验证数据展示
产品信息
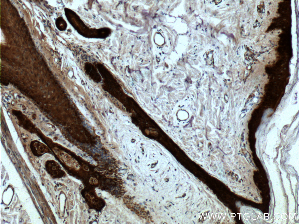
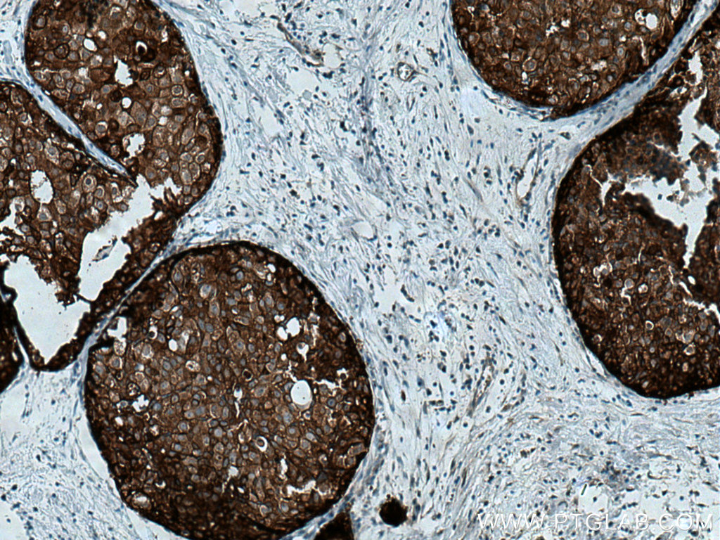
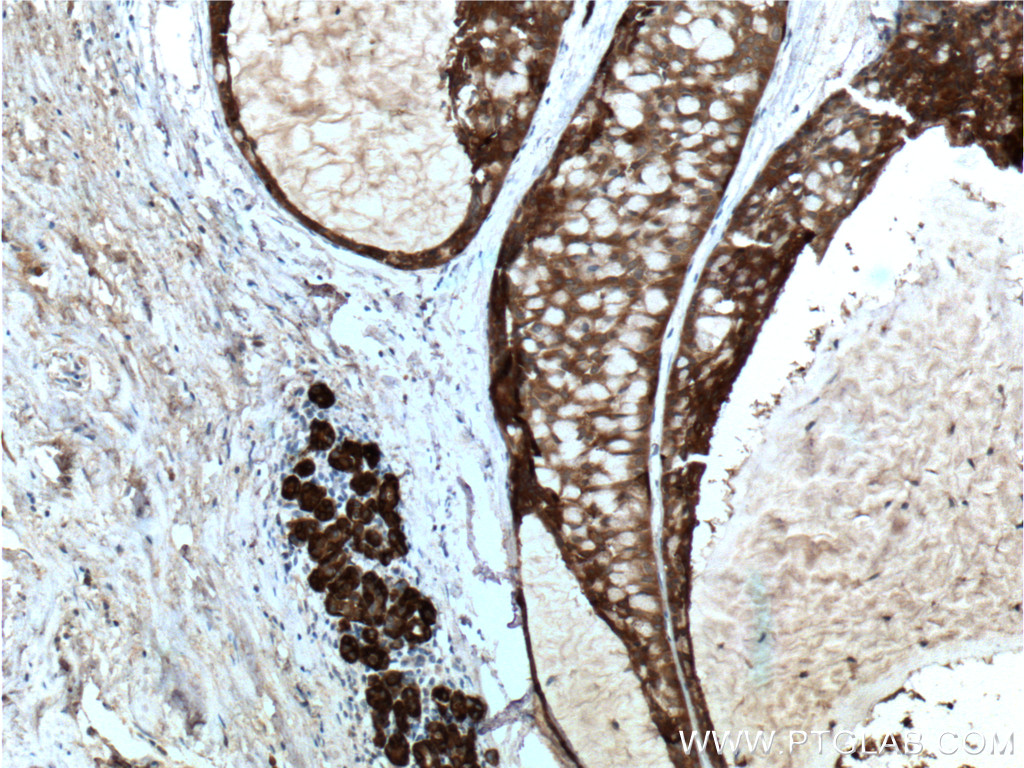
66251-1-PBS targets 14-3-3 Sigma in WB, IHC, IF/ICC, Indirect ELISA applications and shows reactivity with human samples.
| 经测试应用 | WB, IHC, IF/ICC, Indirect ELISA Application Description |
| 经测试反应性 | human |
| 免疫原 |
CatNo: Ag12644 Product name: Recombinant human SFN protein Source: e coli.-derived, PET28a Tag: 6*His Domain: 1-248 aa of BC002995 Sequence: MERASLIQKAKLAEQAERYEDMAAFMKGAVEKGEELSCEERNLLSVAYKNVVGGQRAAWRVLSSIEQKSNEEGSEEKGPEVREYREKVETELQGVCDTVLGLLDSHLIKEAGDAESRVFYLKMKGDYYRYLAEVATGDDKKRIIDSARSAYQEAMDISKKEMPPTNPIRLGLALNFSVFHYEIANSPEEAISLAKTTFDEAMADLHTLSEDSYKDSTLIMQLLRDNLTLWTADNAGEEGGEAPQEPQS 种属同源性预测 |
| 宿主/亚型 | Mouse / IgG1 |
| 抗体类别 | Monoclonal |
| 产品类型 | Antibody |
| 全称 | stratifin |
| 别名 | 14-3-3 protein sigma, 14-3-3sigma, 3F10D9, HME1, SFN |
| 计算分子量 | 28 kDa |
| 观测分子量 | 28-30 kDa |
| GenBank蛋白编号 | BC002995 |
| 基因名称 | 14-3-3 Sigma |
| Gene ID (NCBI) | 2810 |
| RRID | AB_2881639 |
| 偶联类型 | Unconjugated |
| 形式 | Liquid |
| 纯化方式 | Protein G purification |
| UNIPROT ID | P31947 |
| 储存缓冲液 | PBS only, pH 7.3. |
| 储存条件 | Store at -80°C. The product is shipped with ice packs. Upon receipt, store it immediately at -80°C |
背景介绍
14-3-3 Sigma is a member 14-3-3 family of highly conserved proteins participating in diverse cellular processes including cell cycle progression. It is exclusively present in various epithelial cells, and alternatively named as human epithelial marker (HEM), or stratifin. Alteration of its expression has been linked to cancer.











