验证数据展示
经过测试的应用
| Positive WB detected in | Raji cells, FaDu cells, human brain tissue, HepG2 cells, MCF-7 cells, Ramos cells, U2OS cells |
| Positive IP detected in | Raji cells |
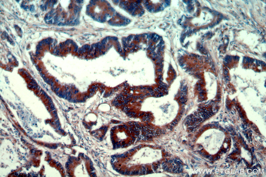
| Positive IHC detected in | human colon cancer tissue Note: suggested antigen retrieval with TE buffer pH 9.0; (*) Alternatively, antigen retrieval may be performed with citrate buffer pH 6.0 |
推荐稀释比
| 应用 | 推荐稀释比 |
|---|---|
| Western Blot (WB) | WB : 1:500-1:2000 |
| Immunoprecipitation (IP) | IP : 0.5-4.0 ug for 1.0-3.0 mg of total protein lysate |
| Immunohistochemistry (IHC) | IHC : 1:20-1:200 |
| It is recommended that this reagent should be titrated in each testing system to obtain optimal results. | |
| Sample-dependent, Check data in validation data gallery. | |
发表文章中的应用
| WB | See 3 publications below |
产品信息
20962-1-AP targets PYCR1-specific in WB, IHC, IP, ELISA applications and shows reactivity with human, mouse samples.
| 经测试应用 | WB, IHC, IP, ELISA Application Description |
| 文献引用应用 | WB |
| 经测试反应性 | human, mouse |
| 文献引用反应性 | human, mouse |
| 免疫原 |
Peptide 种属同源性预测 |
| 宿主/亚型 | Rabbit / IgG |
| 抗体类别 | Polyclonal |
| 产品类型 | Antibody |
| 全称 | pyrroline-5-carboxylate reductase 1 |
| 别名 | PYCR1, EC:1.5.1.2, P5C, P5C reductase 1, P5CR |
| 计算分子量 | 33 kDa |
| 观测分子量 | 33-35 kDa |
| GenBank蛋白编号 | NM_006907 |
| 基因名称 | PYCR1 |
| Gene ID (NCBI) | 5831 |
| RRID | AB_10638486 |
| 偶联类型 | Unconjugated |
| 形式 | Liquid |
| 纯化方式 | Antigen affinity purification |
| UNIPROT ID | P32322 |
| 储存缓冲液 | PBS with 0.02% sodium azide and 50% glycerol, pH 7.3. |
| 储存条件 | Store at -20°C. Stable for one year after shipment. Aliquoting is unnecessary for -20oC storage. |
背景介绍
PYCR1,also named as P5CR1, belongs to the pyrroline-5-carboxylate reductase family. It is a housekeeping enzyme that catalyzes the last step in proline biosynthesis. PYCR1 can utilize both NAD and NADP, but has higher affinity for NAD. It is involved in the cellular response to oxidative stress. Mutation in PYCR1 will cause ARCL type II(ARCL2B ). Some mutation will cause DeBarsy syndrome (DBS) which is characterized by progeroid features, ophthalmological abnormalities, intrauterine growth retardation, and cutis laxa. The MW of PYCR1 is about 33-35kd. This antibody is specific to PYCR1.
实验方案
| Product Specific Protocols | |
|---|---|
| IHC protocol for PYCR1-specific antibody 20962-1-AP | Download protocol |
| IP protocol for PYCR1-specific antibody 20962-1-AP | Download protocol |
| WB protocol for PYCR1-specific antibody 20962-1-AP | Download protocol |
| Standard Protocols | |
|---|---|
| Click here to view our Standard Protocols |
发表文章
| Species | Application | Title |
|---|---|---|
J Cancer Inhibition of SPATS2 Suppresses Proliferation and Invasion of Hepatocellular Carcinoma Cells through TRIM44-STAT3 Signaling Pathway. | ||
EMBO Mol Med A coordinated multiorgan metabolic response contributes to human mitochondrial myopathy |







