验证数据展示
经过测试的应用
| Positive WB detected in | HUVEC cells, MCF-7 cells, HeLa cells, HEK-293 cells, HepG2 cells, THP-1 cells, LNCaP cells, NCCIT cells, U2OS cells |
| Positive IP detected in | MCF-7 cells |
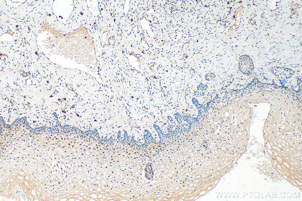
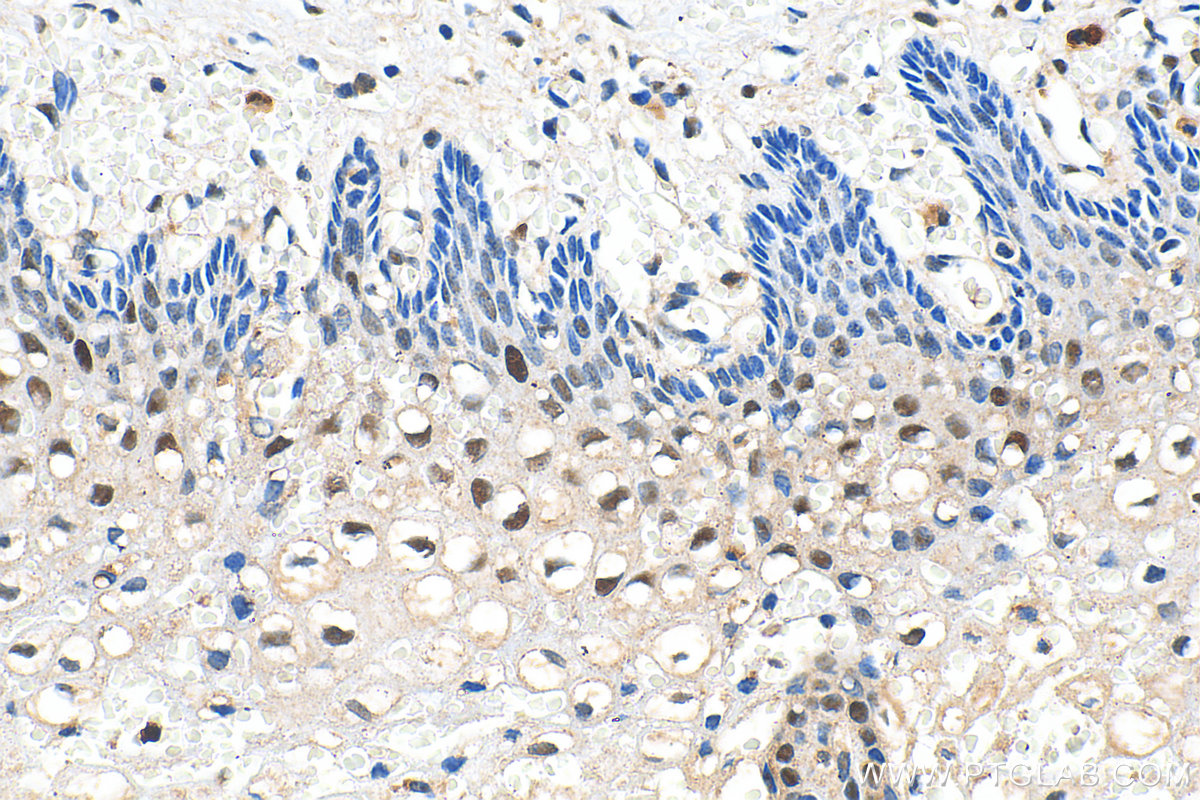
| Positive IHC detected in | human colon cancer tissue, human breast cancer tissue, human cervical cancer tissue, human kidney tissue, human stomach cancer tissue, human thyroid cancer tissue Note: suggested antigen retrieval with TE buffer pH 9.0; (*) Alternatively, antigen retrieval may be performed with citrate buffer pH 6.0 |
| Positive IF-P detected in | myotome of a somite at E11.5 tissue |
| Positive IF/ICC detected in | MCF-7 cells |
| Positive FC (Intra) detected in | MCF-7 cells |
推荐稀释比
| 应用 | 推荐稀释比 |
|---|---|
| Western Blot (WB) | WB : 1:1000-1:4000 |
| Immunoprecipitation (IP) | IP : 0.5-4.0 ug for 1.0-3.0 mg of total protein lysate |
| Immunohistochemistry (IHC) | IHC : 1:5000-1:20000 |
| Immunofluorescence (IF)-P | IF-P : 1:10-1:100 |
| Immunofluorescence (IF)/ICC | IF/ICC : 1:200-1:800 |
| Flow Cytometry (FC) (INTRA) | FC (INTRA) : 0.40 ug per 10^6 cells in a 100 µl suspension |
| It is recommended that this reagent should be titrated in each testing system to obtain optimal results. | |
| Sample-dependent, Check data in validation data gallery. | |
产品信息
10355-1-AP targets P21 in WB, IHC, IF/ICC, IF-P, FC (Intra), IP, CoIP, ELISA, Cell treatment applications and shows reactivity with human samples.
| 经测试应用 | WB, IHC, IF/ICC, IF-P, FC (Intra), IP, ELISA Application Description |
| 文献引用应用 | WB, IHC, IF, IP, CoIP, Cell treatment |
| 经测试反应性 | human |
| 文献引用反应性 | human, pig, rabbit, canine, monkey, bovine, artemia sinica |
| 免疫原 |
CatNo: Ag0368 Product name: Recombinant human P21;CDKN1A protein Source: e coli.-derived, PGEX-4T Tag: GST Domain: 1-149 aa of BC000275 Sequence: MSEPAGDVRQNPCGSKACRRLFGPVDSEQLSRDCDALMAGCIQEARERWNFDFVTETPLEGDFAWERVRGLGLPKLYLPTGPRRGRDELGGGRRPGTSPALLQGTAEEDHVDLSLSCTLVPRSGEQAEGSPGGPGDSQGRKRRQTSMTD 种属同源性预测 |
| 宿主/亚型 | Rabbit / IgG |
| 抗体类别 | Polyclonal |
| 产品类型 | Antibody |
| 全称 | cyclin-dependent kinase inhibitor 1A (p21, Cip1) |
| 别名 | CDKN1A, P21;CDKN1A, CDK-interacting protein 1, CIP1, Cyclin dependent kinase inhibitor 1 |
| 计算分子量 | 18 kDa |
| 观测分子量 | 21 kDa |
| GenBank蛋白编号 | BC000275 |
| 基因名称 | p21 |
| Gene ID (NCBI) | 1026 |
| RRID | AB_2077682 |
| 偶联类型 | Unconjugated |
| 形式 | Liquid |
| 纯化方式 | Antigen affinity purification |
| UNIPROT ID | P38936 |
| 储存缓冲液 | PBS with 0.02% sodium azide and 50% glycerol, pH 7.3. |
| 储存条件 | Store at -20°C. Stable for one year after shipment. Aliquoting is unnecessary for -20oC storage. |
背景介绍
CDKN1A (p21, CIP1, WAF1) is a cyclin-dependent kinase inhibitor. CDKN1A binds to and inhibits the activity of cyclin-CDK2 or -CDK4 complexes, and thus functions as a regulator of cell cycle progression at the G1 phase. The expression of CDKN1A is induced by wild-type but not mutant p53 protein, through which CDKN1A mediates the p53-dependent cell cycle G1 phase arrest in response to a variety of stress stimuli. CDKN1A can interact with proliferating cell nuclear antigen (PCNA), and plays a regulatory role in S phase DNA replication and DNA damage repair. CDKN1A was reported to be specifically cleaved by CASP3-like caspases, which thus leads to a dramatic activation of CDK2, and may be instrumental in the execution of apoptosis following caspase activation. Two alternatively spliced variants, which encode an identical protein, have been reported.
实验方案
| Product Specific Protocols | |
|---|---|
| FC protocol for P21 antibody 10355-1-AP | Download protocol |
| IF protocol for P21 antibody 10355-1-AP | Download protocol |
| IHC protocol for P21 antibody 10355-1-AP | Download protocol |
| IP protocol for P21 antibody 10355-1-AP | Download protocol |
| WB protocol for P21 antibody 10355-1-AP | Download protocol |
| Standard Protocols | |
|---|---|
| Click here to view our Standard Protocols |
发表文章
| Species | Application | Title |
|---|---|---|
Bioact Mater Bioengineered platelet nanoplatform enables renal-targeted dexamethasone delivery for chronic nephritis therapy with dual anti-inflammatory/anti-fibrotic effects and minimized systemic toxicity | ||
Gastroenterology Intestinal PPARα Protects Against Colon Carcinogenesis via Regulation of Methyltransferases DNMT1 and PRMT6. | ||
Sci Transl Med Guanosine diphosphate-mannose suppresses homologous recombination repair and potentiates antitumor immunity in triple-negative breast cancer | ||
Nat Commun Senescence-associated 13-HODE production promotes age-related liver steatosis by directly inhibiting catalase activity | ||
Nat Commun URI alleviates tyrosine kinase inhibitors-induced ferroptosis by reprogramming lipid metabolism in p53 wild-type liver cancers | ||
Nat Commun Phosphoglycerate dehydrogenase activates PKM2 to phosphorylate histone H3T11 and attenuate cellular senescence |


























