验证数据展示
经过测试的应用
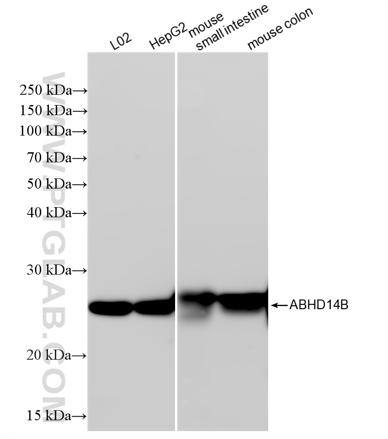
| Positive WB detected in | L02 cells, mouse liver tissue, HepG2 cells, mouse small intestine tissue, mouse colon tissue, mouse kidney tissue |
推荐稀释比
| 应用 | 推荐稀释比 |
|---|---|
| Western Blot (WB) | WB : 1:5000-1:50000 |
| It is recommended that this reagent should be titrated in each testing system to obtain optimal results. | |
| Sample-dependent, Check data in validation data gallery. | |
产品信息
87389-1-RR targets ABHD14B in WB, ELISA applications and shows reactivity with human, mouse samples.
| 经测试应用 | WB, ELISA Application Description |
| 经测试反应性 | human, mouse |
| 免疫原 |
CatNo: Ag15097 Product name: Recombinant human ABHD14B protein Source: e coli.-derived, PET28a Tag: 6*His Domain: 1-210 aa of BC007234 Sequence: MAASVEQREGTIQVQGQALFFREALPGSGQARFSVLLLHGIRFSSETWQNLGTLHRLAQAGYRAVAIDLPGLGHSKEAAAPAPIGELAPGSFLAAVVDALELGPPVVISPSLSGMYSLPFLTAPGSQLPGFVPVAPICTDKINAANYASVKTPALIVYGDQDPMGQTSFEHLKQLPNHRVLIMKGAGHPCYLDKPEEWHTGLLDFLQGLQ 种属同源性预测 |
| 宿主/亚型 | Rabbit / IgG |
| 抗体类别 | Recombinant |
| 产品类型 | Antibody |
| 全称 | abhydrolase domain containing 14B |
| 别名 | Abhydrolase domain-containing protein 14B, Alpha/beta hydrolase domain-containing protein 14B, CCG1-interacting factor B, CIB, EC:2.3.1.- |
| 计算分子量 | 210 aa, 22 kDa |
| 观测分子量 | 20-30 kDa |
| GenBank蛋白编号 | BC007234 |
| 基因名称 | ABHD14B |
| Gene ID (NCBI) | 84836 |
| RRID | AB_3745507 |
| 偶联类型 | Unconjugated |
| 形式 | Liquid |
| 纯化方式 | Protein A purification |
| UNIPROT ID | Q96IU4 |
| 储存缓冲液 | PBS with 0.02% sodium azide and 50% glycerol, pH 7.3. |
| 储存条件 | Store at -20°C. Stable for one year after shipment. Aliquoting is unnecessary for -20oC storage. |
背景介绍
ABHD14B possessed the canonical ABHD fold, an invariant catalytic triad (Ser-His-Asp), and based on its protein sequence, was subsequently categorized as an outlying member of the metabolic serine hydrolase family. ABHD14B was able to transfer an acetyl group from post translationally modified protein lysine residue to coenzyme-A (CoA), thus making the biologically important acetyl-CoA.
实验方案
| Product Specific Protocols | |
|---|---|
| WB protocol for ABHD14B antibody 87389-1-RR | Download protocol |
| Standard Protocols | |
|---|---|
| Click here to view our Standard Protocols |

