验证数据展示
经过测试的应用
| Positive WB detected in | HEK-293 cells, MCF-7 cells, mouse heart tissue, mouse kidney tissue, rat kidney tissue | 
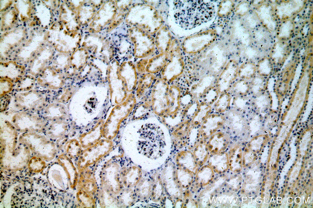
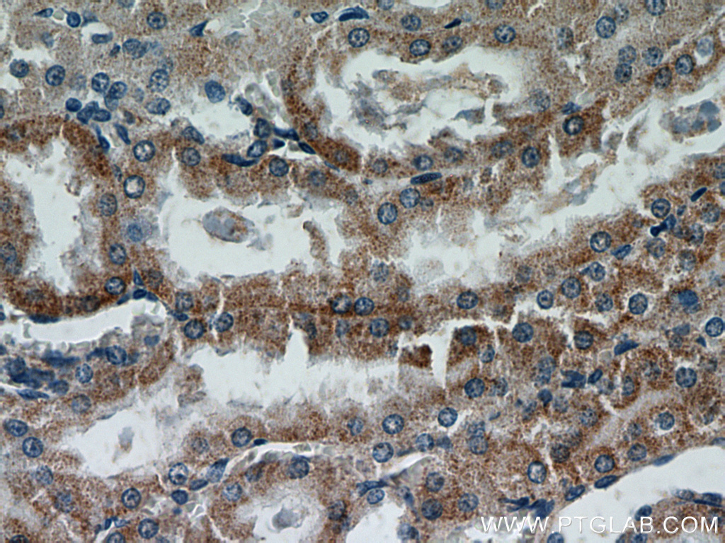
| Positive IHC detected in | mouse kidney tissue, human kidney tissue,  rat kidney tissue Note: suggested antigen retrieval with TE buffer pH 9.0; (*) Alternatively, antigen retrieval may be performed with citrate buffer pH 6.0 | 
推荐稀释比
| 应用 | 推荐稀释比 | 
|---|---|
| Western Blot (WB) | WB : 1:500-1:1000 | 
| Immunohistochemistry (IHC) | IHC : 1:50-1:500 | 
| It is recommended that this reagent should be titrated in each testing system to obtain optimal results. | |
| Sample-dependent, Check data in validation data gallery. | |
发表文章中的应用
| KD/KO | See 1 publications below | 
| WB | See 1 publications below | 
| IHC | See 1 publications below | 
产品信息
15901-1-AP targets ACOT9 in WB, IHC, ELISA applications and shows reactivity with human, mouse, rat samples.
| 经测试应用 | WB, IHC, ELISA Application Description | 
| 文献引用应用 | WB, IHC | 
| 经测试反应性 | human, mouse, rat | 
| 文献引用反应性 | human, mouse | 
| 免疫原 | CatNo: Ag8730 Product name: Recombinant human ACOT9 protein Source: e coli.-derived, PGEX-4T Tag: GST Domain: 1-212 aa of BC012573 Sequence: MRRAALRLCALGKGQLTPGRGLTQGPQNPKKQGIFHIHEVRDKLREIVGASTNWRDHVKAMEERKLLHSFLAKSQDGLPPRRMKDSYIEVLLPLGSEPELREKYLTVQNTVRFGRILEDLDSLGVLICYMHNKIHSAKMSPLSIVTALVDKIDMCKKSLSPEQDIKFSGHVSWVGKTSMEVKMQMFQLHGDEFCPVLDATFVMVARDSENKG种属同源性预测 | 
| 宿主/亚型 | Rabbit / IgG | 
| 抗体类别 | Polyclonal | 
| 产品类型 | Antibody | 
| 全称 | acyl-CoA thioesterase 9 | 
| 别名 | ACATE2, ACOT9, Acyl CoA thioester hydrolase 9, acyl CoA thioesterase 9, CGI 16, MT ACT48 | 
| 计算分子量 | 24 kDa, 49 kDa | 
| 观测分子量 | 43-50 kDa | 
| GenBank蛋白编号 | BC012573 | 
| 基因名称 | ACOT9 | 
| Gene ID (NCBI) | 23597 | 
| RRID | AB_2221519 | 
| 偶联类型 | Unconjugated | 
| 形式 | Liquid | 
| 纯化方式 | Antigen affinity purification | 
| UNIPROT ID | Q9Y305 | 
| 储存缓冲液 | PBS with 0.02% sodium azide and 50% glycerol, pH 7.3. | 
| 储存条件 | Store at -20°C. Stable for one year after shipment. Aliquoting is unnecessary for -20oC storage. | 
背景介绍
ACOT9 (Acyl-coenzyme A thioesterase 9) is a member of the acyl-CoA thioesterase superfamily, which is a group of enzymes that catalyze the hydrolysis of acyl-CoAs to the free fatty acid and coenzyme A (CoASH), providing the potential to regulate intracellular levels of acyl-CoAs, free fatty acids and CoASH. ACOT9 has 4 isoforms with the molecular mass of 43-50 kDa.
实验方案
| Product Specific Protocols | |
|---|---|
| IHC protocol for ACOT9 antibody 15901-1-AP | Download protocol | 
| WB protocol for ACOT9 antibody 15901-1-AP | Download protocol | 
| Standard Protocols | |
|---|---|
| Click here to view our Standard Protocols | 
发表文章
| Species | Application | Title | 
|---|---|---|
| Liver Int Acyl-CoA thioesterase 9 promotes tumor growth and metastasis through reprogramming of fatty acid metabolism in hepatocellular carcinoma
 | ||
| EMBO Mol Med A coordinated multiorgan metabolic response contributes to human mitochondrial myopathy | 




















