验证数据展示
经过测试的应用
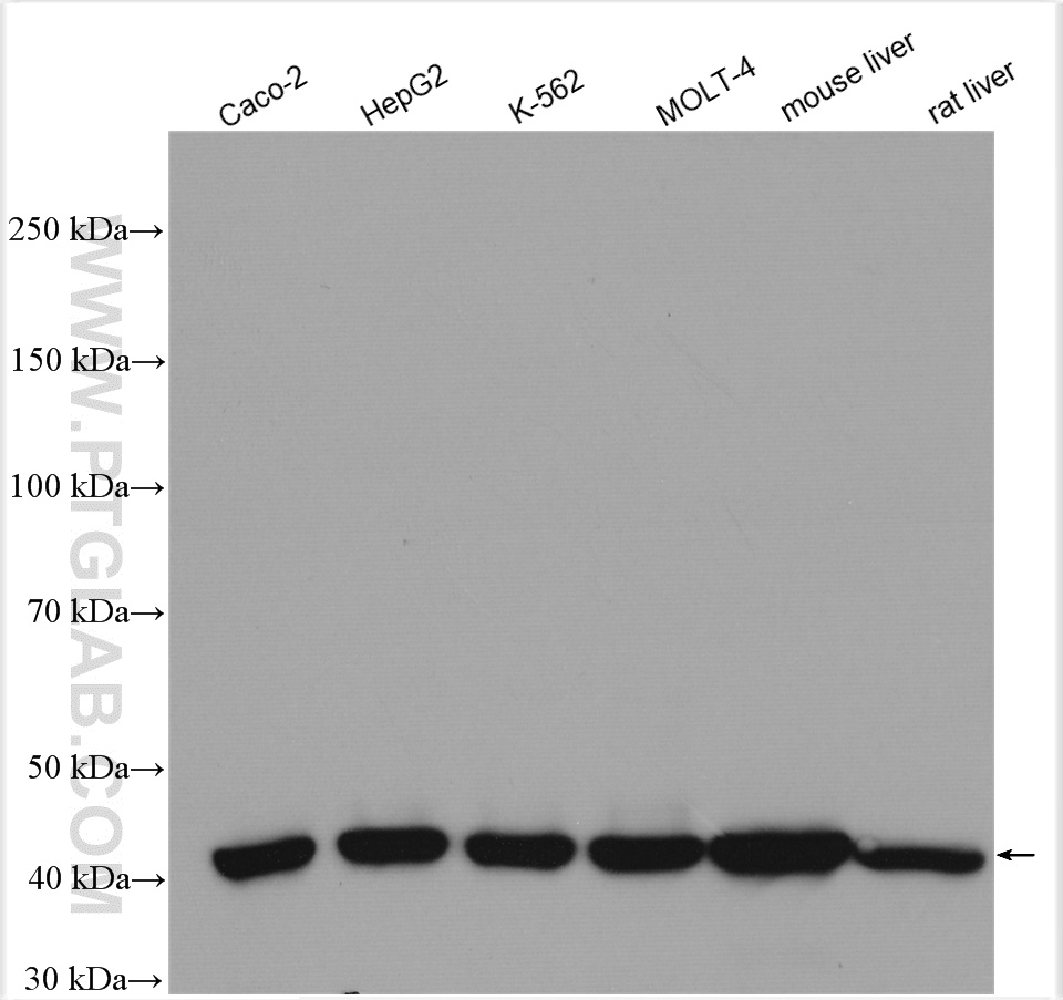
| Positive WB detected in | Caco-2 cells, HepG2 cells, K-562 cells, MOLT-4 cells, mouse liver, rat liver | 
| Positive IP detected in | mouse liver tissue | 
| Positive IHC detected in | human liver tissue,  human lung tissue,  human placenta tissue Note: suggested antigen retrieval with TE buffer pH 9.0; (*) Alternatively, antigen retrieval may be performed with citrate buffer pH 6.0 | 
| Positive IF/ICC detected in | HepG2 cells | 
| Positive FC (Intra) detected in | HepG2 cells | 
推荐稀释比
| 应用 | 推荐稀释比 | 
|---|---|
| Western Blot (WB) | WB : 1:2000-1:12000 | 
| Immunoprecipitation (IP) | IP : 0.5-4.0 ug for 1.0-3.0 mg of total protein lysate | 
| Immunohistochemistry (IHC) | IHC : 1:20-1:200 | 
| Immunofluorescence (IF)/ICC | IF/ICC : 1:200-1:800 | 
| Flow Cytometry (FC) (INTRA) | FC (INTRA) : 0.40 ug per 10^6 cells in a 100 µl suspension | 
| It is recommended that this reagent should be titrated in each testing system to obtain optimal results. | |
| Sample-dependent, Check data in validation data gallery. | |
发表文章中的应用
| WB | See 8 publications below | 
| IHC | See 3 publications below | 
产品信息
14755-1-AP targets ACAT2 in WB, IHC, IF/ICC, FC (Intra), IP, ELISA applications and shows reactivity with human, mouse, rat samples.
| 经测试应用 | WB, IHC, IF/ICC, FC (Intra), IP, ELISA Application Description | 
| 文献引用应用 | WB, IHC | 
| 经测试反应性 | human, mouse, rat | 
| 文献引用反应性 | human, mouse, rat | 
| 免疫原 | CatNo: Ag6503 Product name: Recombinant human ACAT2 protein Source: e coli.-derived, PGEX-4T Tag: GST Domain: 1-397 aa of BC000408 Sequence: MNAGSDPVVIVSAARTIIGSFNGALAAVPVQDLGSTVIKEVLKRATVAPEDVSEVIFGHVLAAGCGQNPVRQASVGAGIPYSVPAWSCQMICGSGLKAVCLAVQSIGIGDSSIVVAGGMENMSKAPHLAYLRTGVKIGEMPLTDSILCDGLTDAFHNCHMGITAENVAKKWQVSREDQDKVAVLSQNRTENAQKAGHFDKEIVPVLVSTRRGLIEVKTDEFPRHGSNIEAMSKLKPYFLTDGTGTVTPANASGINDGAAAVVLMKKSEADKRGLTPLARIVSWSQVGVEPSIMGIGPIPAIKQAVTKAGWSLEDVDIFEINEAFAAVSAAIVKELGLNPEKVNIEGGAIALGHPLGASGCRILVTLLHTLERMGRSRGVAALCIGGGMGIAMCVQRE种属同源性预测 | 
| 宿主/亚型 | Rabbit / IgG | 
| 抗体类别 | Polyclonal | 
| 产品类型 | Antibody | 
| 全称 | acetyl-Coenzyme A acetyltransferase 2 | 
| 别名 | acetoacetyl CoA thiolase, Acetyl-CoA acetyltransferase, cytosolic, Acetyl-CoA transferase-like protein, ACTL, Cytosolic acetoacetyl-CoA thiolase | 
| 计算分子量 | 41 kDa | 
| 观测分子量 | 40-42 kDa | 
| GenBank蛋白编号 | BC000408 | 
| 基因名称 | ACAT2 | 
| Gene ID (NCBI) | 39 | 
| RRID | AB_2220236 | 
| 偶联类型 | Unconjugated | 
| 形式 | Liquid | 
| 纯化方式 | Antigen affinity purification | 
| UNIPROT ID | Q9BWD1 | 
| 储存缓冲液 | PBS with 0.02% sodium azide and 50% glycerol, pH 7.3. | 
| 储存条件 | Store at -20°C. Stable for one year after shipment. Aliquoting is unnecessary for -20oC storage. | 
实验方案
| Product Specific Protocols | |
|---|---|
| IF protocol for ACAT2 antibody 14755-1-AP | Download protocol | 
| IHC protocol for ACAT2 antibody 14755-1-AP | Download protocol | 
| IP protocol for ACAT2 antibody 14755-1-AP | Download protocol | 
| WB protocol for ACAT2 antibody 14755-1-AP | Download protocol | 
| Standard Protocols | |
|---|---|
| Click here to view our Standard Protocols | 
发表文章
| Species | Application | Title | 
|---|---|---|
| Cell Res Blocking FSH inhibits hepatic cholesterol biosynthesis and reduces serum cholesterol. | ||
| Cell Res Hepatocellular carcinoma redirects to ketolysis for progression under nutrition deprivation stress. | ||
| Cancer Cell Int Polyamine metabolism patterns characterized tumor microenvironment, prognosis, and response to immunotherapy in colorectal cancer | ||
| iScience Hepatocyte activity of the cholesterol sensor smoothened regulates cholesterol and bile acid homeostasis in mice. | ||
| J Agric Food Chem Oral Administration of Succinoglycan Riclin Improves Diet-Induced Hypercholesterolemia in Mice. | ||
| Food Res Int Wild Lonicera caerulea berry polyphenol extract reduces cholesterol accumulation and enhances antioxidant capacity in vitro and in vivo. | 











