验证数据展示
经过测试的应用
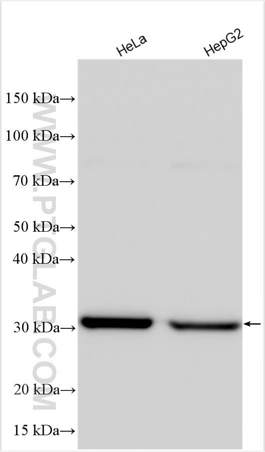
| Positive WB detected in | A431 cells, HeLa cells, L02 cells, mouse liver tissue, rat liver tissue, HepG2 cells |
| Positive IP detected in | A431 cells |
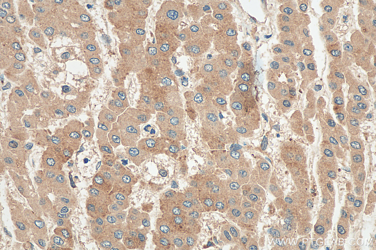
| Positive IHC detected in | human liver cancer tissue, human skeletal muscle tissue, mouse skeletal muscle tissue Note: suggested antigen retrieval with TE buffer pH 9.0; (*) Alternatively, antigen retrieval may be performed with citrate buffer pH 6.0 |
| Positive IF/ICC detected in | HepG2 cells |
| Positive FC (Intra) detected in | HepG2 cells |
推荐稀释比
| 应用 | 推荐稀释比 |
|---|---|
| Western Blot (WB) | WB : 1:2000-1:10000 |
| Immunoprecipitation (IP) | IP : 0.5-4.0 ug for 1.0-3.0 mg of total protein lysate |
| Immunohistochemistry (IHC) | IHC : 1:400-1:1600 |
| Immunofluorescence (IF)/ICC | IF/ICC : 1:50-1:500 |
| Flow Cytometry (FC) (INTRA) | FC (INTRA) : 0.25 ug per 10^6 cells in a 100 µl suspension |
| It is recommended that this reagent should be titrated in each testing system to obtain optimal results. | |
| Sample-dependent, Check data in validation data gallery. | |
产品信息
14241-1-AP targets GCLM in WB, IHC, IF/ICC, FC (Intra), IP, ELISA applications and shows reactivity with human, mouse, rat samples.
| 经测试应用 | WB, IHC, IF/ICC, FC (Intra), IP, ELISA Application Description |
| 文献引用应用 | WB, IHC, IF, IP |
| 经测试反应性 | human, mouse, rat |
| 文献引用反应性 | human, mouse, rat, goat |
| 免疫原 |
CatNo: Ag5497 Product name: Recombinant human GCLM protein Source: e coli.-derived, PET28a Tag: 6*His Domain: 1-274 aa of BC041809 Sequence: MGTDSRAAKALLARARTLHLQTGNLLNWGRLRKKCPSTHSEELHDCIQKTLNEWSSQINPDLVREFPDVLECTVSHAVEKINPDEREEMKVSAKLFIVESNSSSSTRSAVDMACSVLGVAQLDSVIIASPPIEDGVNLSLEHLQPYWEELENLVQSKKIVAIGTSDLDKTQLEQLYQWAQVKPNSNQVNLASCCVMPPDLTAFAKQFDIQLLTHNDPKELLSEASFQEALQESIPDIQAHEWVPLWLLRYSVIVKSRGIIKSKGYILQAKRRGS 种属同源性预测 |
| 宿主/亚型 | Rabbit / IgG |
| 抗体类别 | Polyclonal |
| 产品类型 | Antibody |
| 全称 | glutamate-cysteine ligase, modifier subunit |
| 别名 | Gamma-ECS regulatory subunit, Gamma-glutamylcysteine synthetase regulatory subunit, GLCLR, Glutamate--cysteine ligase modifier subunit, Glutamate--cysteine ligase regulatory subunit |
| 计算分子量 | 31 kDa |
| 观测分子量 | 31 kDa |
| GenBank蛋白编号 | BC041809 |
| 基因名称 | GCLM |
| Gene ID (NCBI) | 2730 |
| RRID | AB_2107832 |
| 偶联类型 | Unconjugated |
| 形式 | Liquid |
| 纯化方式 | Antigen affinity purification |
| UNIPROT ID | P48507 |
| 储存缓冲液 | PBS with 0.02% sodium azide and 50% glycerol, pH 7.3. |
| 储存条件 | Store at -20°C. Stable for one year after shipment. Aliquoting is unnecessary for -20oC storage. |
背景介绍
GCLM(Glutamate--cysteine ligase regulatory subunit) is also named as GLCLR and belongs to the aldo/keto reductase family. It catalyzes the first step of GSH synthesis and is involved in gamma-glutamyl cycle. GCLM is implicated in some forms of hemolytic anemia.
实验方案
| Product Specific Protocols | |
|---|---|
| FC protocol for GCLM antibody 14241-1-AP | Download protocol |
| IF protocol for GCLM antibody 14241-1-AP | Download protocol |
| IHC protocol for GCLM antibody 14241-1-AP | Download protocol |
| IP protocol for GCLM antibody 14241-1-AP | Download protocol |
| WB protocol for GCLM antibody 14241-1-AP | Download protocol |
| Standard Protocols | |
|---|---|
| Click here to view our Standard Protocols |
发表文章
| Species | Application | Title |
|---|---|---|
Crit Care Recombinant ACE2 protein protects against acute lung injury induced by SARS-CoV-2 spike RBD protein. | ||
ACS Cent Sci Macrophage Inactivation by Small Molecule Wedelolactone via Targeting sEH for the Treatment of LPS-Induced Acute Lung Injury | ||
Hepatology Liver-specific deficiency of unc-51 like kinase 1 and 2 protects mice from acetaminophen-induced liver injury. | ||
Acta Pharm Sin B Honokiol alleviated neurodegeneration by reducing oxidative stress and improving mitochondrial function in mutant SOD1 cellular and mouse models of amyotrophic lateral sclerosis | ||
J Clin Invest Identification of CD84 as a potent survival factor in acute myeloid leukemia | ||













