验证数据展示
经过测试的应用
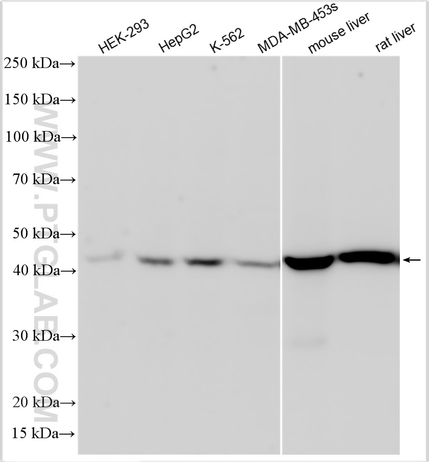
| Positive WB detected in | HEK-293 cells, K-562 cells, HepG2 cells, rat heart tissue, MDA-MB-453s cells, mouse liver tissue, rat liver tissue, mouse kidney tissue, rat kidney tissue | 
| Positive IHC detected in | human liver tissue, human heart tissue Note: suggested antigen retrieval with TE buffer pH 9.0; (*) Alternatively, antigen retrieval may be performed with citrate buffer pH 6.0 | 
推荐稀释比
| 应用 | 推荐稀释比 | 
|---|---|
| Western Blot (WB) | WB : 1:1000-1:6000 | 
| Immunohistochemistry (IHC) | IHC : 1:50-1:500 | 
| It is recommended that this reagent should be titrated in each testing system to obtain optimal results. | |
| Sample-dependent, Check data in validation data gallery. | |
产品信息
55210-1-AP targets ACADM in WB, IHC, IP, ELISA applications and shows reactivity with human, mouse, rat samples.
| 经测试应用 | WB, IHC, ELISA Application Description | 
| 文献引用应用 | WB, IHC, IP | 
| 经测试反应性 | human, mouse, rat | 
| 文献引用反应性 | human, mouse, rat | 
| 免疫原 | Peptide种属同源性预测 | 
| 宿主/亚型 | Rabbit / IgG | 
| 抗体类别 | Polyclonal | 
| 产品类型 | Antibody | 
| 全称 | acyl-Coenzyme A dehydrogenase, C-4 to C-12 straight chain | 
| 别名 | ACAD, ACAD 1, ACAD1, EC:1.3.8.7, MCAD | 
| 计算分子量 | 47 kDa | 
| 观测分子量 | 45-50 kDa | 
| GenBank蛋白编号 | NM_000016 | 
| 基因名称 | ACADM | 
| Gene ID (NCBI) | 34 | 
| RRID | AB_10837361 | 
| 偶联类型 | Unconjugated | 
| 形式 | Liquid | 
| 纯化方式 | Antigen affinity purification | 
| UNIPROT ID | P11310 | 
| 储存缓冲液 | PBS with 0.02% sodium azide and 50% glycerol, pH 7.3. | 
| 储存条件 | Store at -20°C. Stable for one year after shipment. Aliquoting is unnecessary for -20oC storage. | 
背景介绍
ACADM, also named as MCAD, belongs to the acyl-CoA dehydrogenase family. This enzyme is specific for acyl chain lengths of 4 to 16. It catalyzes the reaction: Acyl-CoA + acceptor = 2,3-dehydroacyl-CoA + reduced acceptor. Defects in ACADM are the cause of medium-chain acyl-CoA dehydrogenase deficiency (MCAD deficiency). This protein can exsit as a dimer(PMID:8962055). This antibody is specific to ACADM.
实验方案
| Product Specific Protocols | |
|---|---|
| IHC protocol for ACADM antibody 55210-1-AP | Download protocol | 
| WB protocol for ACADM antibody 55210-1-AP | Download protocol | 
| Standard Protocols | |
|---|---|
| Click here to view our Standard Protocols | 
发表文章
| Species | Application | Title | 
|---|---|---|
| Cell Res Hypoxia induces mitochondrial protein lactylation to limit oxidative phosphorylation | ||
| Nat Cell Biol BCAT2-mediated BCAA catabolism is critical for development of pancreatic ductal adenocarcinoma. | ||
| Redox Biol Increased fatty acid metabolism attenuates cardiac resistance to β-adrenoceptor activation via mitochondrial reactive oxygen species: A potential mechanism of hypoglycemia-induced myocardial injury in diabetes. | ||
| Cell Biosci Hif-2α regulates lipid metabolism in alcoholic fatty liver disease through mitophagy | ||
| EMBO Rep Lin28 enhances de novo fatty acid synthesis to promote cancer progression via SREBP-1. | 









