验证数据展示
经过测试的应用
| Positive WB detected in | mouse heart tissue |
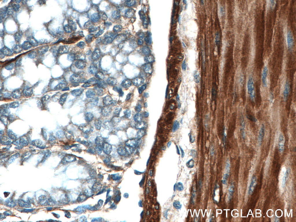
| Positive IHC detected in | human normal colon, human colon tissue, human heart tissue, human skeletal muscle tissue, human small intestine tissue, mouse skeletal muscle tissue, mouse heart tissue, mouse colon tissue Note: suggested antigen retrieval with TE buffer pH 9.0; (*) Alternatively, antigen retrieval may be performed with citrate buffer pH 6.0 |
| Positive FC (Intra) detected in | C2C12 cells |
推荐稀释比
| 应用 | 推荐稀释比 |
|---|---|
| Western Blot (WB) | WB : 1:500-1:2000 |
| Immunohistochemistry (IHC) | IHC : 1:200-1:1000 |
| Flow Cytometry (FC) (INTRA) | FC (INTRA) : 0.40 ug per 10^6 cells in a 100 µl suspension |
| It is recommended that this reagent should be titrated in each testing system to obtain optimal results. | |
| Sample-dependent, Check data in validation data gallery. | |
发表文章中的应用
| WB | See 1 publications below |
产品信息
23082-1-AP targets Alpha cardiac muscle actin in WB, IHC, FC (Intra), ELISA applications and shows reactivity with human, mouse samples.
| 经测试应用 | WB, IHC, FC (Intra), ELISA Application Description |
| 文献引用应用 | WB |
| 经测试反应性 | human, mouse |
| 免疫原 |
CatNo: Ag19482 Product name: Recombinant human ACTC1 protein Source: e coli.-derived, PGEX-4T Tag: GST Domain: 1-50 aa of BC009978 Sequence: MCDDEETTALVCDNGSGLVKAGFAGDDAPRAVFPSIVGRPRHQGVMVGMG 种属同源性预测 |
| 宿主/亚型 | Rabbit / IgG |
| 抗体类别 | Polyclonal |
| 产品类型 | Antibody |
| 全称 | actin, alpha, cardiac muscle 1 |
| 别名 | ACTC1, Alpha actin, ACTC, ACTC 1, ACTC1 cardiac muscle 1 |
| 计算分子量 | 377 aa, 42 kDa |
| 观测分子量 | 42-45 kDa |
| GenBank蛋白编号 | BC009978 |
| 基因名称 | ACTC1 |
| Gene ID (NCBI) | 70 |
| RRID | AB_2879206 |
| 偶联类型 | Unconjugated |
| 形式 | Liquid |
| 纯化方式 | Antigen affinity purification |
| UNIPROT ID | P68032 |
| 储存缓冲液 | PBS with 0.02% sodium azide and 50% glycerol, pH 7.3. |
| 储存条件 | Store at -20°C. Stable for one year after shipment. Aliquoting is unnecessary for -20oC storage. |
实验方案
| Product Specific Protocols | |
|---|---|
| FC protocol for Alpha cardiac muscle actin antibody 23082-1-AP | Download protocol |
| IHC protocol for Alpha cardiac muscle actin antibody 23082-1-AP | Download protocol |
| WB protocol for Alpha cardiac muscle actin antibody 23082-1-AP | Download protocol |
| Standard Protocols | |
|---|---|
| Click here to view our Standard Protocols |




















