验证数据展示
经过测试的应用
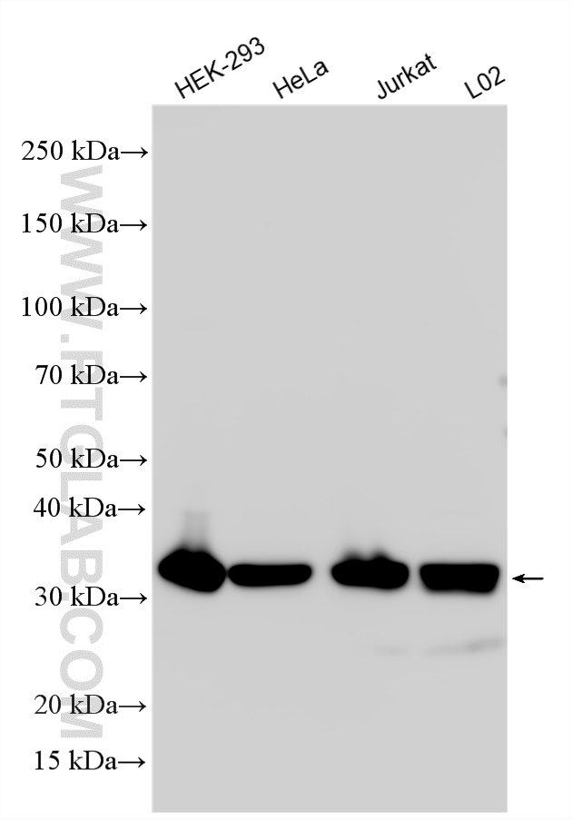
| Positive WB detected in | HEK-293 cells, HeLa cells, Jurkat cells, L02 cells |
| Positive IHC detected in | human breast cancer tissue, human placenta tissue, human kidney tissue, human testis tissue, human lung tissue Note: suggested antigen retrieval with TE buffer pH 9.0; (*) Alternatively, antigen retrieval may be performed with citrate buffer pH 6.0 |
| Positive IF/ICC detected in | HeLa cells |
推荐稀释比
| 应用 | 推荐稀释比 |
|---|---|
| Western Blot (WB) | WB : 1:5000-1:50000 |
| Immunohistochemistry (IHC) | IHC : 1:1500-1:6000 |
| Immunofluorescence (IF)/ICC | IF/ICC : 1:200-1:800 |
| It is recommended that this reagent should be titrated in each testing system to obtain optimal results. | |
| Sample-dependent, Check data in validation data gallery. | |
产品信息
17146-1-AP targets PYCR2 in WB, IHC, IF/ICC, ELISA applications and shows reactivity with human, mouse, rat samples.
| 经测试应用 | WB, IHC, IF/ICC, ELISA Application Description |
| 文献引用应用 | WB, IHC, IF |
| 经测试反应性 | human, mouse, rat |
| 文献引用反应性 | human, mouse, african green monkey |
| 免疫原 |
CatNo: Ag10918 Product name: Recombinant human PYCR2 protein Source: e coli.-derived, PGEX-4T Tag: GST Domain: 1-320 aa of BC020553 Sequence: MSVGFIGAGQLAYALARGFTAAGILSAHKIIASSPEMNLPTVSALRKMGVNLTRSNKETVKHSDVLFLAVKPHIIPFILDEIGADVQARHIVVSCAAGVTISSVEKKLMAFQPAPKVIRCMTNTPVVVQEGATVYATGTHALVEDGQLLEQLMSSVGFCTEVEEDLIDAVTGLSGSGPAYAFMALDALADGGVKMGLPRRLAIQLGAQALLGAAKMLLDSEQHPCQLKDNVCSPGGATIHALHFLESGGFRSLLINAVEASCIRTRELQSMADQEKISPAALKKTLLDRVKLESPTVSTLTPSSPGKLLTRSLALGGKKD 种属同源性预测 |
| 宿主/亚型 | Rabbit / IgG |
| 抗体类别 | Polyclonal |
| 产品类型 | Antibody |
| 全称 | pyrroline-5-carboxylate reductase family, member 2 |
| 别名 | EC:1.5.1.2, HLD10, P5CR 2, P5CR2, PYCR 2 |
| 计算分子量 | 320 aa, 34 kDa |
| 观测分子量 | 34 kDa |
| GenBank蛋白编号 | BC020553 |
| 基因名称 | PYCR2 |
| Gene ID (NCBI) | 29920 |
| RRID | AB_2253344 |
| 偶联类型 | Unconjugated |
| 形式 | Liquid |
| 纯化方式 | Antigen affinity purification |
| UNIPROT ID | Q96C36 |
| 储存缓冲液 | PBS with 0.02% sodium azide and 50% glycerol, pH 7.3. |
| 储存条件 | Store at -20°C. Stable for one year after shipment. Aliquoting is unnecessary for -20oC storage. |
背景介绍
PYCR2, also named as P5CR2, belongs to the pyrroline-5-carboxylate reductase family. It catalyses the reaction: L-proline + NAD(P)+ = 1-pyrroline-5-carboxylate + NAD(P)H. This antibody may have cross reaction to PYCR1 due to the high homology.
实验方案
| Product Specific Protocols | |
|---|---|
| IF protocol for PYCR2 antibody 17146-1-AP | Download protocol |
| IHC protocol for PYCR2 antibody 17146-1-AP | Download protocol |
| WB protocol for PYCR2 antibody 17146-1-AP | Download protocol |
| Standard Protocols | |
|---|---|
| Click here to view our Standard Protocols |
发表文章
| Species | Application | Title |
|---|---|---|
EMBO J Interactomes of SARS-CoV-2 and human coronaviruses reveal host factors potentially affecting pathogenesis. | ||
Cell Rep Oncogenic IDH1 Mutations Promote Enhanced Proline Synthesis through PYCR1 to Support the Maintenance of Mitochondrial Redox Homeostasis.
| ||
Virol Sin African Swine Fever Virus Protein E199L Promotes Cell Autophagy through the Interaction of PYCR2.
|
















