验证数据展示
经过测试的应用
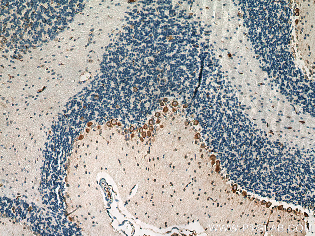
| Positive IHC detected in | mouse cerebellum tissue, human liver cancer tissue Note: suggested antigen retrieval with TE buffer pH 9.0; (*) Alternatively, antigen retrieval may be performed with citrate buffer pH 6.0 |
推荐稀释比
| 应用 | 推荐稀释比 |
|---|---|
| Immunohistochemistry (IHC) | IHC : 1:50-1:500 |
| It is recommended that this reagent should be titrated in each testing system to obtain optimal results. | |
| Sample-dependent, Check data in validation data gallery. | |
产品信息
13031-1-AP targets AADAT in WB, IHC, IF, ELISA applications and shows reactivity with human, mouse, rat samples.
| 经测试应用 | IHC, ELISA Application Description |
| 文献引用应用 | WB, IHC, IF |
| 经测试反应性 | human, mouse, rat |
| 文献引用反应性 | mouse, monkey |
| 免疫原 |
CatNo: Ag3676 Product name: Recombinant human AADAT protein Source: e coli.-derived, PGEX-4T Tag: GST Domain: 81-429 aa of BC031068 Sequence: SAGIPELLSWLKQLQIKLHNPPTIHYQPSQGQMDLCVTSGSQQGLCKVFEMIINPGDNVLLDEPAYSGTLQSLHPLGCNIINVASDESGIVPDSLRDILSRWKPEDAKNPQKNTPKFLYTVPNGNNPTGNSLTSERKKEIYELARKYDFLIIEDDPYYFLQFNKFRVPTFLSMDVDGRVIRADSFSKIISSGLRIGFLTGPKPLIERVILHIQVSTLHPSTFNQLMISQLLHEWGEEGFMAHVDRVIDFYSNQKDAILAAADKWLTGLAEWHVPAAGMFLWIKVKGINDVKELIEEKAVKMGVLMLPGNAFYVDSSAPSPYLRASFSSASPEQMDVAFQVLAQLIKESL 种属同源性预测 |
| 宿主/亚型 | Rabbit / IgG |
| 抗体类别 | Polyclonal |
| 产品类型 | Antibody |
| 全称 | aminoadipate aminotransferase |
| 别名 | 2 aminoadipate transaminase, 2-aminoadipate aminotransferase, 2-aminoadipate transaminase, Alpha-aminoadipate aminotransferase, aminoadipate aminotransferase |
| 计算分子量 | 429 aa, 48 kDa |
| GenBank蛋白编号 | BC031068 |
| 基因名称 | AADAT |
| Gene ID (NCBI) | 51166 |
| RRID | AB_2877904 |
| 偶联类型 | Unconjugated |
| 形式 | Liquid |
| 纯化方式 | Antigen affinity purification |
| UNIPROT ID | Q8N5Z0 |
| 储存缓冲液 | PBS with 0.02% sodium azide and 50% glycerol, pH 7.3. |
| 储存条件 | Store at -20°C. Stable for one year after shipment. Aliquoting is unnecessary for -20oC storage. |
背景介绍
AADAT (alpha-aminoadipate aminotransferase), also known as KAT (kynurenine aminotransferase) II, is a primary enzyme in the brain for catalysing the transamination of kynurenine to KYNA (kynurenic acid). KYNA is the only known endogenous antagonist of the N-methyl-D-aspartate receptor. AADAT is also involved in lysine metabolism by catalyzing the transamination of aminoadipate to a-ketoadipate (PMID: 17024659, 18056995). The human AADAT enzyme is also predicted to contain a mitochondrial cleavage signal, suggesting that AADAT is a mitochondrial protein (PMID: 19826765).
实验方案
| Product Specific Protocols | |
|---|---|
| IHC protocol for AADAT antibody 13031-1-AP | Download protocol |
| Standard Protocols | |
|---|---|
| Click here to view our Standard Protocols |
发表文章
| Species | Application | Title |
|---|---|---|
Brain Struct Funct Astrocytic and neuronal localization of kynurenine aminotransferase-2 in the adult mouse brain. | ||
Neurochem Int Species-specific neuronal localization of kynurenine aminotransferase-2 in the mouse cerebellum. | ||
J Clin Med Impaired Skeletal Muscle Kynurenine Metabolism in Patients with Chronic Obstructive Pulmonary Disease. | ||
bioRxiv Kynurenic acid inflammatory signaling expands in primates and impairs prefrontal cortical cognition | ||
iScience Circadian tryptophan metabolism contributes to systemic aryl hydrocarbon receptor activity. | ||
Cell Commun Signal Helicobacter pylori promotes gastric intestinal metaplasia through activation of IRF3-mediated kynurenine pathway |


