验证数据展示
经过测试的应用
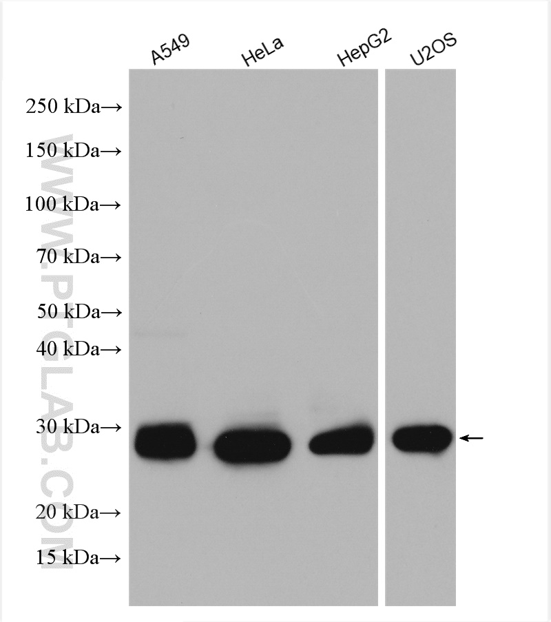
| Positive WB detected in | A549 cells, HeLa cells, C6 cells, mouse liver tissue, HepG2 cells, U2OS cells |
| Positive IP detected in | A549 cells |
| Positive IHC detected in | human lung cancer tissue, human liver cancer tissue, human gliomas tissue Note: suggested antigen retrieval with TE buffer pH 9.0; (*) Alternatively, antigen retrieval may be performed with citrate buffer pH 6.0 |
| Positive IF/ICC detected in | HeLa cells, MCF-7 cells |
| Positive FC (Intra) detected in | MCF-7 cells |
推荐稀释比
| 应用 | 推荐稀释比 |
|---|---|
| Western Blot (WB) | WB : 1:5000-1:50000 |
| Immunoprecipitation (IP) | IP : 0.5-4.0 ug for 1.0-3.0 mg of total protein lysate |
| Immunohistochemistry (IHC) | IHC : 1:50-1:500 |
| Immunofluorescence (IF)/ICC | IF/ICC : 1:50-1:500 |
| Flow Cytometry (FC) (INTRA) | FC (INTRA) : 0.50 ug per 10^6 cells in a 100 µl suspension |
| It is recommended that this reagent should be titrated in each testing system to obtain optimal results. | |
| Sample-dependent, Check data in validation data gallery. | |
产品信息
18284-1-AP targets HSP27 in WB, IHC, IF/ICC, FC (Intra), IP, CoIP, ELISA applications and shows reactivity with human, mouse, rat samples.
| 经测试应用 | WB, IHC, IF/ICC, FC (Intra), IP, ELISA Application Description |
| 文献引用应用 | WB, IHC, IF, IP, CoIP, ELISA |
| 经测试反应性 | human, mouse, rat |
| 文献引用反应性 | human, mouse, rat, pig, chicken, fish |
| 免疫原 |
CatNo: Ag13161 Product name: Recombinant human HSPB1 protein Source: e coli.-derived, PGEX-4T Tag: GST Domain: 1-205 aa of BC012768 Sequence: MTERRVPFSLLRGPSWDPFRDWYPHSRLFDQAFGLPRLPEEWSQWLGGSSWPGYVRPLPPAAIESPAVAAPAYSRALSRQLSSGVSEIRHTADRWRVSLDVNHFAPDELTVKTKDGVVEITGKHEERQDEHGYISRCFTRKYTLPPGVDPTQVSSSLSPEGTLTVEAPMPKLATQSNEITIPVTFESRAQLGGPEAAKSDETAAK 种属同源性预测 |
| 宿主/亚型 | Rabbit / IgG |
| 抗体类别 | Polyclonal |
| 产品类型 | Antibody |
| 全称 | heat shock 27kDa protein 1 |
| 别名 | HSPB1, CMT2F, Estrogen-regulated 24 kDa protein, HMN2B, Hsp25 |
| 计算分子量 | 19-23 kDa |
| 观测分子量 | 27 kDa |
| GenBank蛋白编号 | BC012768 |
| 基因名称 | HSPB1 |
| Gene ID (NCBI) | 3315 |
| RRID | AB_2295540 |
| 偶联类型 | Unconjugated |
| 形式 | Liquid |
| 纯化方式 | Antigen affinity purification |
| UNIPROT ID | P04792 |
| 储存缓冲液 | PBS with 0.02% sodium azide and 50% glycerol, pH 7.3. |
| 储存条件 | Store at -20°C. Stable for one year after shipment. Aliquoting is unnecessary for -20oC storage. |
背景介绍
HSPB1, also known as heat shock protein 27 (HSP27), belongs to the small heat shock protein family which is induced in response to environmental challenges or/and developmental transitions. It is also an anti-apoptotic protein that plays crucial roles in tumorigenesis and cell survival and is reported to be an independent prognosis marker for cancer. Recently HSPB1 has been found to be a valuable marker for melanoma. In addition to the predicted 27 kDa, an extra 50-55 kDa representing dimeric form of HSPB1 may also be observed (PMID: 21353161). It's notable that mouse HSP27 is also named HSP25 and has the predicted MW between 19-23 kDa.
实验方案
| Product Specific Protocols | |
|---|---|
| FC protocol for HSP27 antibody 18284-1-AP | Download protocol |
| IF protocol for HSP27 antibody 18284-1-AP | Download protocol |
| IHC protocol for HSP27 antibody 18284-1-AP | Download protocol |
| IP protocol for HSP27 antibody 18284-1-AP | Download protocol |
| WB protocol for HSP27 antibody 18284-1-AP | Download protocol |
| Standard Protocols | |
|---|---|
| Click here to view our Standard Protocols |
发表文章
| Species | Application | Title |
|---|---|---|
Allergy ACE2 downregulation in olfactory mucosa: Eosinophilic rhinosinusitis as COVID-19 protective factor? | ||
Autophagy ATG4B/autophagin-1 regulates intestinal homeostasis and protects mice from experimental colitis. | ||
J Cell Biol Human myocytes are protected from titin aggregation-induced stiffening by small heat shock proteins. | ||
Cell Rep Analysis of proteome-wide degradation dynamics in ALS SOD1 iPSC-derived patient neurons reveals disrupted VCP homeostasis | ||
Phytomedicine Ginsenoside Rg5 inhibits glioblastoma by activating ferroptosis via NR3C1/HSPB1/NCOA4 |

















