验证数据展示
经过测试的应用
| Positive WB detected in | mouse brain tissue, C2C12 cells, mouse lung tissue, mouse skeletal muscle tissue, mouse heart, mouse kidney, rat skeletal muscle |
| Positive IP detected in | HeLa cells |
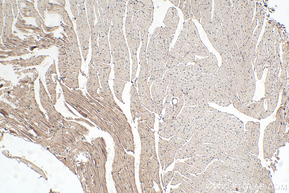
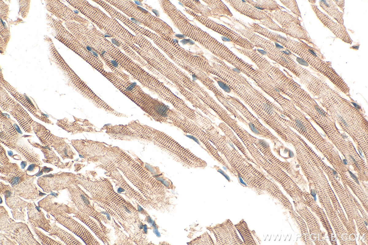
| Positive IHC detected in | mouse heart tissue, mouse skeletal muscle tissue Note: suggested antigen retrieval with TE buffer pH 9.0; (*) Alternatively, antigen retrieval may be performed with citrate buffer pH 6.0 |
| Positive IF-P detected in | mouse heart tissue |
| Positive IF-Fro detected in | mouse heart tissue |
| Positive IF/ICC detected in | C2C12 cells, NIH/3T3 cells, Human iPSC derived cardiomyocyte |
推荐稀释比
| 应用 | 推荐稀释比 |
|---|---|
| Western Blot (WB) | WB : 1:5000-1:50000 |
| Immunoprecipitation (IP) | IP : 0.5-4.0 ug for 1.0-3.0 mg of total protein lysate |
| Immunohistochemistry (IHC) | IHC : 1:500-1:2000 |
| Immunofluorescence (IF)-P | IF-P : 1:200-1:800 |
| Immunofluorescence (IF)-FRO | IF-FRO : 1:200-1:800 |
| Immunofluorescence (IF)/ICC | IF/ICC : 1:50-1:500 |
| It is recommended that this reagent should be titrated in each testing system to obtain optimal results. | |
| Sample-dependent, Check data in validation data gallery. | |
产品信息
14221-1-AP targets ACTN2 in WB, IHC, IF/ICC, IF-P, IF-Fro, IP, ELISA applications and shows reactivity with human, mouse, rat samples.
| 经测试应用 | WB, IHC, IF/ICC, IF-P, IF-Fro, IP, ELISA Application Description |
| 文献引用应用 | WB, IHC, IF |
| 经测试反应性 | human, mouse, rat |
| 文献引用反应性 | human, mouse, rat, canine, chicken |
| 免疫原 |
CatNo: Ag5459 Product name: Recombinant human ACTN2 protein Source: e coli.-derived, PGEX-4T Tag: GST Domain: 1-301 aa of BC051770 Sequence: MNQIEPGVQYNYVYDEDEYMIQEEEWDRDLLLDPAWEKQQRKTFTAWCNSHLRKAGTQIENIEEDFRNGLKLMLLLEVISGERLPKPDRGKMRFHKIANVNKALDYIASKGVKLVSIGAEEIVDGNVKMTLGMIWTIILRFAIQDISVEETSAKEGLLLWCQRKTAPYRNVNIQNFHTSWKDGLGLCALIHRHRPDLIDYSKLNKDDPIGNINLAMEIAEKHLDIPKMLDAEDIVNTPKPDERAIMTYVSCFYHAFAGAEQAETAANRICKVLAVNQENERLMEEYERLASELLEWIRRTI 种属同源性预测 |
| 宿主/亚型 | Rabbit / IgG |
| 抗体类别 | Polyclonal |
| 产品类型 | Antibody |
| 全称 | actinin, alpha 2 |
| 别名 | Actinin alpha 2, actinin, alpha 2, ACTN 2, Alpha actinin 2, Alpha-actinin skeletal muscle isoform 2 |
| 计算分子量 | 104 kDa |
| 观测分子量 | 103 kDa |
| GenBank蛋白编号 | BC051770 |
| 基因名称 | ACTN2 |
| Gene ID (NCBI) | 88 |
| RRID | AB_2221547 |
| 偶联类型 | Unconjugated |
| 形式 | Liquid |
| 纯化方式 | Antigen affinity purification |
| UNIPROT ID | P35609 |
| 储存缓冲液 | PBS with 0.02% sodium azide and 50% glycerol, pH 7.3. |
| 储存条件 | Store at -20°C. Stable for one year after shipment. Aliquoting is unnecessary for -20oC storage. |
背景介绍
Alpha actinin 2 (ACTN2) belongs to the alpha-actinin family and is expressed in both skeletal and cardiac muscles and functions to anchor myofibrillar actin thin filaments and titin to Z-discs (PMID: 30701273). ACTN2 is an actin-binding protein with multiple roles in different cell types. In nonmuscle cells, the cytoskeletal isoform is found along microfilament bundles and adherens-type junctions, where it is involved in binding actin to the membrane. In contrast, skeletal, cardiac, and smooth muscle isoforms are localized to the Z disc and analogous dense bodies, where they help anchor the myofibrillar actin filaments. Mutations in ACTN2 are associated with hypertrophic cardiomyopathy, as well as dilated cardiomyopathy and endocardial fibroelastosis (PMID: 20022194, 14567970).
实验方案
| Product Specific Protocols | |
|---|---|
| IF protocol for ACTN2 antibody 14221-1-AP | Download protocol |
| IHC protocol for ACTN2 antibody 14221-1-AP | Download protocol |
| IP protocol for ACTN2 antibody 14221-1-AP | Download protocol |
| WB protocol for ACTN2 antibody 14221-1-AP | Download protocol |
| Standard Protocols | |
|---|---|
| Click here to view our Standard Protocols |
发表文章
| Species | Application | Title |
|---|---|---|
Nat Commun Microskeletal stiffness promotes aortic aneurysm by sustaining pathological vascular smooth muscle cell mechanosensation via Piezo1. | ||
Basic Res Cardiol Alkaline nucleoplasm facilitates contractile gene expression in the mammalian heart. | ||
Front Cell Dev Biol Targeting of CAT and VCAM1 as Novel Therapeutic Targets for DMD Cardiomyopathy. | ||
Front Cell Dev Biol Incomplete Assembly of the Dystrophin-Associated Protein Complex in 2D and 3D-Cultured Human Induced Pluripotent Stem Cell-Derived Cardiomyocytes. |















