验证数据展示
经过测试的应用
| Positive WB detected in | PC-12 cells, human brain tissue, pig brain tissue, rat brain tissue, mouse brain tissue |
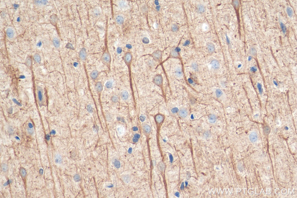
| Positive IHC detected in | rat brain tissue, human brain tissue, mouse brain tissue Note: suggested antigen retrieval with TE buffer pH 9.0; (*) Alternatively, antigen retrieval may be performed with citrate buffer pH 6.0 |
| Positive IF-P detected in | mouse brain tissue, rat brain tissue |
| Positive IF-Fro detected in | mouse brain tissue |
| Positive FC (Intra) detected in | PC-12 cells |
推荐稀释比
| 应用 | 推荐稀释比 |
|---|---|
| Western Blot (WB) | WB : 1:20000-1:100000 |
| Immunohistochemistry (IHC) | IHC : 1:250-1:1000 |
| Immunofluorescence (IF)-P | IF-P : 1:400-1:1600 |
| Immunofluorescence (IF)-FRO | IF-FRO : 1:750-1:3000 |
| Flow Cytometry (FC) (INTRA) | FC (INTRA) : 0.40 ug per 10^6 cells in a 100 µl suspension |
| It is recommended that this reagent should be titrated in each testing system to obtain optimal results. | |
| Sample-dependent, Check data in validation data gallery. | |
产品信息
60189-1-Ig targets NF-L in WB, IHC, IF-P, IF-Fro, FC (Intra), ELISA applications and shows reactivity with human, mouse, rat, pig samples.
| 经测试应用 | WB, IHC, IF-P, IF-Fro, FC (Intra), ELISA Application Description |
| 文献引用应用 | WB, IHC, IF, FC (Intra) |
| 经测试反应性 | human, mouse, rat, pig |
| 文献引用反应性 | human, mouse, rat |
| 免疫原 |
CatNo: Ag15178 Product name: Recombinant human NEFL protein Source: e coli.-derived, PET28a Tag: 6*His Domain: 1-352 aa of BC039237 Sequence: MSSFSYEPYYSTSYKRRYVETPRVHISSVRSGYSTARSAYSSYSAPVSSSLSVRRSYSSSSGSLMPSLENLDLSQVAAISNDLKSIRTQEKAQLQDLNDRFASFIERVHELEQQNKVLEAELLVLRQKHSEPSRFRALYEQEIRDLRLAAEDATNEKQALQGEREGLEETLRNLQARYEEEVLSREDAEGRLMEARKGADEAALARAELEKRIDSLMDEISFLKKVHEEEIAELQAQIQYAQISVEMDVTKPDLSAALKDIRAQYEKLAAKNMQNAEEWFKSRFTVLTESAAKNTDAVRAAKDEVSESRRLLKAKTLEIEACRGMNEALEKQLQELEDKQNADISAMQDTIN 种属同源性预测 |
| 宿主/亚型 | Mouse / IgG1 |
| 抗体类别 | Monoclonal |
| 产品类型 | Antibody |
| 全称 | neurofilament, light polypeptide |
| 别名 | NEFL, 5C12G4, neurofilament, NF68, NFL |
| 计算分子量 | 543 aa, 62 kDa |
| 观测分子量 | 65 kDa |
| GenBank蛋白编号 | BC039237 |
| 基因名称 | NF-L |
| Gene ID (NCBI) | 4747 |
| RRID | AB_10860271 |
| 偶联类型 | Unconjugated |
| 形式 | Liquid |
| 纯化方式 | Protein G purification |
| UNIPROT ID | P07196 |
| 储存缓冲液 | PBS with 0.02% sodium azide and 50% glycerol, pH 7.3. |
| 储存条件 | Store at -20°C. Stable for one year after shipment. Aliquoting is unnecessary for -20oC storage. |
背景介绍
NEFL, also named as NF68 and NF-L, belongs to the intermediate filament family. Neurofilaments are the 10 nm intermediate filaments found specifically in neurons. They are a major component of the cell's cytoskeleton, and provide support for normal axonal radial growth. Neurofilaments usually contain three intermediate filament proteins: L, M, and H, which are involved in the maintenance of neuronal caliber. The names given to the three major neurofilament subunits are based upon the apparent molecular weight of the mammalian subunits on SDS-PAGE: NF-L, 65-68 kDa; NF-M,145-160 kDa and NF-H, 200-220 kDa.This antibody is specific to NEFL.
实验方案
| Product Specific Protocols | |
|---|---|
| FC protocol for NF-L antibody 60189-1-Ig | Download protocol |
| IF protocol for NF-L antibody 60189-1-Ig | Download protocol |
| IHC protocol for NF-L antibody 60189-1-Ig | Download protocol |
| WB protocol for NF-L antibody 60189-1-Ig | Download protocol |
| Standard Protocols | |
|---|---|
| Click here to view our Standard Protocols |
发表文章
| Species | Application | Title |
|---|---|---|
Cell Rep Med Cholinergic signaling via muscarinic M1 receptor confers resistance to docetaxel in prostate cancer | ||
ACS Nano Microarray Chip-Based High-Throughput Screening of Neurofilament Light Chain Self-Assembling Peptide for Noninvasive Monitoring of Alzheimer's Disease | ||
J Stroke Cerebrovasc Dis Edaravone dexborneol regulates γ-aminobutyric acid transaminase in rats with acute intracerebral hemorrhage | ||
J Neuroinflammation CX3CR1+/UCHL1+ microglial extracellular vesicles in blood: a potential biomarker for multiple sclerosis | ||
J Exp Clin Cancer Res Peripheral nerve injury-induced remodeling of the tumor-associated macrophages promotes immune evasion in breast cancer. |








