验证数据展示
经过测试的应用
| Positive WB detected in | HL-60 cells, Jurkat cells |
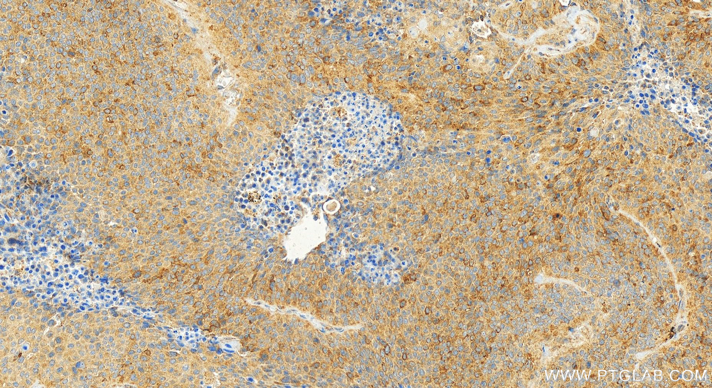
| Positive IHC detected in | human lung squamous cell cancer Note: suggested antigen retrieval with TE buffer pH 9.0; (*) Alternatively, antigen retrieval may be performed with citrate buffer pH 6.0 |
| Positive IF/ICC detected in | Jurkat cells |
推荐稀释比
| 应用 | 推荐稀释比 |
|---|---|
| Western Blot (WB) | WB : 1:1000-1:4000 |
| Immunohistochemistry (IHC) | IHC : 1:200-1:800 |
| Immunofluorescence (IF)/ICC | IF/ICC : 1:200-1:800 |
| It is recommended that this reagent should be titrated in each testing system to obtain optimal results. | |
| Sample-dependent, Check data in validation data gallery. | |
发表文章中的应用
| WB | See 3 publications below |
| IF | See 1 publications below |
产品信息
20135-1-AP targets ACAP1 in WB, IHC, IF/ICC, ELISA applications and shows reactivity with human, mouse, rat samples.
| 经测试应用 | WB, IHC, IF/ICC, ELISA Application Description |
| 文献引用应用 | WB, IF |
| 经测试反应性 | human, mouse, rat |
| 文献引用反应性 | human |
| 免疫原 |
CatNo: Ag14068 Product name: Recombinant human ACAP1 protein Source: e coli.-derived, PKG Tag: GST Domain: 20-251 aa of BC018543 Sequence: SIELVEAEVSELETRLEKLLKLGTGLLESGRHYLAASRAFVVGICDLARLGPPEPMMAECLEKFTVSLNHKLDSHAELLDATQHTLQQQIQTLVKEGLRGFREARRDFWRGAESLEAALTHNAEVPRRRAQEAEEAGAALRTARAGYRGRALDYALQINVIEDKRKFDIMEFVLRLVEAQATHFQQGHEELSRLSQYRKELGAQLHQLVLNSAREKRDMEQRHVLLKQKELG 种属同源性预测 |
| 宿主/亚型 | Rabbit / IgG |
| 抗体类别 | Polyclonal |
| 产品类型 | Antibody |
| 全称 | ArfGAP with coiled-coil, ankyrin repeat and PH domains 1 |
| 别名 | Arf-GAP with coiled-coil, ANK repeat and PH domain-containing protein 1, Centaurin beta 1, Centaurin-beta-1, CENTB1, Cnt b1 |
| 计算分子量 | 740 aa, 82 kDa |
| 观测分子量 | 85 kDa |
| GenBank蛋白编号 | BC018543 |
| 基因名称 | ACAP1 |
| Gene ID (NCBI) | 9744 |
| RRID | AB_10696311 |
| 偶联类型 | Unconjugated |
| 形式 | Liquid |
| 纯化方式 | Antigen affinity purification |
| UNIPROT ID | Q15027 |
| 储存缓冲液 | PBS with 0.02% sodium azide and 50% glycerol, pH 7.3. |
| 储存条件 | Store at -20°C. Stable for one year after shipment. Aliquoting is unnecessary for -20oC storage. |
背景介绍
ACAP1, also named as Centaurin-beta-1, is a 740 amino acid protein, which is expressed Highly in lung and spleen. ACAP1 as a GTPase-activating protein (GAP) for ADP ribosylation factor 6 (ARF6) is required for clathrin-dependent export of proteins from recycling endosomes to trans-Golgi network and cell surface and required for regulated export of ITGB1 from recycling endosomes to the cell surface and ITGB1-dependent cell migration.
实验方案
| Product Specific Protocols | |
|---|---|
| IF protocol for ACAP1 antibody 20135-1-AP | Download protocol |
| IHC protocol for ACAP1 antibody 20135-1-AP | Download protocol |
| WB protocol for ACAP1 antibody 20135-1-AP | Download protocol |
| Standard Protocols | |
|---|---|
| Click here to view our Standard Protocols |
发表文章
| Species | Application | Title |
|---|---|---|
Comput Struct Biotechnol J Integrated analysis and validation reveal ACAP1 as a novel prognostic biomarker associated with tumor immunity in lung adenocarcinoma | ||
Cancer Lett CD24 promotes metastasis and chemoresistance by directly targeting Arf6-ERK pathway in esophageal squamous cell carcinoma. |



