验证数据展示
经过测试的应用
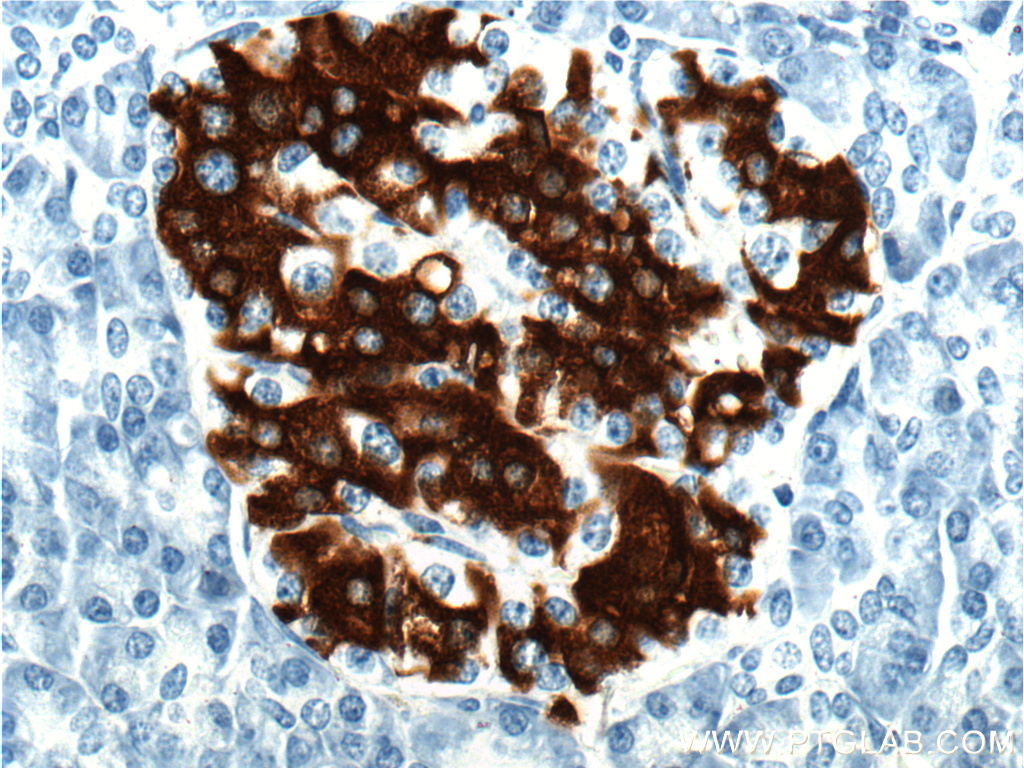
| Positive IHC detected in | human pancreas tissue, mouse pancreas tissue, rat pancreas tissue Note: suggested antigen retrieval with TE buffer pH 9.0; (*) Alternatively, antigen retrieval may be performed with citrate buffer pH 6.0 |
| Positive IF-P detected in | human pancreas tissue, mouse pancreas tissue |
推荐稀释比
| 应用 | 推荐稀释比 |
|---|---|
| Immunohistochemistry (IHC) | IHC : 1:1000-1:10000 |
| Immunofluorescence (IF)-P | IF-P : 1:50-1:500 |
| It is recommended that this reagent should be titrated in each testing system to obtain optimal results. | |
| Sample-dependent, Check data in validation data gallery. | |
产品信息
66198-1-Ig targets INS in WB, IHC, IF-P, ELISA, Cell treatment applications and shows reactivity with human, mouse, rat samples.
| 经测试应用 | IHC, IF-P, ELISA Application Description |
| 文献引用应用 | WB, IHC, IF, Cell treatment |
| 经测试反应性 | human, mouse, rat |
| 文献引用反应性 | human, mouse, rat |
| 免疫原 |
CatNo: Ag8630 Product name: Recombinant human Insulin protein Source: e coli.-derived, PGEX-4T Tag: GST Domain: 1-110 aa of BC005255 Sequence: MALWMRLLPLLALLALWGPDPAAAFVNQHLCGSHLVEALYLVCGERGFFYTPKTRREAEDLQVGQVELGGGPGAGSLQPLALEGSLQKRGIVEQCCTSICSLYQLENYCN 种属同源性预测 |
| 宿主/亚型 | Mouse / IgG2a |
| 抗体类别 | Monoclonal |
| 产品类型 | Antibody |
| 全称 | INS |
| 别名 | insulin, 4B6A7 |
| 计算分子量 | 110 aa, 12 kDa |
| GenBank蛋白编号 | BC005255 |
| 基因名称 | INS |
| Gene ID (NCBI) | 3630 |
| RRID | AB_2881591 |
| 偶联类型 | Unconjugated |
| 形式 | Liquid |
| 纯化方式 | Protein A purification |
| UNIPROT ID | P01308 |
| 储存缓冲液 | PBS with 0.02% sodium azide and 50% glycerol, pH 7.3. |
| 储存条件 | Store at -20°C. Stable for one year after shipment. Aliquoting is unnecessary for -20oC storage. |
背景介绍
INS is a peptide hormone, produced by beta cells of the pancreas, and is central to regulating carbohydrate and fat metabolism in the body. It participates in glucose utilization, protein synthesis and in the formation and storage of neutral lipids. INS is synthesized as a precursor molecule, pro-INS, which is processed prior to secretion. A- and B-peptides are joined together by a disulfide bond to form INS, while the central portion of the precursor molecule is cleaved and released as the C-peptide. Defects in INS results in type 1 diabetes mellitus. INS may also exist 36 kDa form corresponding to the hexameric INS form.
实验方案
| Product Specific Protocols | |
|---|---|
| IF protocol for INS antibody 66198-1-Ig | Download protocol |
| IHC protocol for INS antibody 66198-1-Ig | Download protocol |
| Standard Protocols | |
|---|---|
| Click here to view our Standard Protocols |
发表文章
| Species | Application | Title |
|---|---|---|
Phytomedicine Ramulus Mori (Sangzhi) alkaloids enhance pancreatic β-Cell maturation and function by targeting the CD81/endoplasmic reticulum stress pathway | ||
Food Chem X Dendrobium officinale leaf polysaccharides ameliorated hyperglycemia and promoted gut bacterial associated SCFAs to alleviate type 2 diabetes in adult mice. | ||
Int Immunopharmacol RAGE deficiency obstructs high uric acid-induced oxidative stress and inflammatory response | ||
FASEB J cGAS-STING mediates cytoplasmic mitochondrial-DNA-induced inflammatory signal transduction during accelerated senescence of pancreatic β-cells induced by metabolic stress. |










