验证数据展示
经过测试的应用
| Positive WB detected in | mouse heart tissue, mouse brown adipose tissue, mouse kidney tissue, mouse liver tissue, mouse skeletal muscle tissue, rat heart tissue |
| Positive IP detected in | mouse heart tissue |
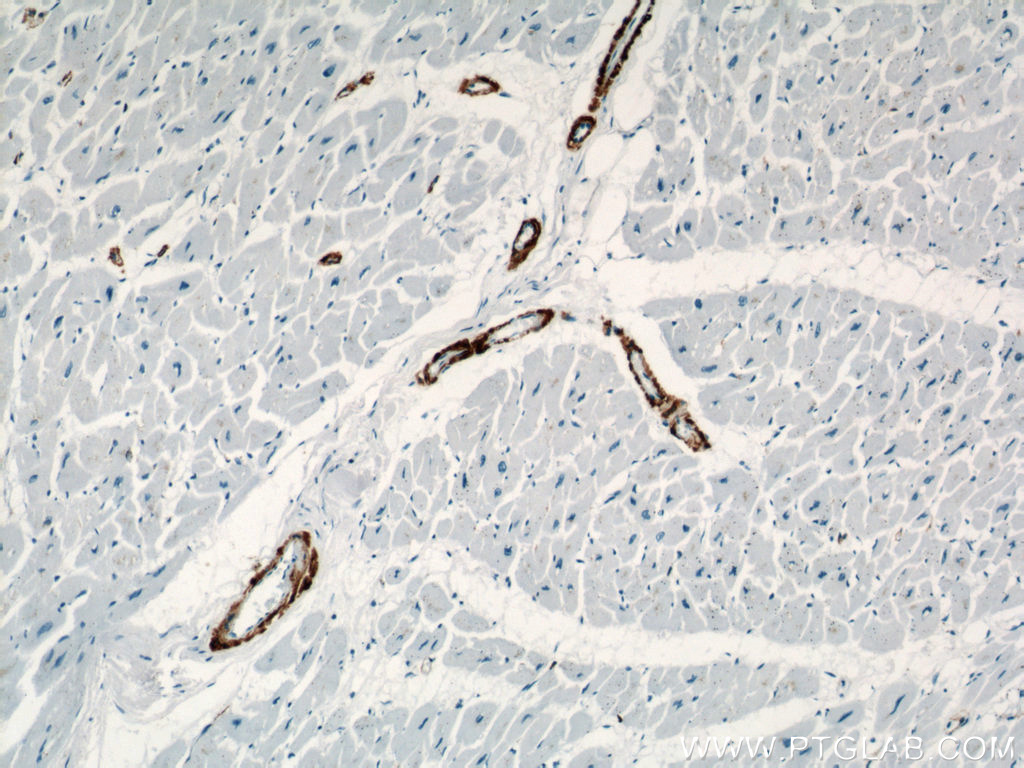
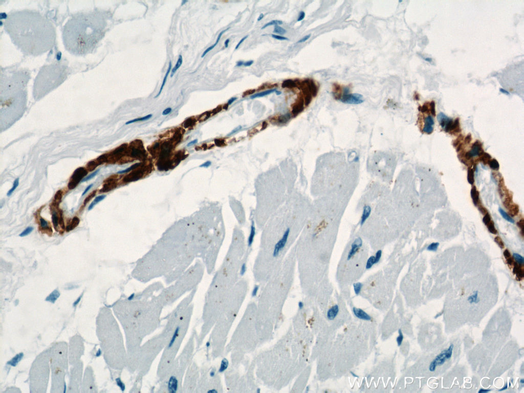
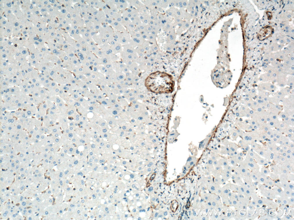
| Positive IHC detected in | human heart tissue, mouse skeletal muscle tissue, human colon tissue, human liver cancer tissue, stromal tumor tissue, human hysteromyoma tissue, human liver tissue, human small intestine tissue, human skeletal muscle tissue Note: suggested antigen retrieval with TE buffer pH 9.0; (*) Alternatively, antigen retrieval may be performed with citrate buffer pH 6.0 |
推荐稀释比
| 应用 | 推荐稀释比 |
|---|---|
| Western Blot (WB) | WB : 1:1000-1:4000 |
| Immunoprecipitation (IP) | IP : 0.5-4.0 ug for 1.0-3.0 mg of total protein lysate |
| Immunohistochemistry (IHC) | IHC : 1:200-1:1000 |
| It is recommended that this reagent should be titrated in each testing system to obtain optimal results. | |
| Sample-dependent, Check data in validation data gallery. | |
产品信息
23081-1-AP targets Alpha smooth muscle actin in WB, IHC, IF, IP, ELISA applications and shows reactivity with human, mouse, rat samples.
| 经测试应用 | WB, IHC, IP, ELISA Application Description |
| 文献引用应用 | WB, IHC, IF |
| 经测试反应性 | human, mouse, rat |
| 文献引用反应性 | human, mouse, rat |
| 免疫原 |
CatNo: Ag19481 Product name: Recombinant human ACTA2 protein Source: e coli.-derived, PGEX-4T Tag: GST Domain: 1-50 aa of BC017554 Sequence: MCEEEDSTALVCDNGSGLCKAGFAGDDAPRAVFPSIVGRPRHQGVMVGMG 种属同源性预测 |
| 宿主/亚型 | Rabbit / IgG |
| 抗体类别 | Polyclonal |
| 产品类型 | Antibody |
| 全称 | actin, alpha 2, smooth muscle, aorta |
| 别名 | ACTA2, Alpha SMA, a-SMA, smooth muscle actin, Alpha actin 2 |
| 计算分子量 | 377 aa, 42 kDa |
| 观测分子量 | 42 kDa |
| GenBank蛋白编号 | BC017554 |
| 基因名称 | Alpha smooth muscle actin |
| Gene ID (NCBI) | 59 |
| RRID | AB_2815024 |
| 偶联类型 | Unconjugated |
| 形式 | Liquid |
| 纯化方式 | Antigen affinity purification |
| UNIPROT ID | P62736 |
| 储存缓冲液 | PBS with 0.02% sodium azide and 50% glycerol, pH 7.3. |
| 储存条件 | Store at -20°C. Stable for one year after shipment. Aliquoting is unnecessary for -20oC storage. |
背景介绍
ACTA2 (also known as α-smooth muscle actin or α-SMA) belongs to the actin family. Actins are highly conserved proteins that are involved in various types of cell motility and are ubiquitously expressed in all eukaryotic cells. ACTA2 is primarily expressed in vascular smooth muscle and anti-ACTA2 is commonly used to marker smooth muscle cells. This antibody is specific to the ACTA2. It selectively stains the vascular smooth muscle but not cardiac or skeletal muscle.
实验方案
| Product Specific Protocols | |
|---|---|
| IHC protocol for Alpha smooth muscle actin antibody 23081-1-AP | Download protocol |
| IP protocol for Alpha smooth muscle actin antibody 23081-1-AP | Download protocol |
| WB protocol for Alpha smooth muscle actin antibody 23081-1-AP | Download protocol |
| Standard Protocols | |
|---|---|
| Click here to view our Standard Protocols |
发表文章
| Species | Application | Title |
|---|---|---|
Nat Commun Dental cell type atlas reveals stem and differentiated cell types in mouse and human teeth. | ||
Drug Des Devel Ther Keloid Patient Plasma-Derived Exosomal hsa_circ_0020792 Promotes Normal Skin Fibroblasts Proliferation, Migration, and Fibrogenesis via Modulating miR-193a-5p and Activating TGF-β1/Smad2/3 Signaling | ||
Biofabrication Antibacterial, ROS scavenging and angiogenesis promotingϵ-Polylysine/gelatin based hydrogel containing CTLP to regulate macrophages for pressure ulcer healing | ||
Cardiovasc Res Plasma levels of trimethylamine-N-oxide can be increased with 'healthy' and 'unhealthy' diets and do not correlate with the extent of atherosclerosis but with plaque instability. | ||
Environ Pollut Polystyrene microplastics cause cardiac fibrosis by activating Wnt/β-catenin signaling pathway and promoting cardiomyocyte apoptosis in rats. | ||
























