验证数据展示
经过测试的应用
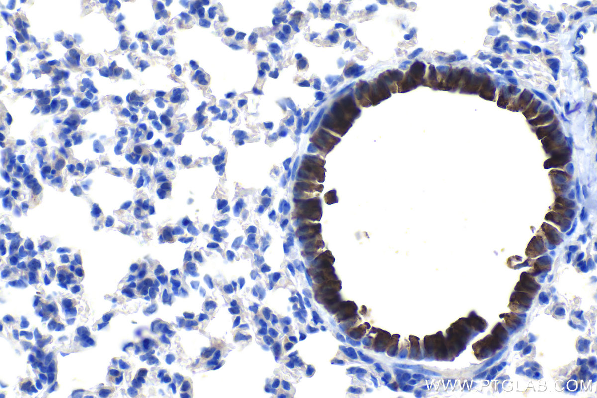
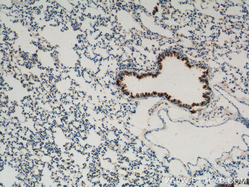
| Positive IHC detected in | mouse lung tissue, human lung cancer tissue, rat lung tissue Note: suggested antigen retrieval with TE buffer pH 9.0; (*) Alternatively, antigen retrieval may be performed with citrate buffer pH 6.0 |
| Positive IF-P detected in | mouse lung tissue |
| Positive FC (Intra) detected in | A549 cells |
推荐稀释比
| 应用 | 推荐稀释比 |
|---|---|
| Immunohistochemistry (IHC) | IHC : 1:2000-1:8000 |
| Immunofluorescence (IF)-P | IF-P : 1:50-1:500 |
| Flow Cytometry (FC) (INTRA) | FC (INTRA) : 0.40 ug per 10^6 cells in a 100 µl suspension |
| It is recommended that this reagent should be titrated in each testing system to obtain optimal results. | |
| Sample-dependent, Check data in validation data gallery. | |
产品信息
10490-1-AP targets Uteroglobin/CC10 in WB, IHC, IF-P, FC (Intra), IP, ELISA applications and shows reactivity with human, mouse, rat samples.
| 经测试应用 | IHC, IF-P, FC (Intra), ELISA Application Description |
| 文献引用应用 | WB, IHC, IF, IP |
| 经测试反应性 | human, mouse, rat |
| 文献引用反应性 | human, mouse, bovine |
| 免疫原 |
CatNo: Ag0758 Product name: Recombinant human Uteroglobin protein Source: e coli.-derived, PGEX-4T Tag: GST Domain: 1-91 aa of BC004481 Sequence: MKLAVTLTLVTLALCCSSASAEICPSFQRVIETLLMDTPSSYEAAMELFSPDQDMREAGAQLKKLVDTLPQKPRESIIKLMEKIAQSSLCN 种属同源性预测 |
| 宿主/亚型 | Rabbit / IgG |
| 抗体类别 | Polyclonal |
| 产品类型 | Antibody |
| 全称 | secretoglobin, family 1A, member 1 (uteroglobin) |
| 别名 | SCGB1A1, Uteroglobin, CC10, CC16, CCPBP |
| 计算分子量 | 10 kDa |
| GenBank蛋白编号 | BC004481 |
| 基因名称 | Uteroglobin |
| Gene ID (NCBI) | 7356 |
| RRID | AB_2183285 |
| 偶联类型 | Unconjugated |
| 形式 | Liquid |
| 纯化方式 | Antigen affinity purification |
| UNIPROT ID | P11684 |
| 储存缓冲液 | PBS with 0.02% sodium azide and 50% glycerol, pH 7.3. |
| 储存条件 | Store at -20°C. Stable for one year after shipment. Aliquoting is unnecessary for -20oC storage. |
背景介绍
Uteroglobin, also known as CC10, is a member of the secretoglobin family of small secreted proteins. It is produced by the nonciliated, nonmucous, secretory epithelial clara cells of the pulmonary airways, was first identified in lung lavage by Singh and colleagues. It has been implicated in numerous functions including anti-inflammation, inhibition of phospholipase A2 and the sequestering of hydrophobic ligands. Defects in this gene are associated with a susceptibility to asthma.
实验方案
| Product Specific Protocols | |
|---|---|
| FC protocol for Uteroglobin/CC10 antibody 10490-1-AP | Download protocol |
| IF protocol for Uteroglobin/CC10 antibody 10490-1-AP | Download protocol |
| IHC protocol for Uteroglobin/CC10 antibody 10490-1-AP | Download protocol |
| Standard Protocols | |
|---|---|
| Click here to view our Standard Protocols |
发表文章
| Species | Application | Title |
|---|---|---|
Lancet Respir Med Tropism, replication competence, and innate immune responses of the coronavirus SARS-CoV-2 in human respiratory tract and conjunctiva: an analysis in ex-vivo and in-vitro cultures. | ||
PLoS Pathog Lung adenocarcinoma originates from retrovirus infection of proliferating type 2 pneumocytes during pulmonary post-natal development or tissue repair. | ||
Am J Respir Cell Mol Biol DACH1 Attenuates Airway Inflammation in COPD by Activating NRF2 Signaling |












