验证数据展示
经过测试的应用
| Positive WB detected in | rat brain tissue, HEK-293 cells, HepG2 cells |
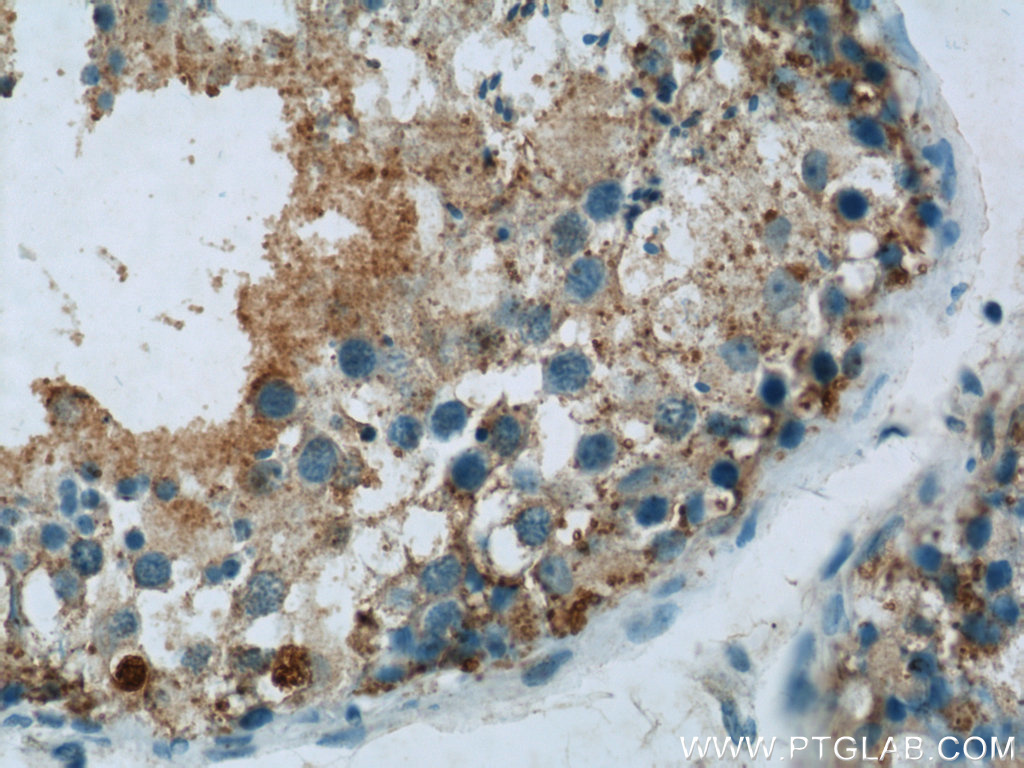
| Positive IHC detected in | human testis tissue Note: suggested antigen retrieval with TE buffer pH 9.0; (*) Alternatively, antigen retrieval may be performed with citrate buffer pH 6.0 |
| Positive IF/ICC detected in | HepG2 cells |
推荐稀释比
| 应用 | 推荐稀释比 |
|---|---|
| Western Blot (WB) | WB : 1:500-1:1000 |
| Immunohistochemistry (IHC) | IHC : 1:50-1:500 |
| Immunofluorescence (IF)/ICC | IF/ICC : 1:200-1:800 |
| It is recommended that this reagent should be titrated in each testing system to obtain optimal results. | |
| Sample-dependent, Check data in validation data gallery. | |
产品信息
23449-1-AP targets UBQLN2 in WB, IHC, IF/ICC, IP, ELISA applications and shows reactivity with human, rat samples.
| 经测试应用 | WB, IHC, IF/ICC, ELISA Application Description |
| 文献引用应用 | WB, IHC, IF, IP |
| 经测试反应性 | human, rat |
| 文献引用反应性 | human, mouse, rat |
| 免疫原 |
CatNo: Ag20149 Product name: Recombinant human Ubiquilin 2 protein Source: e coli.-derived, PGEX-4T Tag: GST Domain: 1-624 aa of BC069237 Sequence: MAENGESSGPPRPSRGPAAAQGSAAAPAEPKIIKVTVKTPKEKEEFAVPENSSVQQFKEAISKRFKSQTDQLVLIFAGKILKDQDTLIQHGIHDGLTVHLVIKSQNRPQGQSTQPSNAAGTNTTSASTPRSNSTPISTNSNPFGLGSLGGLAGLSSLGLSSTNFSELQSQMQQQLMASPEMMIQIMENPFVQSMLSNPDLMRQLIMANPQMQQLIQRNPEISHLLNNPDIMRQTLEIARNPAMMQEMMRNQDLALSNLESIPGGYNALRRMYTDIQEPMLNAAQEQFGGNPFASVGSSSSSGEGTQPSRTENRDPLPNPWAPPPATQSSATTSTTTSTGSGSGNSSSNATGNTVAAANYVASIFSTPGMQSLLQQITENPQLIQNMLSAPYMRSMMQSLSQNPDLAAQMMLNSPLFTANPQLQEQMRPQLPAFLQQMQNPDTLSAMSNPRAMQALMQIQQGLQTLATEAPGLIPSFTPGVGVGVLGTAIGPVGPVTPIGPIGPIVPFTPIGPIGPIGPTGPAAPPGSTGSGGPTGPTVSSAAPSETTSPTSESGPNQQFIQQMVQALAGANAPQLPNPEVRFQQQLEQLNAMGFLNREANLQALIATGGDINAAIERLLGSQPS 种属同源性预测 |
| 宿主/亚型 | Rabbit / IgG |
| 抗体类别 | Polyclonal |
| 产品类型 | Antibody |
| 全称 | ubiquilin 2 |
| 别名 | CHAP1, CHAP1/DSK2, Dsk2, DSK2 homolog, hPLIC 2, HRIHFB2157, LIC 2, N4BP4, PLIC 2, PLIC2, RIHFB2157, ubiquilin 2, Ubiquilin-2, UBQLN2 |
| 计算分子量 | 624 aa, 66 kDa |
| 观测分子量 | 66-70 kDa |
| GenBank蛋白编号 | BC069237 |
| 基因名称 | UBQLN2 |
| Gene ID (NCBI) | 29978 |
| RRID | AB_2879282 |
| 偶联类型 | Unconjugated |
| 形式 | Liquid |
| 纯化方式 | Antigen affinity purification |
| UNIPROT ID | Q9UHD9 |
| 储存缓冲液 | PBS with 0.02% sodium azide and 50% glycerol, pH 7.3. |
| 储存条件 | Store at -20°C. Stable for one year after shipment. Aliquoting is unnecessary for -20oC storage. |
实验方案
| Product Specific Protocols | |
|---|---|
| IF protocol for UBQLN2 antibody 23449-1-AP | Download protocol |
| IHC protocol for UBQLN2 antibody 23449-1-AP | Download protocol |
| WB protocol for UBQLN2 antibody 23449-1-AP | Download protocol |
| Standard Protocols | |
|---|---|
| Click here to view our Standard Protocols |
发表文章
| Species | Application | Title |
|---|---|---|
Brain Tamoxifen improves muscle structure and function of Bin1- and Dnm2-related centronuclear myopathies | ||
Hum Mol Genet Conditional depletion of intellectual disability and Parkinsonism candidate gene ATP6AP2 in fly and mouse induces cognitive impairment and neurodegeneration. | ||
J Neurochem Pathogenic mutation of UBQLN2 impairs its interaction with UBXD8 and disrupts endoplasmic reticulum-associated protein degradation. | ||
F1000Res The identification of high-preforming antibodies for Ubiquilin-2 for use in Western Blot, immunoprecipitation, and immunofluorescence
| ||
bioRxiv Short N-terminal disordered regions and the proline-rich domain are major regulators of phase transitions for full-length UBQLN1, UBQLN2 and UBQLN4 |







