验证数据展示
经过测试的应用
| Positive WB detected in | mouse colon tissue, human placenta tissue, A549 cells, HUVEC cells, rat colon tissue, mouse heart tissue, rat heart tissue, mouse liver tissue, mouse kidney tissue |
| Positive IP detected in | mouse liver tissue |
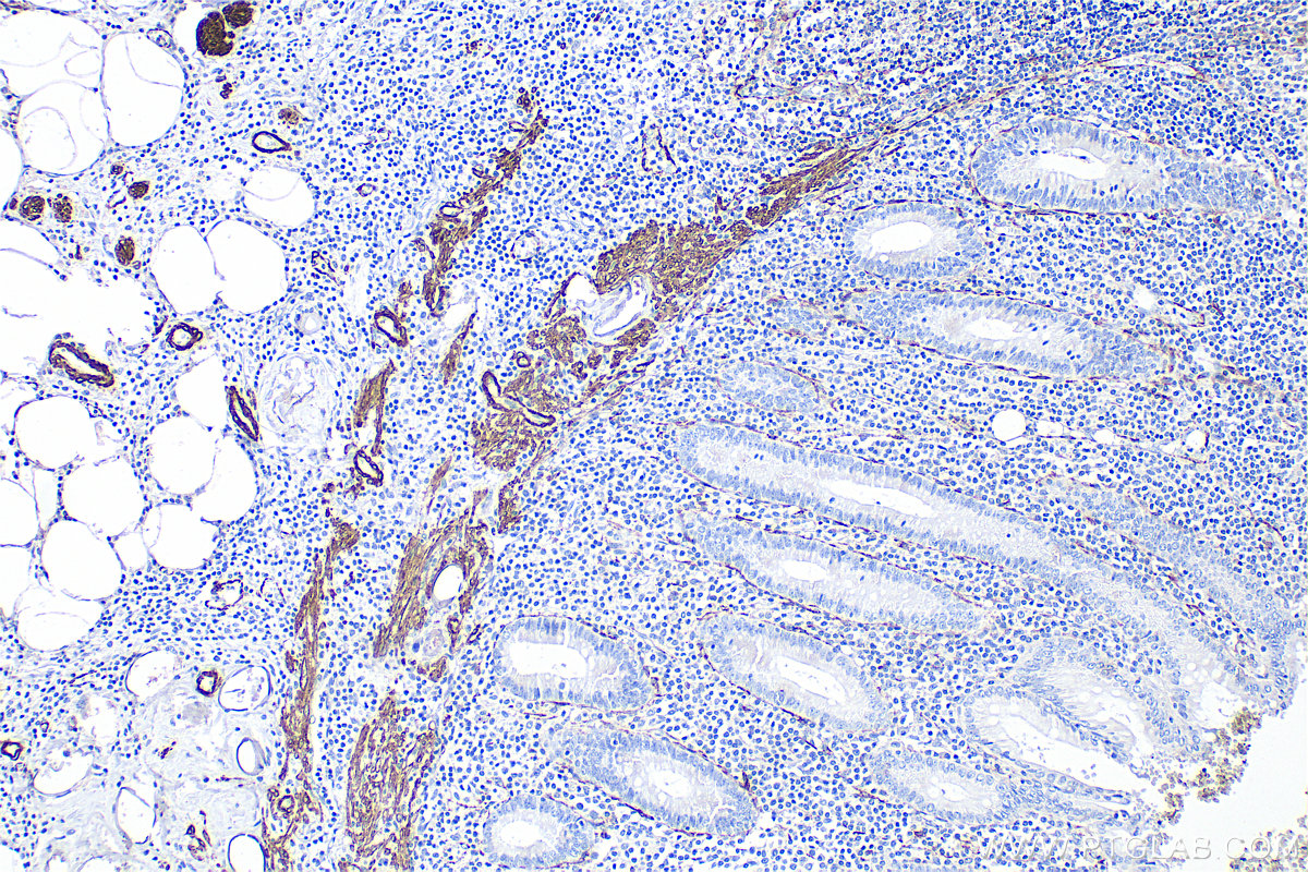
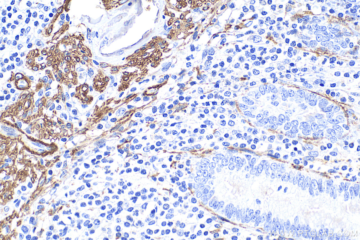
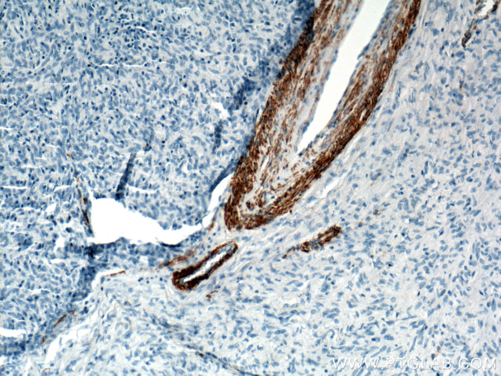
| Positive IHC detected in | human appendicitis tissue, human colon tissue, human heart tissue, human hysteromyoma tissue, human liver cancer tissue, mouse colon tissue, stromal tumor tissue Note: suggested antigen retrieval with TE buffer pH 9.0; (*) Alternatively, antigen retrieval may be performed with citrate buffer pH 6.0 |
| Positive IF-P detected in | mouse heart tissue, mouse small intestine tissue, human colon tissue |
| Positive IF-Fro detected in | mouse colon tissue |
| Positive IF/ICC detected in | C2C12 cells, H9C2 cells |
| Positive FC (Intra) detected in | C2C12 cells |
推荐稀释比
| 应用 | 推荐稀释比 |
|---|---|
| Western Blot (WB) | WB : 1:2000-1:12000 |
| Immunoprecipitation (IP) | IP : 0.5-4.0 ug for 1.0-3.0 mg of total protein lysate |
| Immunohistochemistry (IHC) | IHC : 1:4000-1:16000 |
| Immunofluorescence (IF)-P | IF-P : 1:1000-1:4000 |
| Immunofluorescence (IF)-FRO | IF-FRO : 1:200-1:800 |
| Immunofluorescence (IF)/ICC | IF/ICC : 1:800-1:3200 |
| Flow Cytometry (FC) (INTRA) | FC (INTRA) : 0.40 ug per 10^6 cells in a 100 µl suspension |
| It is recommended that this reagent should be titrated in each testing system to obtain optimal results. | |
| Sample-dependent, Check data in validation data gallery. | |
产品信息
14395-1-AP targets Alpha smooth muscle actin in WB, IHC, IF/ICC, IF-P, IF-Fro, FC (Intra), IP, CoIP, ELISA, competitive binding assay applications and shows reactivity with human, mouse, rat samples.
| 经测试应用 | WB, IHC, IF/ICC, IF-P, IF-Fro, FC (Intra), IP, ELISA Application Description |
| 文献引用应用 | WB, IHC, IF, IP, CoIP, competitive binding assay |
| 经测试反应性 | human, mouse, rat |
| 文献引用反应性 | human, mouse, rat, pig, rabbit, canine, monkey, zebrafish, bovine, sheep |
| 免疫原 |
CatNo: Ag5886 Product name: Recombinant human ACTA2 protein Source: e coli.-derived, PGEX-4T Tag: GST Domain: 1-377 aa of BC017554 Sequence: MCEEEDSTALVCDNGSGLCKAGFAGDDAPRAVFPSIVGRPRHQGVMVGMGQKDSYVGDEAQSKRGILTLKYPIEHGIITNWDDMEKIWHHSFYNELRVAPEEHPTLLTEAPLNPKANREKMTQIMFETFNVPAMYVAIQAVLSLYASGRTTGIVLDSGDGVTHNVPIYEGYALPHAIMRLDLAGRDLTDYLMKILTERGYSFVTTAEREIVRDIKEKLCYVALDFENEMATAASSSSLEKSYELPDGQVITIGNERFRCPETLFQPSFIGMESAGIHETTYNSIMKCDIDIRKDLYANNVLSGGTTMYPGIADRMQKEITALAPSTMKIKIIAPPERKYSVWIGGSILASLSTFQQMWISKQEYDEAGPSIVHRKCF 种属同源性预测 |
| 宿主/亚型 | Rabbit / IgG |
| 抗体类别 | Polyclonal |
| 产品类型 | Antibody |
| 全称 | actin, alpha 2, smooth muscle, aorta |
| 别名 | ACTA2, Alpha SMA, a-SMA, smooth muscle actin, a SMA |
| 计算分子量 | 377 aa, 42 kDa |
| 观测分子量 | 42 kDa |
| GenBank蛋白编号 | BC017554 |
| 基因名称 | Alpha smooth muscle actin |
| Gene ID (NCBI) | 59 |
| RRID | AB_2223009 |
| 偶联类型 | Unconjugated |
| 形式 | Liquid |
| 纯化方式 | Antigen affinity purification |
| UNIPROT ID | P62736 |
| 储存缓冲液 | PBS with 0.02% sodium azide and 50% glycerol, pH 7.3. |
| 储存条件 | Store at -20°C. Stable for one year after shipment. Aliquoting is unnecessary for -20oC storage. |
背景介绍
ACTA2 (also known as α-smooth muscle actin or α-SMA) belongs to the actin family. Actins are highly conserved proteins that are involved in various types of cell motility and are ubiquitously expressed in all eukaryotic cells. ACTA2 is primarily expressed in vascular smooth muscle and anti-ACTA2 is commonly used to marker smooth muscle cells. This antibody may cross-react with other isoforms of actins.
实验方案
| Product Specific Protocols | |
|---|---|
| FC protocol for Alpha smooth muscle actin antibody 14395-1-AP | Download protocol |
| IF protocol for Alpha smooth muscle actin antibody 14395-1-AP | Download protocol |
| IHC protocol for Alpha smooth muscle actin antibody 14395-1-AP | Download protocol |
| IP protocol for Alpha smooth muscle actin antibody 14395-1-AP | Download protocol |
| WB protocol for Alpha smooth muscle actin antibody 14395-1-AP | Download protocol |
| Standard Protocols | |
|---|---|
| Click here to view our Standard Protocols |
发表文章
| Species | Application | Title |
|---|---|---|
Cell Metab Augmentation of scleral glycolysis promotes myopia through histone lactylation | ||
Cell Metab Nicotinamide metabolism face-off between macrophages and fibroblasts manipulates the microenvironment in gastric cancer | ||
Mil Med Res Caveolin-1 is critical for hepatic iron storage capacity in the development of nonalcoholic fatty liver disease | ||
Nat Cell Biol LncGata6 maintains stemness of intestinal stem cells and promotes intestinal tumorigenesis. |





























