验证数据展示
经过测试的应用
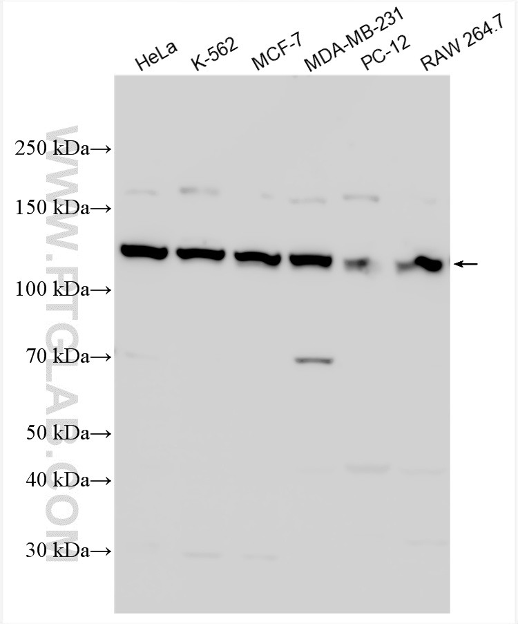
| Positive WB detected in | RAW 264.7 cells, Jurkat cells, K-562 cells, MCF-7 cells, MDA-MB-231 cells, PC-12 cells |
| Positive IP detected in | HeLa cells |
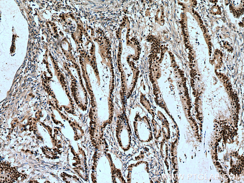
| Positive IHC detected in | human breast cancer tissue, human colon cancer tissue Note: suggested antigen retrieval with TE buffer pH 9.0; (*) Alternatively, antigen retrieval may be performed with citrate buffer pH 6.0 |
| Positive IF/ICC detected in | HeLa cells |
推荐稀释比
| 应用 | 推荐稀释比 |
|---|---|
| Western Blot (WB) | WB : 1:1000-1:4000 |
| Immunoprecipitation (IP) | IP : 0.5-4.0 ug for 1.0-3.0 mg of total protein lysate |
| Immunohistochemistry (IHC) | IHC : 1:50-1:500 |
| Immunofluorescence (IF)/ICC | IF/ICC : 1:200-1:800 |
| It is recommended that this reagent should be titrated in each testing system to obtain optimal results. | |
| Sample-dependent, Check data in validation data gallery. | |
产品信息
15646-1-AP targets POLD1 in WB, IHC, IF/ICC, IP, ELISA applications and shows reactivity with human, mouse, rat samples.
| 经测试应用 | WB, IHC, IF/ICC, IP, ELISA Application Description |
| 文献引用应用 | WB, IHC |
| 经测试反应性 | human, mouse, rat |
| 文献引用反应性 | human, mouse, canine |
| 免疫原 |
CatNo: Ag8178 Product name: Recombinant human POLD1 protein Source: e coli.-derived, PGEX-4T Tag: GST Domain: 858-1107 aa of BC008800 Sequence: EGAVAHAQDVISDLLCNRIDISQLVITKELTRAASDYAGKQAHVELAERMRKRDPGSAPSLGDRVPYVIISAAKGVAAYMKSEDPLFVLEHSLPIDTQYYLEQQLAKPLLRIFEPILGEGRAEAVLLRGDHTRCKTVLTGKVGGLLAFAKRRNCCIGCRTVLSHQGAVCEFCQPRESELYQKEVSHLNALEERFSRLWTQCQRCQGSLHEDVICTSRDCPIFYMRKKVRKDLEDQEQLLRRFGPPGPEAW 种属同源性预测 |
| 宿主/亚型 | Rabbit / IgG |
| 抗体类别 | Polyclonal |
| 产品类型 | Antibody |
| 全称 | polymerase (DNA directed), delta 1, catalytic subunit 125kDa |
| 别名 | 3'-5' exodeoxyribonuclease, CDC2, EC:2.7.7.7, EC:3.1.11.-, POLD |
| 计算分子量 | 1107 aa, 124 kDa |
| 观测分子量 | 124 kDa |
| GenBank蛋白编号 | BC008800 |
| 基因名称 | POLD1 |
| Gene ID (NCBI) | 5424 |
| RRID | AB_2252572 |
| 偶联类型 | Unconjugated |
| 形式 | Liquid |
| 纯化方式 | Antigen affinity purification |
| UNIPROT ID | P28340 |
| 储存缓冲液 | PBS with 0.02% sodium azide and 50% glycerol, pH 7.3. |
| 储存条件 | Store at -20°C. Stable for one year after shipment. Aliquoting is unnecessary for -20oC storage. |
背景介绍
POLD1, also known as DNA polymerase subunit delta p125, is 1107 amino acid protein, which belongs to the DNA polymerase type-B family. POLD1 colocalizes with PCNA and POLD3 at S phase replication sites (PubMed:11595739). As the catalytic component of the trimeric (Pol-delta3 complex) and tetrameric DNA polymerase delta complexes (Pol-delta4 complex), plays a crucial role in high fidelity genome replication, including in lagging strand synthesis, and repair. A previous study demonstrated that overexpression of POLD1 is associated with an increased risk of breast cancer. (PMID: 30344713 )
实验方案
| Product Specific Protocols | |
|---|---|
| IF protocol for POLD1 antibody 15646-1-AP | Download protocol |
| IHC protocol for POLD1 antibody 15646-1-AP | Download protocol |
| IP protocol for POLD1 antibody 15646-1-AP | Download protocol |
| WB protocol for POLD1 antibody 15646-1-AP | Download protocol |
| Standard Protocols | |
|---|---|
| Click here to view our Standard Protocols |
发表文章
| Species | Application | Title |
|---|---|---|
Cell Systematic discovery of mutation-directed neo-protein-protein interactions in cancer. | ||
Science MMS19 assembles iron-sulfur proteins required for DNA metabolism and genomic integrity. | ||
Nat Microbiol Core components of DNA lagging strand synthesis machinery are essential for hepatitis B virus cccDNA formation. | ||
Nat Commun Hepatitis B virus cccDNA is formed through distinct repair processes of each strand. | ||
Hum Mol Genet Cytosolic HSC20 integrates de novo iron-sulfur cluster biogenesis with the CIAO1-mediated transfer to recipients. | ||
Hum Mol Genet ISCA1 mutation in a patient with infantile-onset leukodystrophy causes defects in mitochondrial [4Fe-4S] proteins. |







