验证数据展示
经过测试的应用
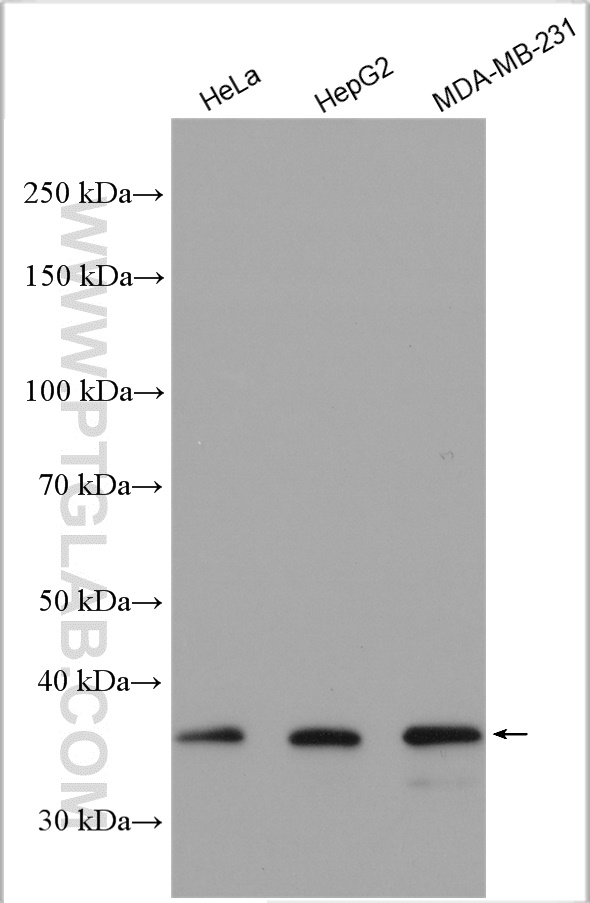
| Positive WB detected in | HeLa cells, HEK-293T cells, K-562 cells, HepG2 cells, SKOV-3 cells, MDA-MB-231 cells |
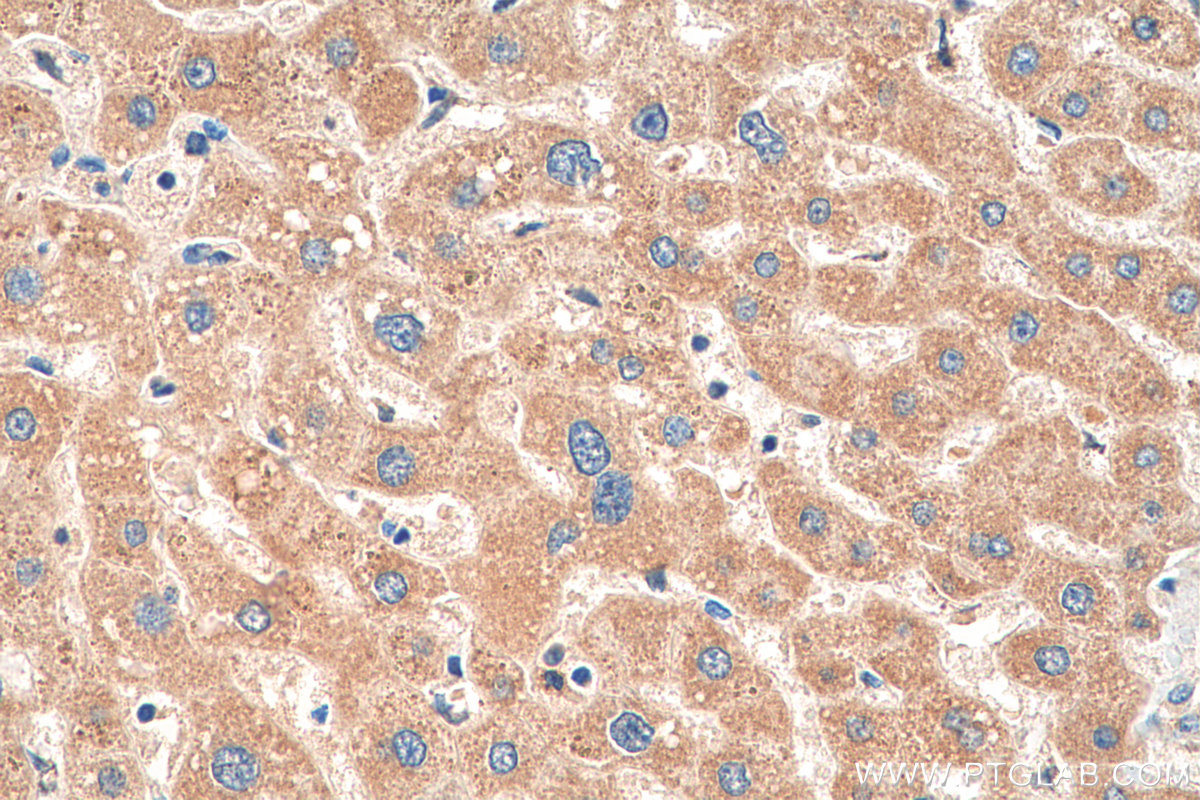
| Positive IHC detected in | human liver tissue Note: suggested antigen retrieval with TE buffer pH 9.0; (*) Alternatively, antigen retrieval may be performed with citrate buffer pH 6.0 |
推荐稀释比
| 应用 | 推荐稀释比 |
|---|---|
| Western Blot (WB) | WB : 1:1000-1:4000 |
| Immunohistochemistry (IHC) | IHC : 1:250-1:1000 |
| It is recommended that this reagent should be titrated in each testing system to obtain optimal results. | |
| Sample-dependent, Check data in validation data gallery. | |
产品信息
17116-1-AP targets OMA1 in WB, IHC, IF, IP, CoIP, ELISA applications and shows reactivity with human samples.
| 经测试应用 | WB, IHC, ELISA Application Description |
| 文献引用应用 | WB, IHC, IF, IP, CoIP |
| 经测试反应性 | human |
| 文献引用反应性 | human, mouse, rat |
| 免疫原 |
CatNo: Ag10803 Product name: Recombinant human OMA1 protein Source: e coli.-derived, PGEX-4T Tag: GST Domain: 361-524 aa of BC012915 Sequence: ICPRDSLALLCQWIQSKLQEYMFNRPYSRKLEAEADKIGLLLAAKACADIRASSVFWQQMEFVDSLHGQPKMPEWLSTHPSHGNRVEYLDRLIPQALKIREMCNCPPLSNPDPRLLFKLSTKHFLEESEKEDLNITKKQKMDTLPIQKQEQIPLTYIVEKRTGS 种属同源性预测 |
| 宿主/亚型 | Rabbit / IgG |
| 抗体类别 | Polyclonal |
| 产品类型 | Antibody |
| 全称 | OMA1 homolog, zinc metallopeptidase (S. cerevisiae) |
| 别名 | 2010001O09Rik, DAB1, MPRP 1, MPRP1, OMA1, YKR087C, ZMPOMA1 |
| 计算分子量 | 524 aa, 60 kDa |
| 观测分子量 | 34, 60 kDa |
| GenBank蛋白编号 | BC012915 |
| 基因名称 | OMA1 |
| Gene ID (NCBI) | 115209 |
| RRID | AB_2299053 |
| 偶联类型 | Unconjugated |
| 形式 | Liquid |
| 纯化方式 | Antigen affinity purification |
| UNIPROT ID | Q96E52 |
| 储存缓冲液 | PBS with 0.02% sodium azide and 50% glycerol, pH 7.3. |
| 储存条件 | Store at -20°C. Stable for one year after shipment. Aliquoting is unnecessary for -20oC storage. |
背景介绍
OMA1 (Overlapping with the m-AAA protease 1 homolog) is also named as MPRP1 (Metalloprotease-related protein 1) and belongs to the peptidase M48 family. It is a zinc metalloprotease that spans the inner mitochondrial membrane with a number of predicted membrane spanning domains and the 60 kDa form of OMA1 rapidly accumulated concomitantly with the cleavage of all OPA1 variants, the 40 kDa form of OMA1 may be the mature form (M-OMA1), and the 35 kDa is a cleaved form (S-OMA1), with the 60 kDa form being the active enzyme (PMID:20334834, 30518622). This antibody is speicific to OMA1.
实验方案
| Product Specific Protocols | |
|---|---|
| IHC protocol for OMA1 antibody 17116-1-AP | Download protocol |
| WB protocol for OMA1 antibody 17116-1-AP | Download protocol |
| Standard Protocols | |
|---|---|
| Click here to view our Standard Protocols |
发表文章
| Species | Application | Title |
|---|---|---|
Leukemia DELE1 haploinsufficiency causes resistance to mitochondrial stress-induced apoptosis in monosomy 5/del(5q) AML | ||
Redox Biol Peroxiredoxin 3 deficiency induces cardiac hypertrophy and dysfunction by impaired mitochondrial quality control.
| ||
Cell Death Dis Inhibition of the mitochondria-shaping protein Opa1 restores sensitivity to Gefitinib in a lung adenocarcinomaresistant cell line | ||
Cell Rep TIM23 facilitates PINK1 activation by safeguarding against OMA1-mediated degradation in damaged mitochondria |




