验证数据展示
经过测试的应用
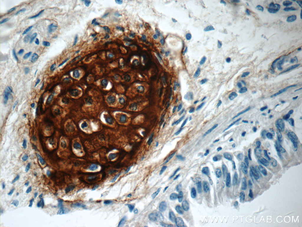
| Positive IHC detected in | human lung tissue, human cartilage tissue, human lung cancer tissue, mouse lung tissue, rat brain tissue Note: suggested antigen retrieval with TE buffer pH 9.0; (*) Alternatively, antigen retrieval may be performed with citrate buffer pH 6.0 |
| Positive FC (Intra) detected in | ATDC-5 cells |
推荐稀释比
| 应用 | 推荐稀释比 |
|---|---|
| Immunohistochemistry (IHC) | IHC : 1:200-1:800 |
| Flow Cytometry (FC) (INTRA) | FC (INTRA) : 0.80 ug per 10^6 cells in a 100 µl suspension |
| It is recommended that this reagent should be titrated in each testing system to obtain optimal results. | |
| Sample-dependent, Check data in validation data gallery. | |
发表文章中的应用
| IHC | See 117 publications below |
| IF | See 120 publications below |
产品信息
13880-1-AP targets Aggrecan in IHC, IF, FC (Intra), ELISA applications and shows reactivity with human, mouse, rat samples.
| 经测试应用 | IHC, FC (Intra), ELISA Application Description |
| 文献引用应用 | IHC, IF |
| 经测试反应性 | human, mouse, rat |
| 文献引用反应性 | human, mouse, rat, pig, rabbit, canine, zebrafish |
| 免疫原 |
CatNo: Ag4985 Product name: Recombinant human ACAN protein Source: e coli.-derived, PGEX-4T Tag: GST Domain: 1-298 aa of BC036445 Sequence: MTTLLWVFVTLRVITAAVTVETSDHDNSLSVSIPQPSPLRVLLGTSLTIPCYFIDPMHPVTTAPSTAPLAPRIKWSRVSKEKEVVLLVATEGRVRVNSAYQDKVSLPNYPAIPSDATLEVQSLRSNDSGVYRCEVMHGIEDSEATLEVVVKGIVFHYRAISTRYTLDFDRAQRACLQNSAIIATPEQLQAAYEDGFHQCDAGWLADQTVRYPIHTPREGCYGDKDEFPGVRTYGIRDTNETYDVYCFAEEMEGEVFYATSPEKFTFQEAANECRRLGARLATTGQLYLAWQAGMDMCS 种属同源性预测 |
| 宿主/亚型 | Rabbit / IgG |
| 抗体类别 | Polyclonal |
| 产品类型 | Antibody |
| 全称 | aggrecan |
| 别名 | ACAN, AGC1, AGCAN, Aggrecan 1, Aggrecan core protein 2 |
| 计算分子量 | 250 kDa |
| GenBank蛋白编号 | BC036445 |
| 基因名称 | ACAN |
| Gene ID (NCBI) | 176 |
| RRID | AB_2722780 |
| 偶联类型 | Unconjugated |
| 形式 | Liquid |
| 纯化方式 | Antigen affinity purification |
| UNIPROT ID | P16112 |
| 储存缓冲液 | PBS with 0.02% sodium azide and 50% glycerol, pH 7.3. |
| 储存条件 | Store at -20°C. Stable for one year after shipment. Aliquoting is unnecessary for -20oC storage. |
背景介绍
Aggrecan (ACAN), also named as CSPCP, AGC1 and MSK16, belongs to the aggrecan/versican proteoglycan family (also including versican, brevican and neurocan). It is a major component of extracellular matrix of cartilaginous tissues. A major function of aggrecan is to resist compression in cartilage. It binds avidly to hyaluronic acid via an N-terminal globular region.
实验方案
| Product Specific Protocols | |
|---|---|
| FC protocol for Aggrecan antibody 13880-1-AP | Download protocol |
| IHC protocol for Aggrecan antibody 13880-1-AP | Download protocol |
| Standard Protocols | |
|---|---|
| Click here to view our Standard Protocols |
发表文章
| Species | Application | Title |
|---|---|---|
Cell Stem Cell A human organoid drug screen identifies α2-adrenergic receptor signaling as a therapeutic target for cartilage regeneration | ||
Sci Transl Med Single-cell atlas of human infrapatellar fat pad and synovium implicates APOE signaling in osteoarthritis pathology | ||
Nat Commun Injectable ECM-mimetic dynamic hydrogels abolish ferroptosis-induced post-discectomy herniation through delivering nucleus pulposus progenitor cell-derived exosomes | ||
J Extracell Vesicles miR-23a-3p-abundant small extracellular vesicles released from Gelma/nanoclay hydrogel for cartilage regeneration. | ||
Adv Sci (Weinh) Inhibition of Heat Shock Protein 90β by Catalpol: A Potential Therapeutic Approach for Alleviating Inflammation-Induced Cartilage Injuries in Osteoarthritis |













