验证数据展示
经过测试的应用
| Positive WB detected in | 37°C incubated HeLa cells |
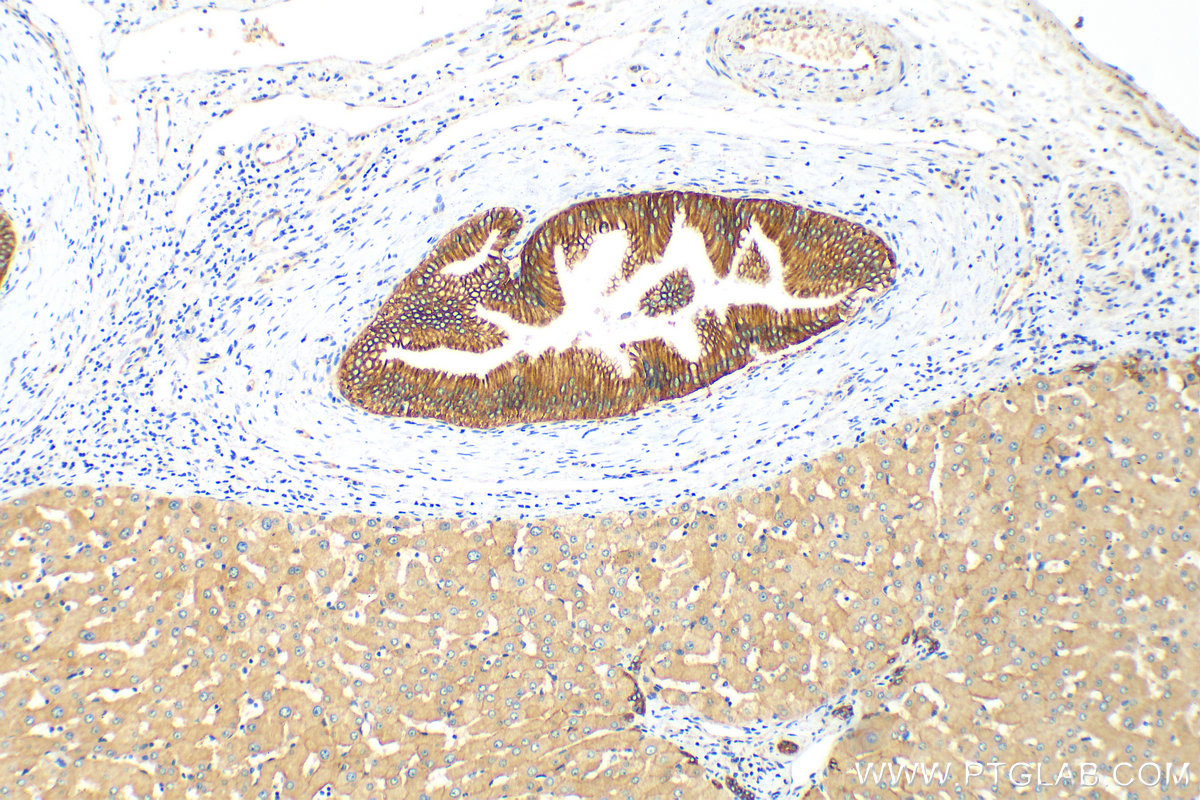
| Positive IHC detected in | human colon tissue, human liver tissue Note: suggested antigen retrieval with TE buffer pH 9.0; (*) Alternatively, antigen retrieval may be performed with citrate buffer pH 6.0 |
推荐稀释比
| 应用 | 推荐稀释比 |
|---|---|
| Western Blot (WB) | WB : 1:500-1:1000 |
| Immunohistochemistry (IHC) | IHC : 1:400-1:1600 |
| It is recommended that this reagent should be titrated in each testing system to obtain optimal results. | |
| Sample-dependent, Check data in validation data gallery. | |
发表文章中的应用
| WB | See 2 publications below |
产品信息
25358-1-AP targets MRP3/ABCC3 in WB, IHC, ELISA applications and shows reactivity with human samples.
| 经测试应用 | WB, IHC, ELISA Application Description |
| 文献引用应用 | WB |
| 经测试反应性 | human |
| 文献引用反应性 | human, mouse |
| 免疫原 |
CatNo: Ag19786 Product name: Recombinant human ABCC3 protein Source: e coli.-derived, PGEX-4T Tag: GST Domain: 838-960 aa of BC137348 Sequence: LLQRNGSFANFLCNYAPDEDQGHLEDSWTALEGAEDKEALLIEDTLSNHTDLTDNDPVTYVVQKQFMRQLSALSSDGEGQGRPVPRRHLGPSEKVQVTEAKADGALTQEEKAAIGTVELSVFW 种属同源性预测 |
| 宿主/亚型 | Rabbit / IgG |
| 抗体类别 | Polyclonal |
| 产品类型 | Antibody |
| 全称 | ATP-binding cassette, sub-family C (CFTR/MRP), member 3 |
| 别名 | ABCC3, MRP3, ABC31, ATP-binding cassette sub-family C member 3, EC:7.6.2.- |
| 计算分子量 | 1527 aa, 169 kDa |
| 观测分子量 | 170-180 kDa |
| GenBank蛋白编号 | BC137348 |
| 基因名称 | MRP3 |
| Gene ID (NCBI) | 8714 |
| RRID | AB_3085789 |
| 偶联类型 | Unconjugated |
| 形式 | Liquid |
| 纯化方式 | Antigen affinity purification |
| UNIPROT ID | O15438 |
| 储存缓冲液 | PBS with 0.02% sodium azide and 50% glycerol, pH 7.3. |
| 储存条件 | Store at -20°C. Stable for one year after shipment. Aliquoting is unnecessary for -20oC storage. |
背景介绍
MRP3 also known as ABCC3, belongs to ATP-binding cassette (ABC) transporter protein superfamily. MRP3 hydrolyzes ATP to enable active transport of various substrates including many drugs, toxicants, and endogenous compounds across cell membranes (PMID: 11581266, 15083066). In normal liver, MRP3 was found present mainly in the bile ducts. In livers of patients with various forms of cholestasis, MRP3 levels were frequently increased in the proliferative cholangiocytes, suggesting its role in cholehepatic and enterohepatic bile circulation and in protecting liver from toxic bile salts( PMID: 11850532, 11283840). MRP3 is expressed in the liver, colon, pancreas, and, at a lower level, in the kidney (PMID:10094960). For optimal WB detection of this membrane protein, we recommend to avoid boiling the sample after lysis.
实验方案
| Product Specific Protocols | |
|---|---|
| IHC protocol for MRP3/ABCC3 antibody 25358-1-AP | Download protocol |
| WB protocol for MRP3/ABCC3 antibody 25358-1-AP | Download protocol |
| Standard Protocols | |
|---|---|
| Click here to view our Standard Protocols |
发表文章
| Species | Application | Title |
|---|---|---|
Life Sci SMARCA4 (BRG1) activates ABCC3 transcription to promote hepatocellular carcinogenesis | ||
Biomaterials Microfluidic fabricated cell-laden microgels aggregated into artificial liver microtissue to ameliorate drug-induced liver injury | ||
Oncogene L1TD1 promotes colorectal mucinous adenocarcinoma progression by enhancing ABCC3 mRNA stability. |



