验证数据展示
经过测试的应用
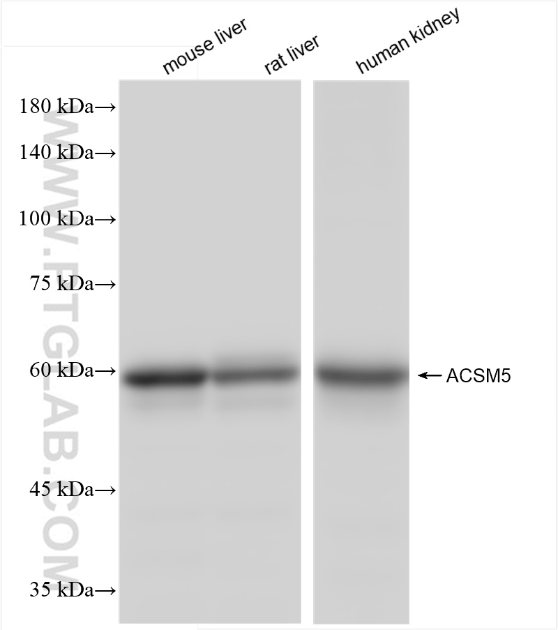
| Positive WB detected in | mouse liver tissue, rat liver tissue, human kidney tissue |
| Positive IHC detected in | mouse liver tissue Note: suggested antigen retrieval with TE buffer pH 9.0; (*) Alternatively, antigen retrieval may be performed with citrate buffer pH 6.0 |
| Positive FC (Intra) detected in | HepG2 cells |
推荐稀释比
| 应用 | 推荐稀释比 |
|---|---|
| Western Blot (WB) | WB : 1:5000-1:50000 |
| Immunohistochemistry (IHC) | IHC : 1:250-1:1000 |
| Flow Cytometry (FC) (INTRA) | FC (INTRA) : 0.25 ug per 10^6 cells in a 100 µl suspension |
| It is recommended that this reagent should be titrated in each testing system to obtain optimal results. | |
| Sample-dependent, Check data in validation data gallery. | |
产品信息
84444-1-RR targets ACSM5 in WB, IHC, FC (Intra), ELISA applications and shows reactivity with human, mouse, rat samples.
| 经测试应用 | WB, IHC, FC (Intra), ELISA Application Description |
| 经测试反应性 | human, mouse, rat |
| 免疫原 |
CatNo: Ag9373 Product name: Recombinant human ACSM5 protein Source: e coli.-derived, PGEX-4T Tag: GST Domain: 1-208 aa of BC016703 Sequence: MRPWLRHLVLQALRNSRAFCGSHGKPAPLPVPQKIVATWEAISLGRQLVPEYFNFAHDVLDVWSRLEEAGHRPPNPAFWWVNGTGAEIKWSFEELGKQSRKAANVLGGACGLQPGDRMMLVLPRLPEWWLVSVACMRTGTVVIPGVTQLTEKDLKYRLQASRAKSIITSDSLAPRVDAISAECPSLQTKLLVSDSSRPGWLNFRELLR 种属同源性预测 |
| 宿主/亚型 | Rabbit / IgG |
| 抗体类别 | Recombinant |
| 产品类型 | Antibody |
| 全称 | acyl-CoA synthetase medium-chain family member 5 |
| 别名 | 241400E7, ACSM 5, Acyl-CoA synthetase medium-chain family member 5, Acyl-coenzyme A synthetase ACSM5, mitochondrial, EC:6.2.1.2 |
| 计算分子量 | 208 aa, 23 kDa |
| 观测分子量 | 60-65 kDa |
| GenBank蛋白编号 | BC016703 |
| 基因名称 | ACSM5 |
| Gene ID (NCBI) | 54988 |
| RRID | AB_3671969 |
| 偶联类型 | Unconjugated |
| 形式 | Liquid |
| 纯化方式 | Protein A purfication |
| UNIPROT ID | Q6NUN0 |
| 储存缓冲液 | PBS with 0.02% sodium azide and 50% glycerol, pH 7.3. |
| 储存条件 | Store at -20°C. Stable for one year after shipment. Aliquoting is unnecessary for -20oC storage. |
背景介绍
ACSM5(Acyl-CoA synthetase medium-chain family member 5) is also named as MACS3 and belongs to the ATP-dependent AMP-binding enzyme family. ACSM5 has medium-chain fatty acid:CoA ligase activity with broad substrate specificity (in vitro). This protein has 2 isoforms produced by alternative splicing.
实验方案
| Product Specific Protocols | |
|---|---|
| FC protocol for ACSM5 antibody 84444-1-RR | Download protocol |
| IHC protocol for ACSM5 antibody 84444-1-RR | Download protocol |
| WB protocol for ACSM5 antibody 84444-1-RR | Download protocol |
| Standard Protocols | |
|---|---|
| Click here to view our Standard Protocols |



