验证数据展示
经过测试的应用
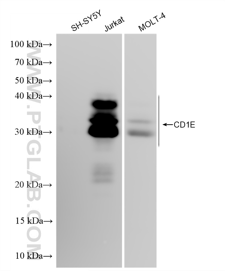
| Positive WB detected in | Jurkat cells, MOLT-4 cells |
| Positive IF/ICC detected in | Jurkat cells |
推荐稀释比
| 应用 | 推荐稀释比 |
|---|---|
| Western Blot (WB) | WB : 1:2000-1:10000 |
| Immunofluorescence (IF)/ICC | IF/ICC : 1:250-1:1000 |
| It is recommended that this reagent should be titrated in each testing system to obtain optimal results. | |
| Sample-dependent, Check data in validation data gallery. | |
产品信息
87398-1-RR targets CD1e in WB, IF/ICC, ELISA applications and shows reactivity with human samples.
| 经测试应用 | WB, IF/ICC, ELISA Application Description |
| 经测试反应性 | human |
| 免疫原 |
CatNo: Eg9185 Product name: Recombinant human B2M-CD1E protein Source: mammalian cells-derived, pHZ-KIsec-C-6*HIS Tag: C-Twin-Strep-Tag Sequence: \ 种属同源性预测 |
| 宿主/亚型 | Rabbit / IgG |
| 抗体类别 | Recombinant |
| 产品类型 | Antibody |
| 全称 | CD1e |
| 别名 | hCD1e, R2, R2G1 |
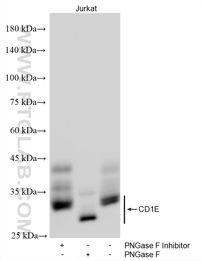
| 观测分子量 | 27 kDa, 30-45 kDa |
| 基因名称 | |
| Gene ID (NCBI) | |
| 偶联类型 | Unconjugated |
| 形式 | Liquid |
| 纯化方式 | Protein A purification |
| UNIPROT ID | P15812 |
| 储存缓冲液 | PBS with 0.02% sodium azide and 50% glycerol, pH 7.3. |
| 储存条件 | Store at -20°C. Stable for one year after shipment. Aliquoting is unnecessary for -20oC storage. |
背景介绍
CD1e molecule (CD1e, also known as R2 and CD1A) is a member of the CD1 family of transmembrane glycoproteins, which are structurally related to the major histocompatibility complex (MHC) proteins and form heterodimers with beta-2-microglobulin (PMID: 10948205). The discoverers of the CD1 locus originally separated CD1 proteins into group 1 (CD1a, CD1b, and CD1c) and group 2 (CD1d), based on amino acid sequence homology (PMID: 2467814). CD1e is an important modulator of group 1 and group 2 CD1-restricted responses influencing the lipid antigen availability and the generation and persistence of CD1-lipid complexes (PMID: 21844346). CD1e may exhibit varying degrees of molecular weight migration in immunoblotting due to differences in glycosylation modification levels. The molecular weight of non N-glycosylated CD1e is 27 kDa (PMID: 19196239).
实验方案
| Product Specific Protocols | |
|---|---|
| IF protocol for CD1e antibody 87398-1-RR | Download protocol |
| WB protocol for CD1e antibody 87398-1-RR | Download protocol |
| Standard Protocols | |
|---|---|
| Click here to view our Standard Protocols |



