验证数据展示
经过测试的应用
| Positive WB detected in | NIH/3T3 cells, mouse brain tissue, rat brain tissue |
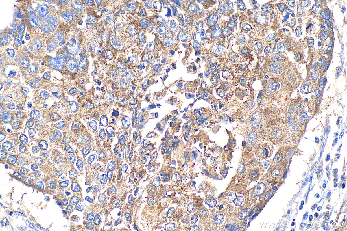
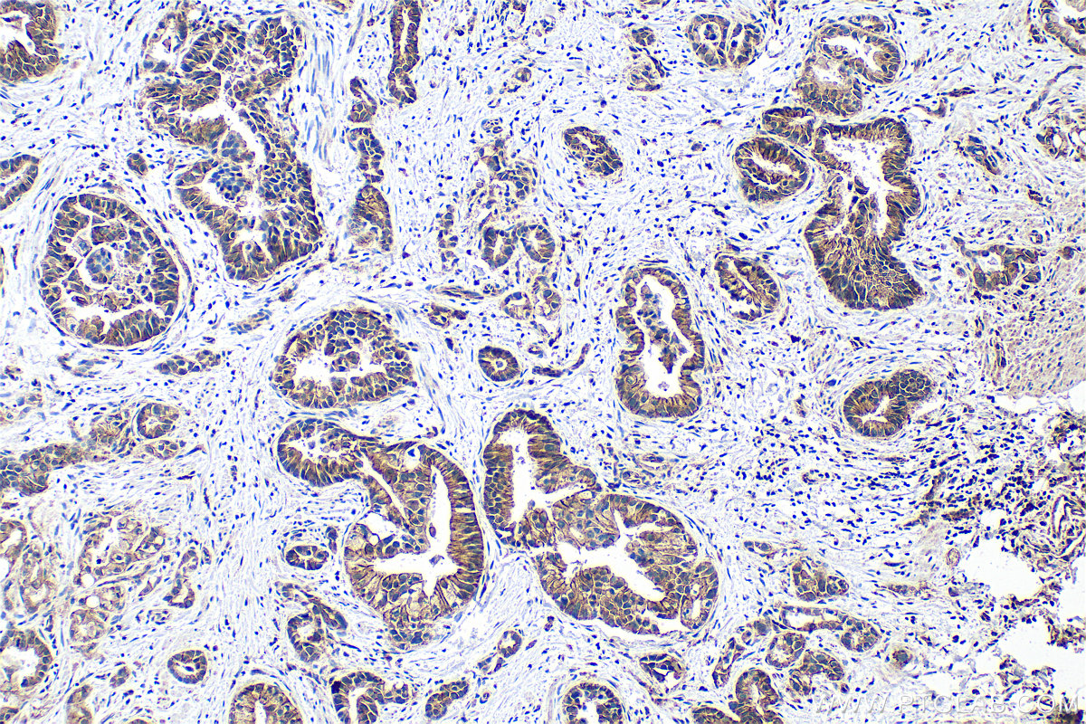
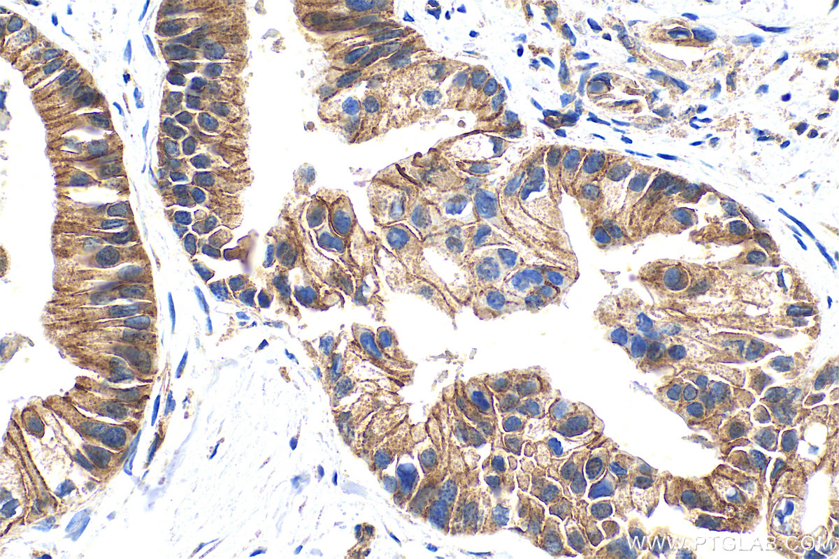
| Positive IHC detected in | human pancreas cancer tissue, human lung cancer tissue Note: suggested antigen retrieval with TE buffer pH 9.0; (*) Alternatively, antigen retrieval may be performed with citrate buffer pH 6.0 |
推荐稀释比
| 应用 | 推荐稀释比 |
|---|---|
| Western Blot (WB) | WB : 1:500-1:2000 |
| Immunohistochemistry (IHC) | IHC : 1:200-1:800 |
| It is recommended that this reagent should be titrated in each testing system to obtain optimal results. | |
| Sample-dependent, Check data in validation data gallery. | |
产品信息
25900-1-AP targets ADAM10 in WB, IHC, IF, ELISA applications and shows reactivity with human, mouse samples.
| 经测试应用 | WB, IHC, ELISA Application Description |
| 文献引用应用 | WB, IHC, IF |
| 经测试反应性 | human, mouse |
| 文献引用反应性 | human, mouse, rat |
| 免疫原 |
CatNo: Ag23078 Product name: Recombinant human ADAM10 protein Source: e coli.-derived, PET30a Tag: 6*His Domain: 306-512 aa of BC126253 Sequence: EQNHDDYCLAYVFTDRDFDDGVLGLAWVGAPSGSSGGICEKSKLYSDGKKKSLNTGIITVQNYGSHVPPKVSHITFAHEVGHNFGSPHDSGTECTPGESKNLGQKENGNYIMYARATSGDKLNNNKFSLCSIRNISQVLEKKRNNCFVESGQPICGNGMVEQGEECDCGYSDQCKDECCFDANQPEGRKCKLKPGKQCSTVCIQVKV 种属同源性预测 |
| 宿主/亚型 | Rabbit / IgG |
| 抗体类别 | Polyclonal |
| 产品类型 | Antibody |
| 全称 | ADAM metallopeptidase domain 10 |
| 别名 | ADAM 10, Disintegrin and metalloproteinase domain-containing protein 10, EC:3.4.24.81, KUZ, MADM |
| 计算分子量 | 748 aa, 84 kDa |
| 观测分子量 | 60-70 kDa, 90 kDa |
| GenBank蛋白编号 | BC126253 |
| 基因名称 | ADAM10 |
| Gene ID (NCBI) | 102 |
| RRID | AB_2880291 |
| 偶联类型 | Unconjugated |
| 形式 | Liquid |
| 纯化方式 | Antigen affinity purification |
| UNIPROT ID | O14672 |
| 储存缓冲液 | PBS with 0.02% sodium azide and 50% glycerol, pH 7.3. |
| 储存条件 | Store at -20°C. Stable for one year after shipment. Aliquoting is unnecessary for -20oC storage. |
背景介绍
ADAM10, a member of the ADAM (a disintegrin and metalloprotease) family, is widely expressed in the brain, the spinal cord, and the visual system during development.MW of premature ADAM10 is 90 kDa and mature ADAM10 is 60-70 kDa (PMID: 24404179).
实验方案
| Product Specific Protocols | |
|---|---|
| IHC protocol for ADAM10 antibody 25900-1-AP | Download protocol |
| WB protocol for ADAM10 antibody 25900-1-AP | Download protocol |
| Standard Protocols | |
|---|---|
| Click here to view our Standard Protocols |
发表文章
| Species | Application | Title |
|---|---|---|
Aging Cell Microglia-derived Galectin-9 drives amyloid-β pathology in Alzheimer's disease | ||
Cell Death Dis Cytoplasmic fragment of CD147 generated by regulated intramembrane proteolysis contributes to HCC by promoting autophagy. | ||
Pharmacol Res IDO1 can impair NK cells function against non-small cell lung cancer by downregulation of NKG2D Ligand via ADAM10. | ||
Cell Prolif Increased SPON1 promotes pancreatic ductal adenocarcinoma progression by enhancing IL-6 trans-signalling. | ||
J Neurosci Novel Social Stimulation Ameliorates Memory Deficit in Alzheimer's Disease Model through Activating α-Secretase | ||
Front Cell Dev Biol NLGN3 Upregulates Expression of ADAM10 to Promote the Cleavage of NLGN3 via Activating the LYN Pathway in Human Gliomas. |





