验证数据展示
经过测试的应用
| Positive WB detected in | human testis tissue |
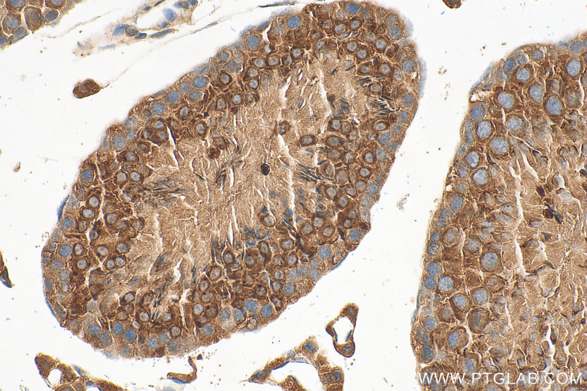
| Positive IHC detected in | mouse testis tissue Note: suggested antigen retrieval with TE buffer pH 9.0; (*) Alternatively, antigen retrieval may be performed with citrate buffer pH 6.0 |
推荐稀释比
| 应用 | 推荐稀释比 |
|---|---|
| Western Blot (WB) | WB : 1:1000-1:6000 |
| Immunohistochemistry (IHC) | IHC : 1:50-1:500 |
| It is recommended that this reagent should be titrated in each testing system to obtain optimal results. | |
| Sample-dependent, Check data in validation data gallery. | |
产品信息
12487-1-AP targets ACRBP in WB, IHC, ELISA applications and shows reactivity with human samples.
| 经测试应用 | WB, IHC, ELISA Application Description |
| 经测试反应性 | human |
| 免疫原 |
CatNo: Ag3180 Product name: Recombinant human ACRBP protein Source: e coli.-derived, PGEX-4T Tag: GST Domain: 244-543 aa of BC033010 Sequence: AVSQLQTDSEPKFHSESLSSNPSSFAPRVREVESTPMIMENIQELIRSAQEIDEMNEIYDENSYWRNQNPGSLLQLPHTEALLVLCYSIVENTCIITPTAKAWKYMEEEILGFGKSVCDSLGRRHMSTCALCDFCSLKLEQCHSEASLQRQQCDTSHKTPFVSPLLASQSLSIGNQVGSPESGRFYGLDLYGGLHMDFWCARLATKGCEDVRVSGWLQTEFLSFQDGDFPTKICDTDYIQYPNYCSFKSQQCLMRNRNRKVSRMRCLQNETYSALSPGKSEDVVLRWSQEFSTLTLGQFG 种属同源性预测 |
| 宿主/亚型 | Rabbit / IgG |
| 抗体类别 | Polyclonal |
| 产品类型 | Antibody |
| 全称 | acrosin binding protein |
| 别名 | Acrosin-binding protein, Acrosin-binding protein, 60 kDa form, Acrosin-binding protein, mature form, Cancer/testis antigen 23, Cancer/testis antigen OY-TES-1 |
| 计算分子量 | 543 aa, 61 kDa |
| 观测分子量 | 60 kDa |
| GenBank蛋白编号 | BC033010 |
| 基因名称 | ACRBP |
| Gene ID (NCBI) | 84519 |
| RRID | AB_3669141 |
| 偶联类型 | Unconjugated |
| 形式 | Liquid |
| 纯化方式 | Antigen affinity purification |
| UNIPROT ID | Q8NEB7 |
| 储存缓冲液 | PBS with 0.02% sodium azide and 50% glycerol, pH 7.3. |
| 储存条件 | Store at -20°C. Stable for one year after shipment. Aliquoting is unnecessary for -20oC storage. |
实验方案
| Product Specific Protocols | |
|---|---|
| IHC protocol for ACRBP antibody 12487-1-AP | Download protocol |
| WB protocol for ACRBP antibody 12487-1-AP | Download protocol |
| Standard Protocols | |
|---|---|
| Click here to view our Standard Protocols |

