
| 别名 | ADAM TS 7, ADAM TS7, ADAMTS 7, ADAMTS7, COMPase | 
| 计算分子量 | 1686 aa, 184 kDa | 
| 观测分子量 | 184 kDa | 
| GenBank蛋白编号 | BC061631 | 
| 基因名称 | ADAMTS7 | 
| Gene ID (NCBI) | 11173 | 
| RRID | AB_2880653 | 
| 偶联类型 | Unconjugated | 
| 形式 | Liquid | 
| 纯化方式 | Antigen affinity purification | 
| UNIPROT ID | Q9UKP4 | 
| 储存缓冲液 | PBS with 0.02% sodium azide and 50% glycerol, pH 7.3. | 
| 储存条件 | Store at -20°C. Stable for one year after shipment. Aliquoting is unnecessary for -20oC storage. | 
实验方案
| Product Specific Protocols | |
|---|---|
| IHC protocol for ADAMTS7 antibody 26836-1-AP | Download protocol | 
| WB protocol for ADAMTS7 antibody 26836-1-AP | Download protocol | 
| Standard Protocols | |
|---|---|
| Click here to view our Standard Protocols | 
发表文章
| Species | Application | Title | 
|---|---|---|
| Eur J Med Res Diagnostic value of serum COMP and ADAMTS7 for intervertebral disc degeneration | ||
| J Cancer ADAMTS7 Enhances Gastric Cancer Growth and Metastasis by Triggering the NF-κB Signaling Pathway
 | 





