验证数据展示
经过测试的应用
| Positive WB detected in | K-562 cells, mouse pancreas tissue, mouse stomach tissue, rat stomach tissue, L02 cells |
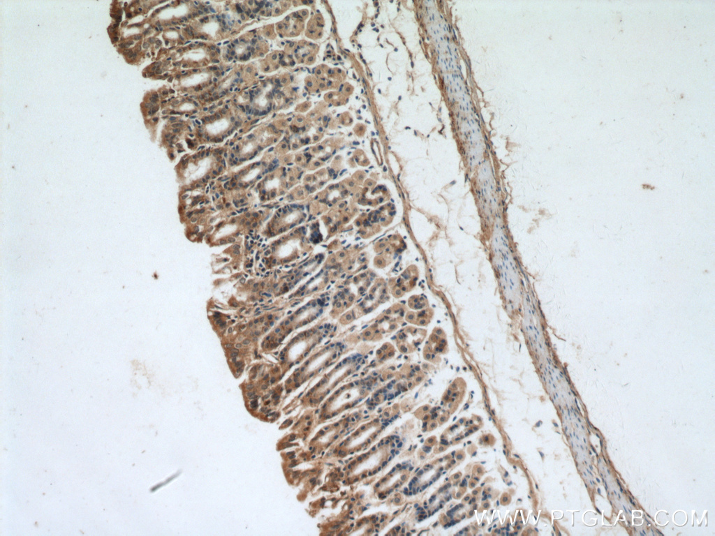
| Positive IHC detected in | human stomach cancer tissue, human pancreas cancer tissue, rat stomach tissue, mouse stomach tissue, human stomach tissue Note: suggested antigen retrieval with TE buffer pH 9.0; (*) Alternatively, antigen retrieval may be performed with citrate buffer pH 6.0 |
推荐稀释比
| 应用 | 推荐稀释比 |
|---|---|
| Western Blot (WB) | WB : 1:500-1:1000 |
| Immunohistochemistry (IHC) | IHC : 1:50-1:500 |
| It is recommended that this reagent should be titrated in each testing system to obtain optimal results. | |
| Sample-dependent, Check data in validation data gallery. | |
产品信息
22670-1-AP targets A4GNT in WB, IHC, ELISA applications and shows reactivity with human, mouse, rat samples.
| 经测试应用 | WB, IHC, ELISA Application Description |
| 经测试反应性 | human, mouse, rat |
| 免疫原 |
CatNo: Ag18432 Product name: Recombinant human A4GNT protein Source: e coli.-derived, PET28a Tag: 6*His Domain: 76-340 aa of BC119639 Sequence: KIYPEWPVVFFMKGLTDSTPMPSNSTYPAFSFLSAIDNVFLFPLDMKRLLEDTPLFSWYNQINASAERNWLHISSDASRLAIIWKYGGIYMDTDVISIRPIPEENFLAAQASRYSSNGIFGFLPHHPFLWECMENFVEHYNSDIWGNQGPELMTRMLRVWCKLEDFQEVSDLRCLNISFLHPQRFYPISYREWRRYYEVWDTEPSFNVSYALHLWNHMNQEGRAVIRGSNTLVENLYRKHCPRTYRDLIKGPEGSVTGELGPGNK 种属同源性预测 |
| 宿主/亚型 | Rabbit / IgG |
| 抗体类别 | Polyclonal |
| 产品类型 | Antibody |
| 全称 | alpha-1,4-N-acetylglucosaminyltransferase |
| 别名 | EC:2.4.1.-, Alpha4GnT, Alpha-1,4-N-acetylglucosaminyltransferase |
| 计算分子量 | 340 aa, 39 kDa |
| 观测分子量 | 34-37 kDa |
| GenBank蛋白编号 | BC119639 |
| 基因名称 | A4GNT |
| Gene ID (NCBI) | 51146 |
| RRID | AB_11183768 |
| 偶联类型 | Unconjugated |
| 形式 | Liquid |
| 纯化方式 | Antigen affinity purification |
| UNIPROT ID | Q9UNA3 |
| 储存缓冲液 | PBS with 0.02% sodium azide and 50% glycerol, pH 7.3. |
| 储存条件 | Store at -20°C. Stable for one year after shipment. Aliquoting is unnecessary for -20oC storage. |
背景介绍
A4GNT (alpha-1,4-N-acetylglucosaminyltransferase) catalyzes the transfer of N-acetylglucosamine (GlcNAc) to core 2 branched O-glycans, forming a unique glycan structure, GlcNAcalpha1-->4Galbeta-->R. The gene is expressed with a bias in certain tissues, particularly in the stomach (RPKM 9.5) and duodenum (RPKM 0.9). Alpha4GnT has been implicated in O-glycan biosynthesis and is thought to have a role in preventing gastric cancer by inhibiting Helicobacter pylori infection and suppressing tumor-promoting inflammation.
实验方案
| Product Specific Protocols | |
|---|---|
| IHC protocol for A4GNT antibody 22670-1-AP | Download protocol |
| WB protocol for A4GNT antibody 22670-1-AP | Download protocol |
| Standard Protocols | |
|---|---|
| Click here to view our Standard Protocols |












