验证数据展示
经过测试的应用
| Positive WB detected in | HeLa cells, A549 cells, PC-3 cells, mouse thymus tissue, rat thymus tissue | 
| Positive IP detected in | mouse brain tissue | 
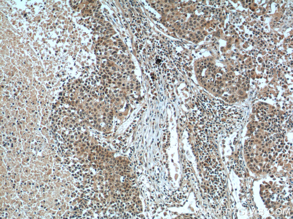
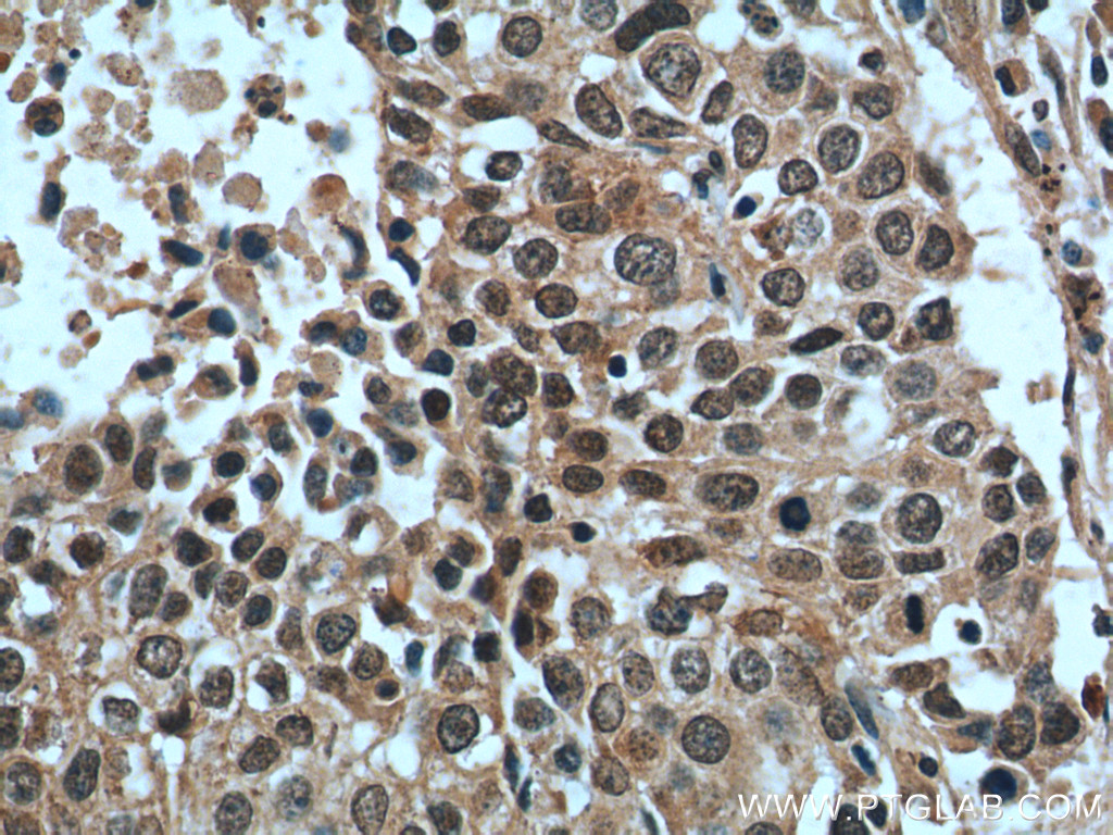
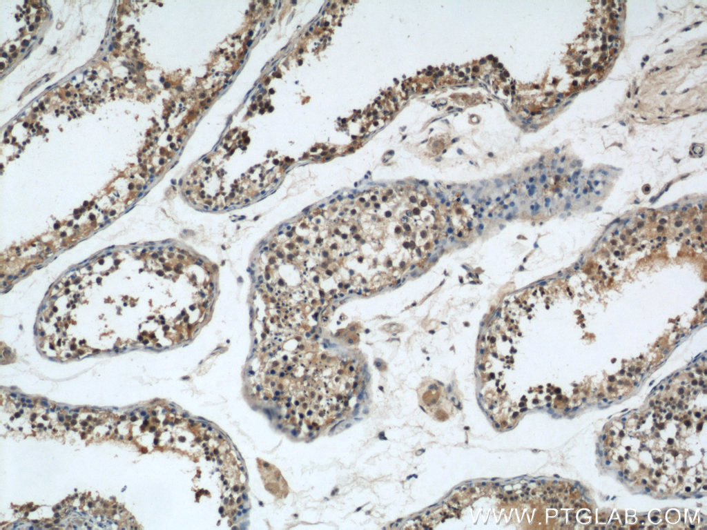
| Positive IHC detected in | human lung cancer tissue, human prostate hyperplasia tissue,  human testis tissue,  rat colon tissue Note: suggested antigen retrieval with TE buffer pH 9.0; (*) Alternatively, antigen retrieval may be performed with citrate buffer pH 6.0 | 
| Positive IF/ICC detected in | MCF-7 cells | 
推荐稀释比
| 应用 | 推荐稀释比 | 
|---|---|
| Western Blot (WB) | WB : 1:1000-1:8000 | 
| Immunoprecipitation (IP) | IP : 0.5-4.0 ug for 1.0-3.0 mg of total protein lysate | 
| Immunohistochemistry (IHC) | IHC : 1:100-1:400 | 
| Immunofluorescence (IF)/ICC | IF/ICC : 1:200-1:800 | 
| It is recommended that this reagent should be titrated in each testing system to obtain optimal results. | |
| Sample-dependent, Check data in validation data gallery. | |
产品信息
22104-1-AP targets GSK3B in WB, IHC, IF/ICC, IP, CoIP, RIP, ELISA applications and shows reactivity with human, mouse, rat samples.
| 经测试应用 | WB, IHC, IF/ICC, IP, ELISA Application Description | 
| 文献引用应用 | WB, IHC, IF, IP, CoIP, RIP | 
| 经测试反应性 | human, mouse, rat | 
| 文献引用反应性 | human, mouse, rat, pig, chicken, zebrafish, bovine, hamster | 
| 免疫原 | CatNo: Ag17320 Product name: Recombinant human GSK3B protein Source: e coli.-derived, PET28a Tag: 6*His Domain: 355-433 aa of BC000251 Sequence: ELRDPNVKLPNGRDTPALFNFTTQELSSNPPLATILIPPHARIQAAASTPTNATAASDANTGDRGQTNNAASASASNST种属同源性预测 | 
| 宿主/亚型 | Rabbit / IgG | 
| 抗体类别 | Polyclonal | 
| 产品类型 | Antibody | 
| 全称 | glycogen synthase kinase 3 beta | 
| 别名 | GSK3 beta, EC:2.7.11.1, EC:2.7.11.26, GSK 3 beta, GSK-3 beta | 
| 计算分子量 | 433 aa, 48 kDa | 
| 观测分子量 | 46-48 kDa | 
| GenBank蛋白编号 | BC000251 | 
| 基因名称 | GSK3B | 
| Gene ID (NCBI) | 2932 | 
| RRID | AB_2878997 | 
| 偶联类型 | Unconjugated | 
| 形式 | Liquid | 
| 纯化方式 | Antigen affinity purification | 
| UNIPROT ID | P49841 | 
| 储存缓冲液 | PBS with 0.02% sodium azide and 50% glycerol, pH 7.3. | 
| 储存条件 | Store at -20°C. Stable for one year after shipment. Aliquoting is unnecessary for -20oC storage. | 
背景介绍
Glycogen synthase kinase-3 (GSK3) is a proline-directed serine-threonine kinase that was initially identified as a phosphorylating and inactivating glycogen synthase.GSK3B is involved in energy metabolism, neuronal cell development, and body pattern formation.In skeletal muscle, it contributes to INS regulation of glycogen synthesis by phosphorylating and inhibiting GYS1 activity and hence glycogen synthesis. Researches showed that the crystal structure of human GSK3B, expressed in insect cells, at 2.8-angstrom resolution. This antibody recognize the C-terminal of GSK3B.
实验方案
| Product Specific Protocols | |
|---|---|
| IF protocol for GSK3B antibody 22104-1-AP | Download protocol | 
| IHC protocol for GSK3B antibody 22104-1-AP | Download protocol | 
| IP protocol for GSK3B antibody 22104-1-AP | Download protocol | 
| WB protocol for GSK3B antibody 22104-1-AP | Download protocol | 
| Standard Protocols | |
|---|---|
| Click here to view our Standard Protocols | 
发表文章
| Species | Application | Title | 
|---|---|---|
| Cell Metab Nicotinamide metabolism face-off between macrophages and fibroblasts manipulates the microenvironment in gastric cancer | ||
| Nat Commun F-box protein FBXO32 ubiquitinates and stabilizes D-type cyclins to drive cancer progression | ||
| Mol Cancer Hypoxia downregulated miR-4521 suppresses gastric carcinoma progression through regulation of IGF2 and FOXM1. | ||
| Cell Rep Med Development of an orally bioavailable CDK12/13 degrader and induction of synthetic lethality with AKT pathway inhibition | ||
| Nat Commun Endonuclease G promotes autophagy by suppressing mTOR signaling and activating the DNA damage response. | 

















